tel 400-6027-270
Main Image
Anti-Nicotinic Acetylcholine Receptor alpha 7 兔多克隆抗体
¥1900
加入对比
货号: K1334005-100
亚细胞定位: 细胞膜
别名: Chrna7,Acra7,AChR,7nAChR,alpha 7 neuronal nicotinic acetylcholine receptor
应用 | 种属
IHC/IF M,R
规格:
产品信息
蛋白质全称 神经元乙酰胆碱受体α7亚基
别名 Chrna7,Acra7,AChR,7nAChR,alpha 7 neuronal nicotinic acetylcholine receptor
Uniprot ID P49582
免疫原 小鼠CHRNA7重组蛋白
抗体亚型 IgG
纯化方式 亲和纯化
亚细胞定位 细胞膜
应用
IHC/IF 免疫组织化学/免疫荧光
物种:小鼠,大鼠
稀释比:1:1000-1:4000
阳性样品:脑
背景
Nicotinic acetylcholine receptors (nAChRs) are cholinergic receptors that form ligand-gated ion channels that mediate fast signal transmission at synapses. CHRNA7 (neuronal acetylcholine receptor subunit alpha-7) forms a homo-oligomeric channel, displays marked permeability to calcium ions and is a major component of brain nicotinic receptors that are blocked by, and highly sensitive to, alpha-bungarotoxin.
储存条件
储存条件:储存条件在:-20℃下储存一年, 避免反复冻融.
储存缓冲液:含0.15% ProClin300防腐剂, 100 μg/mL牛血清白蛋白和50%甘油的磷酸盐缓冲液.
图像
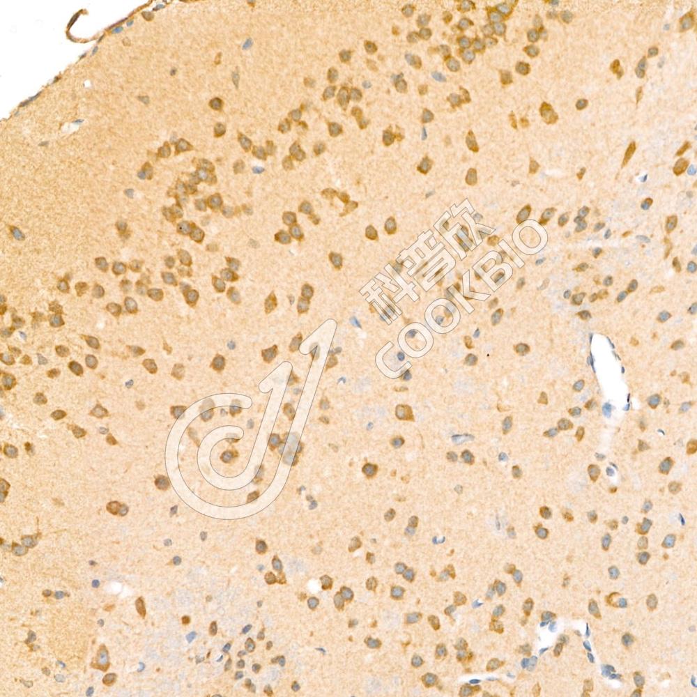
IHC检测Nicotinic Acetylcholine Receptor alpha 7蛋白(货号 K1334005).
样品: 大鼠脑, 4%多聚甲醛 (货号KSG1101) 固定12-24小时.
抗原修复: 柠檬酸抗原修复液(干粉, pH 6.0) (KSG1201), 98℃, 20分钟.
—抗: 1: 2500稀释, 4℃ 孵育过夜.
二抗: S-vision免疫组化多聚二抗(山羊抗兔),即用型 (货号KB3906), 室温孵育20分钟.
IHC检测Nicotinic Acetylcholine Receptor alpha 7蛋白(货号 K1334005).
样品: 小鼠脑, 4%多聚甲醛 (货号KSG1101) 固定12-24小时.
抗原修复: 柠檬酸抗原修复液(干粉, pH 6.0) (KSG1201), 98℃, 20分钟.
—抗: 1: 2500稀释, 4℃ 孵育过夜.
二抗: S-vision免疫组化多聚二抗(山羊抗兔),即用型 (货号KB3906), 室温孵育20分钟.

需要技术支持?

如果您有任何问题或如果您在实验过程中遇到问题,或需要更详细的技术指导,请联系我们的技术支持团队
电话 400-6027-270

联系我们

如果您对我们的公司或产品有任何疑问,欢迎随时联系我们