tel 400-6027-270
Main Image
Anti-BLNK 兔多克隆抗体
¥1900
加入对比
货号: K135202-100
亚细胞定位:
别名: Blnk,AGM4,BASH,BLNK-S,LY57,SLP-65,SLP65,Bca,B-cell linker
应用 | 种属
IHC/IF M,R
规格:
产品信息
蛋白质全称 B细胞连接蛋白
别名 Blnk,AGM4,BASH,BLNK-S,LY57,SLP-65,SLP65,Bca,B-cell linker
Uniprot ID Q9QUN3
免疫原 小鼠BLNK重组蛋白
抗体亚型 IgG
纯化方式 亲和纯化
亚细胞定位
应用
IHC/IF 免疫组织化学/免疫荧光
物种:小鼠,大鼠
稀释比:1:1500-1:5000
阳性样品:脾
背景
The function of BLNK was first illustrated in BLNK deficient DT40 cells, a chicken B-cell line, which exhibited an abrogated intracellular calcium mobilisation response and impaired activation of MAP kinases p38, JNK, and to a lesser degree ERK upon B-cell receptor (BCR) activation as compared to wild type DT40 cells. In knockout mice, BLNK deficiency results in a partial block in B-cell development, and in humans BLNK deficiency results in a much more profound block in B-cell development.
储存条件
储存条件:储存条件在:-20℃下储存一年, 避免反复冻融.
储存缓冲液:含0.15% ProClin300防腐剂, 100 μg/mL牛血清白蛋白和50%甘油的磷酸盐缓冲液.
图像
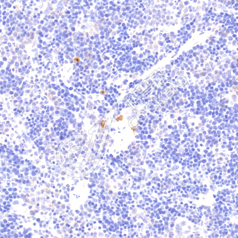
IHC检测BLNK蛋白(货号 K135202).
样品: 小鼠脾, 4%多聚甲醛 (货号KSG1101) 固定12-24小时.
抗原修复: 柠檬酸抗原修复液(干粉, pH 6.0) (KSG1201), 98℃, 20分钟.
—抗: 1: 3300稀释, 4℃ 孵育过夜.
二抗: S-vision免疫组化多聚二抗(山羊抗兔),即用型 (货号KB3906), 室温孵育20分钟.
IHC检测BLNK蛋白(货号 K135202).
样品: 大鼠脾, 4%多聚甲醛 (货号KSG1101) 固定12-24小时.
抗原修复: 柠檬酸抗原修复液(干粉, pH 6.0) (KSG1201), 98℃, 20分钟.
—抗: 1: 3300稀释, 4℃ 孵育过夜.
二抗: S-vision免疫组化多聚二抗(山羊抗兔),即用型 (货号KB3906), 室温孵育20分钟.

需要技术支持?

如果您有任何问题或如果您在实验过程中遇到问题,或需要更详细的技术指导,请联系我们的技术支持团队
电话 400-6027-270

联系我们

如果您对我们的公司或产品有任何疑问,欢迎随时联系我们