tel 400-6027-270
Main Image
Anti-Fc epsilon RI/FCER1A 兔多克隆抗体
¥1900
加入对比
货号: K1339498-100
亚细胞定位: 细胞膜
别名: Fc-epsilon RI-alpha,FcERI,IgE Fc receptor subunit alpha,Fcer1a,Fce1a
应用 | 种属
IHC/IF R
规格:
产品信息
蛋白质全称 高亲和力免疫球蛋白ε受体亚基 α
别名 Fc-epsilon RI-alpha,FcERI,IgE Fc receptor subunit alpha,Fcer1a,Fce1a
Uniprot ID P20489
免疫原 KLH偶联的小鼠Fc epsilon RI/FCER1A合成肽
抗体亚型 IgG
纯化方式 亲和纯化
亚细胞定位 细胞膜
应用
IHC/IF 免疫组织化学/免疫荧光
物种:大鼠
稀释比:1:900-1:1800
阳性样品:脾
背景
The immunoglobulin epsilon receptor (IgE receptor) is the initiator of the allergic response. When two or more high-affinity IgE receptors are brought together by allergen-bound IgE molecules, mediators such as histamine that are responsible for allergy symptoms are released. This receptor is comprised of an alpha subunit, a beta subunit, and two gamma subunits. The protein encoded by this gene represents the alpha subunit.
储存条件
储存条件:储存条件在:-20℃下储存一年, 避免反复冻融.
储存缓冲液:含0.15% ProClin300防腐剂, 100 μg/mL牛血清白蛋白和50%甘油的磷酸盐缓冲液.
图像
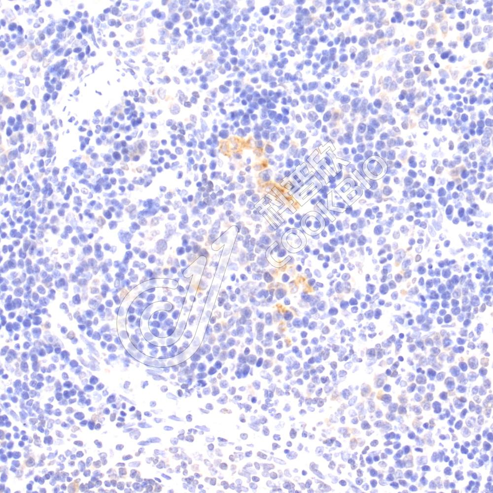
IHC检测Fc epsilon RI/FCER1A蛋白(货号 K1339498).
样品: 大鼠脾, 4%多聚甲醛 (货号KSG1101) 固定12-24小时.
抗原修复: 柠檬酸抗原修复液(干粉, pH 6.0) (KSG1201), 98℃, 20分钟.
—抗: 1: 1400稀释, 4℃ 孵育过夜.
二抗: S-vision免疫组化多聚二抗(山羊抗兔),即用型 (货号KB3906), 室温孵育20分钟.
IHC检测Fc epsilon RI/FCER1A蛋白(货号 K1339498).
样品: 大鼠脾, 4%多聚甲醛 (货号KSG1101) 固定12-24小时.
抗原修复: 柠檬酸抗原修复液(干粉, pH 6.0) (KSG1201), 98℃, 20分钟.
—抗: 1: 1400稀释, 4℃ 孵育过夜.
二抗: S-vision免疫组化多聚二抗(山羊抗兔),即用型 (货号KB3906), 室温孵育20分钟.

需要技术支持?

如果您有任何问题或如果您在实验过程中遇到问题,或需要更详细的技术指导,请联系我们的技术支持团队
电话 400-6027-270

联系我们

如果您对我们的公司或产品有任何疑问,欢迎随时联系我们