tel 400-6027-270
Main Image
Anti-Leptin 小鼠单克隆抗体
¥1900
加入对比
货号: K236927-100
亚细胞定位: 分泌型
别名: LEPD,leptin,LEP,leptin,OB,Obese protein,Obesity factor,OBS
应用 | 种属
IHC/IF H,M,R
规格:
产品信息
蛋白质全称 瘦素
别名 LEPD,leptin,LEP,leptin,OB,Obese protein,Obesity factor,OBS
Uniprot ID P41160
免疫原 KLH偶联的小鼠Leptin合成肽
抗体亚型 IgG1, κ
克隆号 3C5C1
纯化方式 亲和纯化
亚细胞定位 分泌型
应用
IHC/IF 免疫组织化学/免疫荧光
物种:人, 小鼠, 大鼠
稀释比:1:500-1:1000
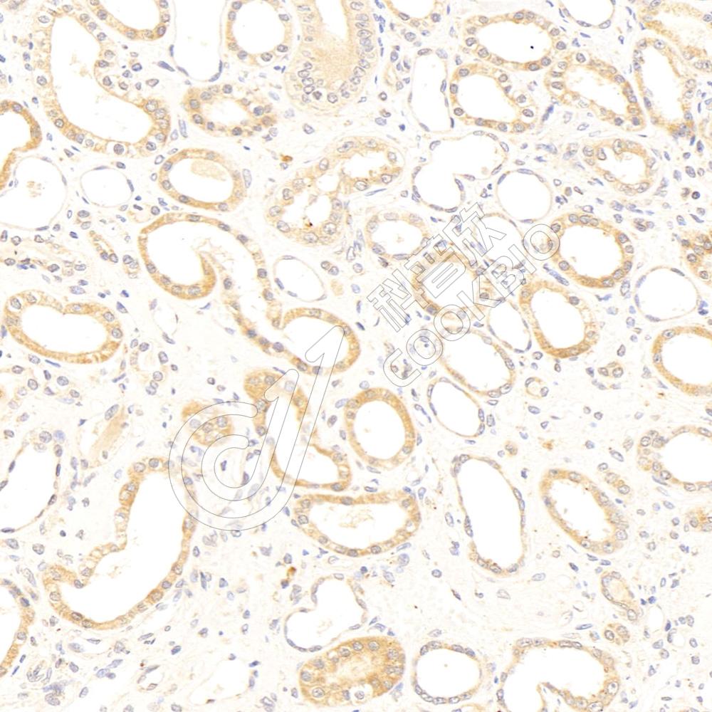
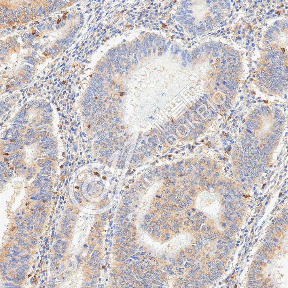
阳性样品:脂肪肉瘤, 白色脂肪
背景
The protein is secreted by white adipocytes, and which plays a major role in the regulation of body weight. This protein, which acts through the leptin receptor, functions as part of a signaling pathway that can inhibit food intake and/or regulate energy expenditure to maintain constancy of the adipose mass. This protein also has several endocrine functions, and is involved in the regulation of immune and inflammatory responses, hematopoiesis, angiogenesis and wound healing. Mutations in this gene and/or its regulatory regions cause severe obesity, and morbid obesity with hypogonadism.
储存条件
储存条件:储存条件在:-20℃下储存一年, 避免反复冻融.
储存缓冲液:含0.15% ProClin300防腐剂, 100 μg/mL牛血清白蛋白和50%甘油的磷酸盐缓冲液.
图像
IHC检测Leptin蛋白(货号 K236927).
样品: 人脂肪肉瘤, 4%多聚甲醛 (货号KSG1101) 固定12-24小时.
抗原修复: Tris-EDTA抗原修复液(pH 9.0) (KSG1203), 100℃, 25分钟.
—抗: 1: 800稀释, 4℃ 孵育过夜.
二抗: S-vision免疫组化多聚二抗(山羊抗小鼠), 即用型(货号KB3903), 室温孵育20分钟.
IHC检测Leptin蛋白(货号 K236927).
样品: 大鼠白色脂肪, 4%多聚甲醛 (货号KSG1101) 固定12-24小时.
抗原修复: Tris-EDTA抗原修复液(pH 9.0) (KSG1203), 100℃, 25分钟.
—抗: 1: 800稀释, 4℃ 孵育过夜.
二抗: S-vision免疫组化多聚二抗(山羊抗小鼠), 即用型(货号KB3903), 室温孵育20分钟.
IF检测Leptin蛋白(货号 K236927)(红色).
样品: 小鼠白色脂肪, 4%多聚甲醛 (货号KSG1101) 固定12-24小时.
抗原修复: Tris-EDTA抗原修复液(pH 9.0) (KSG1203), 100℃, 25分钟.
封闭: 3% BSA(货号KSGC305010)的PBS溶液, 室温孵育30分钟.
—抗: 1: 800稀释, 4℃ 孵育过夜.
二抗: Cy3标记山羊抗小鼠IgG (H+L) (货号KB63903), 1: 300稀释, 室温孵育1小时.
IF检测Leptin蛋白(货号 K236927)(红色).
样品: 人脂肪肉瘤, 4%多聚甲醛 (货号KSG1101) 固定12-24小时.
抗原修复: Tris-EDTA抗原修复液(pH 9.0) (KSG1203), 100℃, 25分钟.
封闭: 3% BSA(货号KSGC305010)的PBS溶液, 室温孵育30分钟.
—抗: 1: 800稀释, 4℃ 孵育过夜.
二抗: Cy3标记山羊抗小鼠IgG (H+L) (货号KB63903), 1: 300稀释, 室温孵育1小时.
IF检测Leptin蛋白(货号 K236927)(红色).
样品: 小鼠白色脂肪, 4%多聚甲醛 (货号KSG1101) 固定12-24小时.
抗原修复: Tris-EDTA抗原修复液(pH 9.0) (KSG1203), 100℃, 25分钟.
封闭: 3% BSA(货号KSGC305010)的PBS溶液, 室温孵育30分钟.
—抗: 1: 800稀释, 4℃ 孵育过夜.
二抗: Cy3标记山羊抗小鼠IgG (H+L) (货号KB63903), 1: 300稀释, 室温孵育1小时.
IF检测Leptin蛋白(货号 K236927)(红色).
样品: 大鼠白色脂肪, 4%多聚甲醛 (货号KSG1101) 固定12-24小时.
抗原修复: Tris-EDTA抗原修复液(pH 9.0) (KSG1203), 100℃, 25分钟.
封闭: 3% BSA(货号KSGC305010)的PBS溶液, 室温孵育30分钟.
—抗: 1: 800稀释, 4℃ 孵育过夜.
二抗: Cy3标记山羊抗小鼠IgG (H+L) (货号KB63903), 1: 300稀释, 室温孵育1小时.

需要技术支持?

如果您有任何问题或如果您在实验过程中遇到问题,或需要更详细的技术指导,请联系我们的技术支持团队
电话 400-6027-270

联系我们

如果您对我们的公司或产品有任何疑问,欢迎随时联系我们