tel 400-6027-270
Main Image
Anti-ATG7 兔多克隆抗体
¥1900
加入对比
货号: K134197-100
亚细胞定位: 细胞质
别名: APG7 LIKE,APG7L,ATG7,Autophagy related protein 7,GSA7,hAGP7,ATG12-activating enzyme E1 ATG7,autophagy related 7
应用 | 种属
IHC/IF M
规格:
产品信息
蛋白质全称 泛素样修饰激活酶ATG7
别名 APG7 LIKE,APG7L,ATG7,Autophagy related protein 7,GSA7,hAGP7,ATG12-activating enzyme E1 ATG7,autophagy related 7
Uniprot ID Q9D906
免疫原 KLH偶联的小鼠ATG7合成肽
抗体亚型 IgG
纯化方式 亲和纯化
亚细胞定位 细胞质
应用
IHC/IF 免疫组织化学/免疫荧光
物种:小鼠
稀释比:1:600-1:1200
阳性样品:小肠, 脾
背景
Atg7 is an E1-like enzyme that is specifically involved in autophagosome formation and is essential for autophagy. As an autophagic-related protein it is required for linking to Atg12, Atg5 and Atg8, which are essential for Atg conjugation and autophagosome formation. Atg7 has been reported as an important regulator of autophagy with starvation-induced or chemotherapeutic agent treatment. The high expression level of ATG7 is related to the survival of patients with breast cancer. There are several isoforms of ATG7 protein ranged from 68 kDa to 78 kDa.
储存条件
储存条件:储存条件在:-20℃下储存一年, 避免反复冻融.
储存缓冲液:含0.15% ProClin300防腐剂, 100 μg/mL牛血清白蛋白和50%甘油的磷酸盐缓冲液.
图像
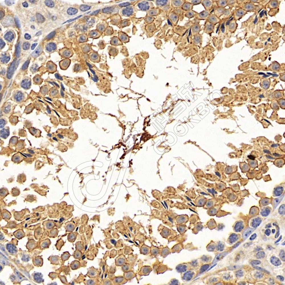
IHC检测ATG7蛋白(货号 K134197).
样品: 小鼠脾, 4%多聚甲醛 (货号KSG1101) 固定12-24小时.
抗原修复: 柠檬酸抗原修复液(干粉, pH 6.0) (KSG1201), 98℃, 20分钟.
—抗: 1: 900稀释, 4℃ 孵育过夜.
二抗: S-vision免疫组化多聚二抗(山羊抗兔),即用型 (货号KB3906), 室温孵育20分钟.
IF检测ATG7蛋白(货号 K134197)(红色).
样品: 小鼠小肠, 4%多聚甲醛 (货号KSG1101) 固定12-24小时.
抗原修复: Tris-EDTA抗原修复液(pH 9.0) (KSG1203), 98℃, 20分钟.
封闭: 3% BSA(货号KSGC305010)的PBS溶液, 室温孵育30分钟.
—抗: 1: 900稀释, 4℃ 孵育过夜.
二抗: Cy3标记山羊抗兔IgG (H+L) (货号KB63909), 1: 300稀释, 室温孵育1小时.

需要技术支持?

如果您有任何问题或如果您在实验过程中遇到问题,或需要更详细的技术指导,请联系我们的技术支持团队
电话 400-6027-270

联系我们

如果您对我们的公司或产品有任何疑问,欢迎随时联系我们