tel 400-6027-270
Main Image
Anti-GABPA 兔多克隆抗体
¥1900
加入对比
货号: K135886-100
预测分子量: 51 kDa
观测分子量: 60 kDa
亚细胞定位: 细胞核
别名: GABP subunit alpha,Gabpa,E4tf1a,NFT 2,NRF 2,NRF 2A,Nuclear respiratory factor 2 alpha subunit,Transcription factor E4TF160
应用 | 种属
WB H,M,R
IHC/IF M,R
规格:
产品信息
蛋白质全称 GA结合蛋白α链
别名 GABP subunit alpha,Gabpa,E4tf1a,NFT 2,NRF 2,NRF 2A,Nuclear respiratory factor 2 alpha subunit,Transcription factor E4TF160
Uniprot ID Q00422
免疫原 小鼠GABPA重组蛋白
抗体亚型 IgG
纯化方式 亲和纯化
亚细胞定位 细胞核
预测分子量./观测分子量. 51 kDa / 60 kDa
应用
WB 免疫印迹
物种:人,小鼠,大鼠
稀释比:1:500-1:1000
阳性样品:肝
IHC/IF 免疫组织化学/免疫荧光
物种:小鼠,大鼠
稀释比:1:400-1:1000
阳性样品:肺, 子宫
背景
Transcription factor capable of interacting with purine rich repeats (GA repeats). Necessary for the expression of the Adenovirus E4 gene.
储存条件
储存条件:储存条件在:-20℃下储存一年, 避免反复冻融.
储存缓冲液:含0.15% ProClin300防腐剂, 100 μg/mL牛血清白蛋白和50%甘油的磷酸盐缓冲液.
图像
WB检测GABPA蛋白(货号 K135886).
样品: 经RIPA裂解液(货号KSG2002)处理的蛋白质.
封闭: 3%脱脂牛奶(货号KSGC310001)溶于TBST溶液, 室温孵育1小时.
—抗: 1: 1000稀释, 4℃ 孵育过夜.
二抗: HRP标记山羊抗兔IgG (H+L) (货号KB69909), 1: 5000稀释, 室温孵育1小时.
IHC检测GABPA蛋白(货号 K135886).
样品: 大鼠肺, 4%多聚甲醛 (货号KSG1101) 固定12-24小时.
抗原修复: Tris-EDTA抗原修复液(pH 9.0) (KSG1203), 98℃, 20分钟.
—抗: 1: 700稀释, 4℃ 孵育过夜.
二抗: S-vision免疫组化多聚二抗(山羊抗兔),即用型 (货号KB3906), 室温孵育20分钟.
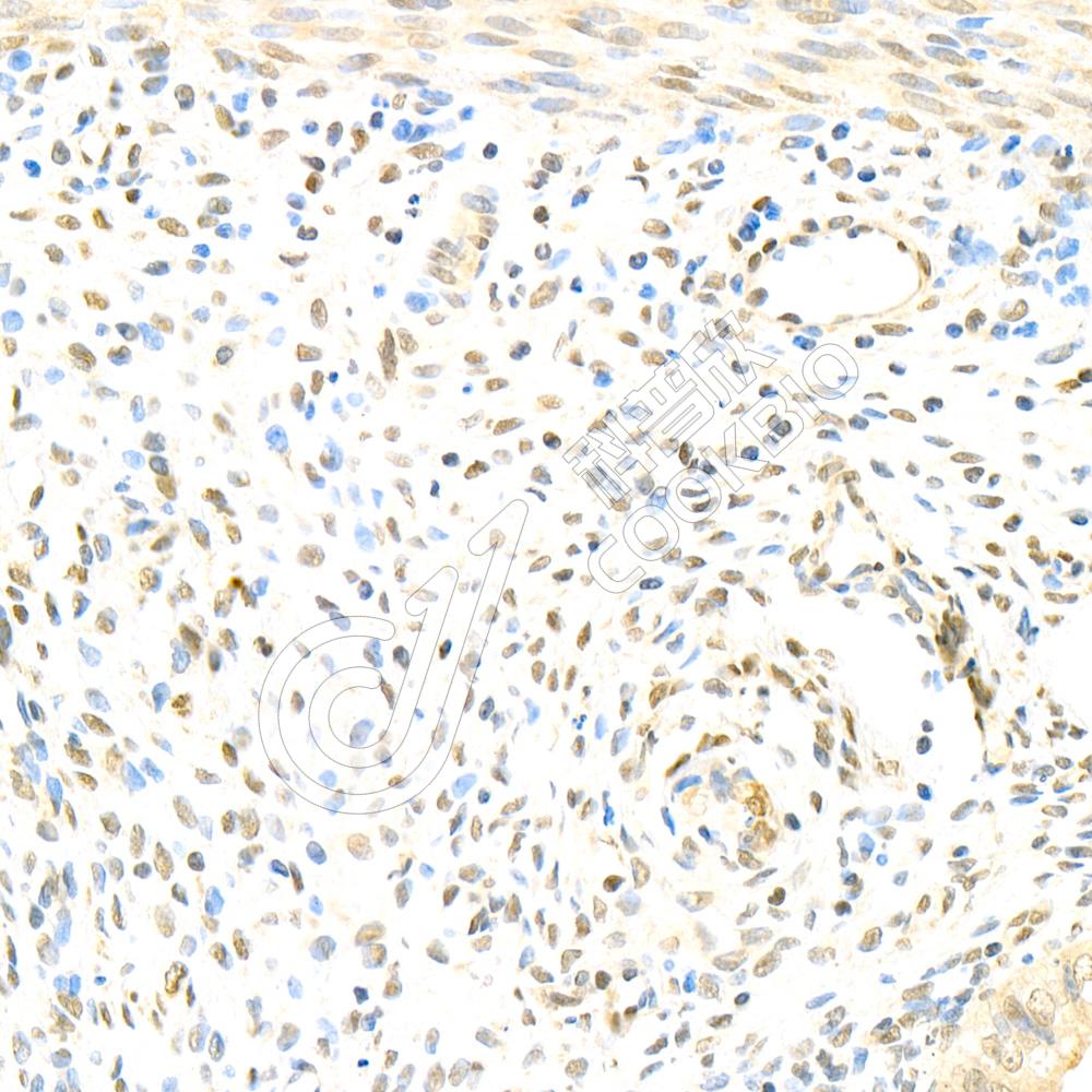
IHC检测GABPA蛋白(货号 K135886).
样品: 大鼠子宫, 4%多聚甲醛 (货号KSG1101) 固定12-24小时.
抗原修复: Tris-EDTA抗原修复液(pH 9.0) (KSG1203), 98℃, 20分钟.
—抗: 1: 700稀释, 4℃ 孵育过夜.
二抗: S-vision免疫组化多聚二抗(山羊抗兔),即用型 (货号KB3906), 室温孵育20分钟.

需要技术支持?

如果您有任何问题或如果您在实验过程中遇到问题,或需要更详细的技术指导,请联系我们的技术支持团队
电话 400-6027-270

联系我们

如果您对我们的公司或产品有任何疑问,欢迎随时联系我们