tel 400-6027-270
Main Image
Anti-5HT2A Receptor 兔多克隆抗体
¥1900
加入对比
货号: K1333003-100
预测分子量: 53 kDa
观测分子量: 53 kDa
亚细胞定位: 细胞膜
别名: 5-HT-2,5-HT-2A,Serotonin receptor 2A,Htr2a,Htr2,serotonin 5-HT-2 receptor,5 hydroxytryptamine receptor 2A
应用 | 种属
WB M,R
IHC/IF H,M,R
规格:
产品信息
蛋白质全称 5-羟色胺受体2A
别名 5-HT-2,5-HT-2A,Serotonin receptor 2A,Htr2a,Htr2,serotonin 5-HT-2 receptor,5 hydroxytryptamine receptor 2A
Uniprot ID P35363
免疫原 KLH偶联的小鼠5HT2A合成肽
抗体亚型 IgG
纯化方式 亲和纯化
亚细胞定位 细胞膜
预测分子量./观测分子量. 53 kDa / 53 kDa
应用
WB 免疫印迹
物种:小鼠,大鼠
稀释比:1:500-1:1000
阳性样品:—
IHC/IF 免疫组织化学/免疫荧光
物种:人,小鼠,大鼠
稀释比:1:200-1:2000
阳性样品:结肠, 结肠癌, 小肠
背景
This is one of the several different receptors for 5-hydroxytryptamine (serotonin), a biogenic hormone that functions as a neurotransmitter, a hormone, and a mitogen. This receptor mediates its action by association with G proteins that activate a phosphatidylinositol-calcium second messenger system. This receptor is involved in tracheal smooth muscle contraction, bronchoconstriction, and control of aldosterone production.
储存条件
储存条件:储存条件在:-20℃下储存一年, 避免反复冻融.
储存缓冲液:含0.15% ProClin300防腐剂, 100 μg/mL牛血清白蛋白和50%甘油的磷酸盐缓冲液.
图像
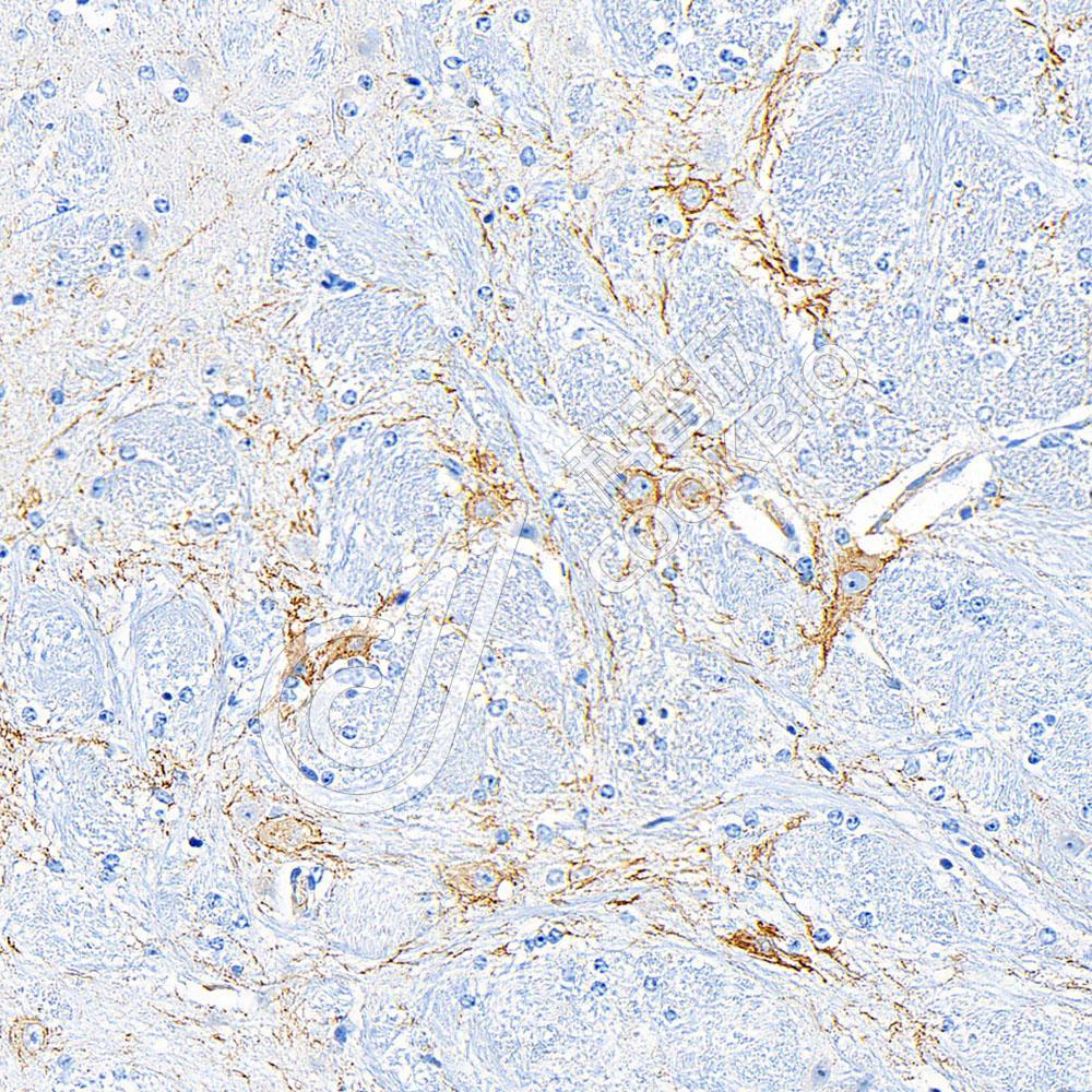
IHC检测5HT2A Receptor蛋白(货号 K1333003).
样品: 人结肠癌, 4%多聚甲醛 (货号KSG1101) 固定12-24小时.
抗原修复: 柠檬酸抗原修复液(干粉, pH 6.0) (KSG1201), 98℃, 20分钟.
—抗: 1: 1100稀释, 4℃ 孵育过夜.
二抗: S-vision免疫组化多聚二抗(山羊抗兔),即用型 (货号KB3906), 室温孵育20分钟.
5HT2A Receptor_d1000_WB
IHC检测5HT2A Receptor蛋白(货号 K1333003).
样品: 小鼠小肠, 4%多聚甲醛 (货号KSG1101) 固定12-24小时.
抗原修复: 柠檬酸抗原修复液(干粉, pH 6.0) (KSG1201), 98℃, 20分钟.
—抗: 1: 1100稀释, 4℃ 孵育过夜.
二抗: S-vision免疫组化多聚二抗(山羊抗兔),即用型 (货号KB3906), 室温孵育20分钟.
IF检测5HT2A Receptor蛋白(货号 K1333003)(红色).
样品: 大鼠结肠, 4%多聚甲醛 (货号KSG1101) 固定12-24小时.
抗原修复: Tris-EDTA抗原修复液(pH 9.0) (KSG1203), 98℃, 20分钟.
封闭: 3% BSA(货号KSGC305010)的PBS溶液, 室温孵育30分钟.
—抗: 1: 1100稀释, 4℃ 孵育过夜.
二抗: Cy3标记山羊抗兔IgG (H+L) (货号KB63909), 1: 300稀释, 室温孵育1小时.

需要技术支持?

如果您有任何问题或如果您在实验过程中遇到问题,或需要更详细的技术指导,请联系我们的技术支持团队
电话 400-6027-270

联系我们

如果您对我们的公司或产品有任何疑问,欢迎随时联系我们