tel 400-6027-270
Main Image
Anti-MRPS35 兔多克隆抗体
¥1900
加入对比
货号: K1335013-100
预测分子量: 36 kDa
观测分子量: 36 kDa
亚细胞定位: 线粒体
别名: MRP-S35,S35mt,mitochondrial,28S ribosomal protein S28,DKFZp762P093,MGC104278,OTTHUMP00000240420,MDS023,HDCMD11P
应用 | 种属
WB H,M,R
IHC/IF M,R
ICC/IF H,M
规格:
产品信息
蛋白质全称 28S核糖体蛋白S35
别名 MRP-S35,S35mt,mitochondrial,28S ribosomal protein S28,DKFZp762P093,MGC104278,OTTHUMP00000240420,MDS023,HDCMD11P
Uniprot ID Q8BJZ4
免疫原 KLH偶联的小鼠MRPS35合成肽
抗体亚型 IgG
纯化方式 亲和纯化
亚细胞定位 线粒体
预测分子量./观测分子量. 36 kDa / 36 kDa
应用
WB 免疫印迹
物种:人,小鼠,大鼠
稀释比:1:500-1:1000
阳性样品:—
IHC/IF 免疫组织化学/免疫荧光
物种:小鼠,大鼠
稀释比:1:400-1:1200
阳性样品:心, 肾
ICC/IF 免疫细胞化学/免疫荧光
物种:人,小鼠
稀释比:1:50-1:200
阳性样品:—
背景
MRPS35 (mitochondrial ribosomal protein S35), also known as MDS023, MRPS28 or HDCMD11P, is a 323 amino acid protein that localizes to the mitochondrion, where it exists as a component of the 28S ribosomal subunit and works in conjunction with other MRPs to mediate protein synthesis. Existing as two alternatively spliced isoforms, MRPS35 is encoded by a gene located on human chromosome 10, which houses over 1,200 genes and comprises nearly 4.5% of the human genome. This antibody is a rabbit polyclonal antibody raised against the full length MRPS35 protein. It specifically reacts with the 37kd MRPS35protein.
储存条件
储存条件:储存条件在:-20℃下储存一年, 避免反复冻融.
储存缓冲液:含0.15% ProClin300防腐剂, 100 μg/mL牛血清白蛋白和50%甘油的磷酸盐缓冲液.
图像
IHC检测MRPS35蛋白(货号 K1335013).
样品: 小鼠肾, 4%多聚甲醛 (货号KSG1101) 固定12-24小时.
抗原修复: 柠檬酸抗原修复液(干粉, pH 6.0) (KSG1201), 98℃, 20分钟.
—抗: 1: 800稀释, 4℃ 孵育过夜.
二抗: S-vision免疫组化多聚二抗(山羊抗兔),即用型 (货号KB3906), 室温孵育20分钟.
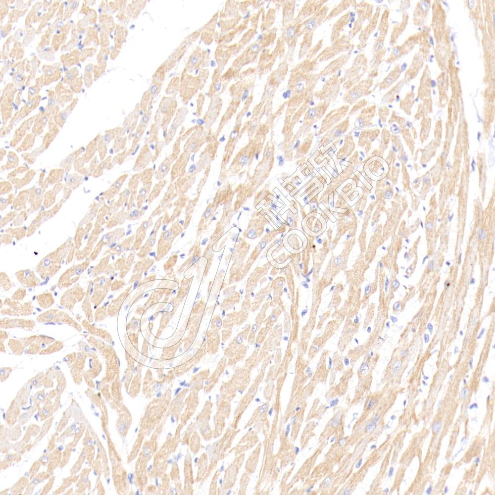
IHC检测MRPS35蛋白(货号 K1335013).
样品: 大鼠心, 4%多聚甲醛 (货号KSG1101) 固定12-24小时.
抗原修复: 柠檬酸抗原修复液(干粉, pH 6.0) (KSG1201), 98℃, 20分钟.
—抗: 1: 800稀释, 4℃ 孵育过夜.
二抗: S-vision免疫组化多聚二抗(山羊抗兔),即用型 (货号KB3906), 室温孵育20分钟.

需要技术支持?

如果您有任何问题或如果您在实验过程中遇到问题,或需要更详细的技术指导,请联系我们的技术支持团队
电话 400-6027-270

联系我们

如果您对我们的公司或产品有任何疑问,欢迎随时联系我们