tel 400-6027-270
Main Image
Anti-Cholecystokinin 兔多克隆抗体
¥1900
加入对比
货号: K1336489-100
亚细胞定位: 分泌型
别名: CCK,CCK33,CCK12,CCK8,Cholecystokinin-5,CCK39,CCK25
应用 | 种属
IHC/IF M,R
规格:
产品信息
蛋白质全称 胆囊收缩素
别名 CCK,CCK33,CCK12,CCK8,Cholecystokinin-5,CCK39,CCK25
Uniprot ID P09240
免疫原 KLH偶联的小鼠Cholecystokinin合成肽
抗体亚型 IgG
纯化方式 亲和纯化
亚细胞定位 分泌型
应用
IHC/IF 免疫组织化学/免疫荧光
物种:小鼠,大鼠
稀释比:1:1500-1:4000
阳性样品:十二指肠
背景
This gene encodes a member of the gastrin/cholecystokinin family of proteins. The encoded preproprotein is proteolytically processed to generate multiple protein products, including the peptide hormones cholecystokinin-8, -12, -33, and others. The encoded peptides have been shown to regulate gastric acid secretion and food intake. A sulfated form of cholecystokinin-8 may modulate neuronal activity in the brain. Alternative splicing results in multiple transcript variants.
储存条件
储存条件:储存条件在:-20℃下储存一年, 避免反复冻融.
储存缓冲液:含0.15% ProClin300防腐剂, 100 μg/mL牛血清白蛋白和50%甘油的磷酸盐缓冲液.
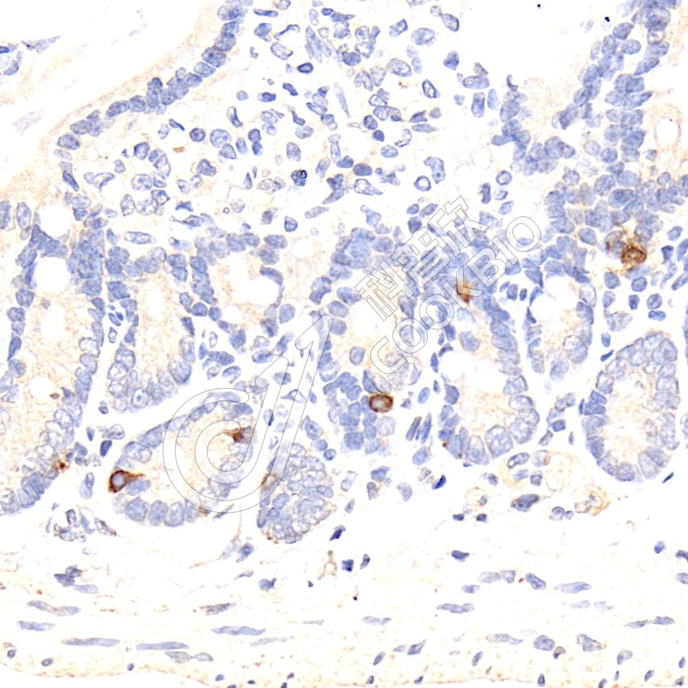
图像
IHC检测Cholecystokinin蛋白(货号 K1336489).
样品: 小鼠十二指肠, 4%多聚甲醛 (货号KSG1101) 固定12-24小时.
抗原修复: 柠檬酸抗原修复液(干粉, pH 6.0) (KSG1201), 98℃, 20分钟.
—抗: 1: 2800稀释, 4℃ 孵育过夜.
二抗: S-vision免疫组化多聚二抗(山羊抗兔),即用型 (货号KB3906), 室温孵育20分钟.
IHC检测Cholecystokinin蛋白(货号 K1336489).
样品: 小鼠十二指肠, 4%多聚甲醛 (货号KSG1101) 固定12-24小时.
抗原修复: 柠檬酸抗原修复液(干粉, pH 6.0) (KSG1201), 98℃, 20分钟.
—抗: 1: 2800稀释, 4℃ 孵育过夜.
二抗: S-vision免疫组化多聚二抗(山羊抗兔),即用型 (货号KB3906), 室温孵育20分钟.

需要技术支持?

如果您有任何问题或如果您在实验过程中遇到问题,或需要更详细的技术指导,请联系我们的技术支持团队
电话 400-6027-270

联系我们

如果您对我们的公司或产品有任何疑问,欢迎随时联系我们