tel 400-6027-270
Main Image
Anti-Heme Oxygenase 1 兔多克隆抗体
¥1900
加入对比
货号: K134647-100
亚细胞定位: 内质网膜
别名: HMOX1,HMOX1D,HO-1,HSP32,bK286B10,heme oxygenase 1
应用 | 种属
IHC/IF M,R
规格:
产品信息
蛋白质全称 血红素加氧酶1
别名 HMOX1,HMOX1D,HO-1,HSP32,bK286B10,heme oxygenase 1
Uniprot ID P14901
免疫原 小鼠Heme oxygenase 1重组蛋白
抗体亚型 IgG
纯化方式 亲和纯化
亚细胞定位 内质网膜
应用
IHC/IF 免疫组织化学/免疫荧光
物种:小鼠,大鼠
稀释比:1:600-1:1600
阳性样品:脾
背景
Heme oxygenase cleaves the heme ring at the alpha methene bridge to form biliverdin. Biliverdin is subsequently converted to bilirubin by biliverdin reductase. Under physiological conditions, the activity of heme oxygenase is highest in the spleen, where senescent erythrocytes are sequestrated and destroyed. Exhibits cytoprotective effects since excess of free heme sensitizes cells to undergo apoptosis.
储存条件
储存条件:储存条件在:-20℃下储存一年, 避免反复冻融.
储存缓冲液:含0.15% ProClin300防腐剂, 100 μg/mL牛血清白蛋白和50%甘油的磷酸盐缓冲液.
图像
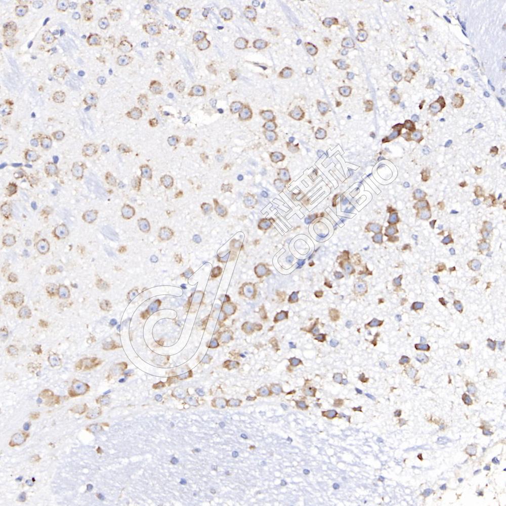
IHC检测Heme Oxygenase 1蛋白(货号 K134647).
样品: 小鼠脾, 4%多聚甲醛 (货号KSG1101) 固定12-24小时.
抗原修复: 柠檬酸抗原修复液(干粉, pH 6.0) (KSG1201), 98℃, 20分钟.
—抗: 1: 1100稀释, 4℃ 孵育过夜.
二抗: S-vision免疫组化多聚二抗(山羊抗兔),即用型 (货号KB3906), 室温孵育20分钟.
IF检测Heme Oxygenase 1蛋白(货号 K134647)(红色).
样品: 大鼠脾, 4%多聚甲醛 (货号KSG1101) 固定12-24小时.
抗原修复: Tris-EDTA抗原修复液(pH 9.0) (KSG1203), 98℃, 20分钟.
封闭: 3% BSA(货号KSGC305010)的PBS溶液, 室温孵育30分钟.
—抗: 1: 1100稀释, 4℃ 孵育过夜.
二抗: Cy3标记山羊抗兔IgG (H+L) (货号KB63909), 1: 300稀释, 室温孵育1小时.

需要技术支持?

如果您有任何问题或如果您在实验过程中遇到问题,或需要更详细的技术指导,请联系我们的技术支持团队
电话 400-6027-270

联系我们

如果您对我们的公司或产品有任何疑问,欢迎随时联系我们