tel 400-6027-270
Main Image
Anti-CLIP2 兔多克隆抗体
¥1900
加入对比
货号: K1336069-100
预测分子量: 116 kDa
观测分子量: 130 kDa
亚细胞定位: 细胞质, 细胞骨架
别名: Cytoplasmic linker protein 115,CLIP-115,Cytoplasmic linker protein 2,Clip2,Cyln2,Kiaa0291,CLIP,WSCR4,WSCR3
应用 | 种属
WB M,R
IHC/IF R
规格:
产品信息
蛋白质全称 CAP-Gly结构域连接蛋白2
别名 Cytoplasmic linker protein 115,CLIP-115,Cytoplasmic linker protein 2,Clip2,Cyln2,Kiaa0291,CLIP,WSCR4,WSCR3
Uniprot ID Q9Z0H8
免疫原 小鼠CLIP2重组蛋白
抗体亚型 IgG
纯化方式 亲和纯化
亚细胞定位 细胞质, 细胞骨架
预测分子量./观测分子量. 116 kDa / 130 kDa
应用
WB 免疫印迹
物种:小鼠,大鼠
稀释比:1:500-1:1000
阳性样品:—
IHC/IF 免疫组织化学/免疫荧光
物种:大鼠
稀释比:1:700-1:2000
阳性样品:结肠
背景
The protein seems to link microtubules to dendritic lamellar body (DLB), a membranous organelle predominantly present in bulbous dendritic appendages of neurons linked by dendrodendritic gap junctions. May operates in the control of brain-specific organelle translocations.
储存条件
储存条件:储存条件在:-20℃下储存一年, 避免反复冻融.
储存缓冲液:含0.15% ProClin300防腐剂, 100 μg/mL牛血清白蛋白和50%甘油的磷酸盐缓冲液.
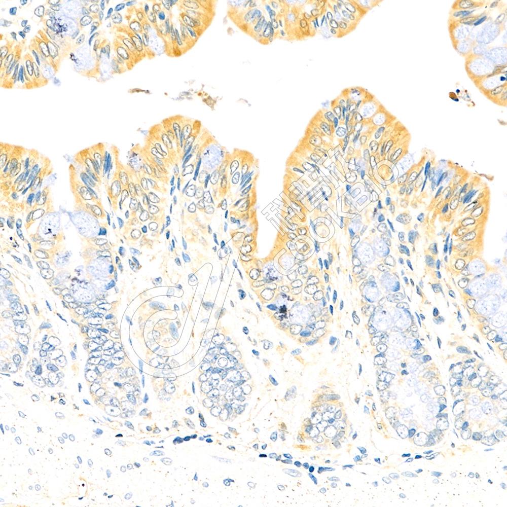
图像
IHC检测CLIP2蛋白(货号 K1336069).
样品: 大鼠结肠, 4%多聚甲醛 (货号KSG1101) 固定12-24小时.
抗原修复: 柠檬酸抗原修复液(干粉, pH 6.0) (KSG1201), 98℃, 20分钟.
—抗: 1: 1400稀释, 4℃ 孵育过夜.
二抗: S-vision免疫组化多聚二抗(山羊抗兔),即用型 (货号KB3906), 室温孵育20分钟.
IHC检测CLIP2蛋白(货号 K1336069).
样品: 大鼠结肠, 4%多聚甲醛 (货号KSG1101) 固定12-24小时.
抗原修复: 柠檬酸抗原修复液(干粉, pH 6.0) (KSG1201), 98℃, 20分钟.
—抗: 1: 1400稀释, 4℃ 孵育过夜.
二抗: S-vision免疫组化多聚二抗(山羊抗兔),即用型 (货号KB3906), 室温孵育20分钟.

需要技术支持?

如果您有任何问题或如果您在实验过程中遇到问题,或需要更详细的技术指导,请联系我们的技术支持团队
电话 400-6027-270

联系我们

如果您对我们的公司或产品有任何疑问,欢迎随时联系我们