tel 400-6027-270
Main Image
Anti-Prostaglandin D Synthase (Lipocalin)/PDS 兔多克隆抗体
¥1900
加入对比
货号: K1333891-100
亚细胞定位: 细胞质, 细胞核, 分泌型
别名: Glutathione-independent PGD synthase,Lipocalin-type prostaglandin-D synthase,Prostaglandin-D2 synthase,L-PGDS,PGD2 synthase,PGDS2,Ptgds,PDS
应用 | 种属
IHC/IF M,R
规格:
产品信息
蛋白质全称 前列腺素H2 D-异构酶
别名 Glutathione-independent PGD synthase,Lipocalin-type prostaglandin-D synthase,Prostaglandin-D2 synthase,L-PGDS,PGD2 synthase,PGDS2,Ptgds,PDS
Uniprot ID O09114
免疫原 KLH偶联的小鼠PDS合成肽
抗体亚型 IgG
纯化方式 亲和纯化
亚细胞定位 细胞质, 细胞核, 分泌型
应用
IHC/IF 免疫组织化学/免疫荧光
物种:小鼠,大鼠
稀释比:1:1500-1:3000
阳性样品:脑, 睾丸
背景
PGDS is a glutathione-independent prostaglandin D synthase that catalyzes the conversion of prostaglandin H2 (PGH2) to postaglandin D2 (PGD2). It is a prostaglandin involved in smooth muscle contraction/relaxation and a potent inhibitor of platelet aggregation. and also functions as a neuromodulator as well as a trophic factor in the central nervous system. PTGDS has also been implicated in the development and maintenance of the blood-brain, blood-retina, blood-aqueous humor and blood-testis barrier.
储存条件
储存条件:储存条件在:-20℃下储存一年, 避免反复冻融.
储存缓冲液:含0.15% ProClin300防腐剂, 100 μg/mL牛血清白蛋白和50%甘油的磷酸盐缓冲液.
图像
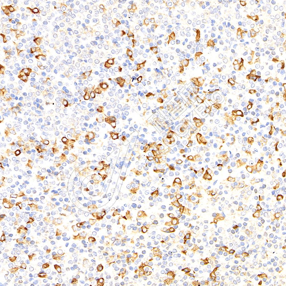
IHC检测Prostaglandin D Synthase (Lipocalin)/PDS蛋白(货号 K1333891).
样品: 小鼠睾丸, 4%多聚甲醛 (货号KSG1101) 固定12-24小时.
抗原修复: 柠檬酸抗原修复液(干粉, pH 6.0) (KSG1201), 98℃, 20分钟.
—抗: 1: 2300稀释, 4℃ 孵育过夜.
二抗: S-vision免疫组化多聚二抗(山羊抗兔),即用型 (货号KB3906), 室温孵育20分钟.
IHC检测Prostaglandin D Synthase (Lipocalin)/PDS蛋白(货号 K1333891).
样品: 大鼠脑, 4%多聚甲醛 (货号KSG1101) 固定12-24小时.
抗原修复: 柠檬酸抗原修复液(干粉, pH 6.0) (KSG1201), 98℃, 20分钟.
—抗: 1: 2300稀释, 4℃ 孵育过夜.
二抗: S-vision免疫组化多聚二抗(山羊抗兔),即用型 (货号KB3906), 室温孵育20分钟.

需要技术支持?

如果您有任何问题或如果您在实验过程中遇到问题,或需要更详细的技术指导,请联系我们的技术支持团队
电话 400-6027-270

联系我们

如果您对我们的公司或产品有任何疑问,欢迎随时联系我们