tel 400-6027-270
Main Image
Anti-ULK2 兔多克隆抗体
¥1900
加入对比
货号: K1346899-100
预测分子量: 113 kDa
观测分子量: 113 kDa
亚细胞定位: 胞质囊泡膜
别名: KIAA0623,Unc51.2
应用 | 种属
WB H,M,R
IHC/IF H,M,R
规格:
产品信息
蛋白质全称 丝氨酸/苏氨酸蛋白激酶ULK2
别名 KIAA0623,Unc51.2
Uniprot ID Q9QY01
免疫原 小鼠ULK2重组蛋白
抗体亚型 IgG
纯化方式 亲和纯化
亚细胞定位 胞质囊泡膜
预测分子量./观测分子量. 113 kDa / 113 kDa
应用
WB 免疫印迹
物种:人,小鼠,大鼠
稀释比:1:300-1:800
阳性样品:脑, 睾丸
IHC/IF 免疫组织化学/免疫荧光
物种:人,小鼠,大鼠
稀释比:1:300-1:600
阳性样品:食管癌, 海马区
背景
Serine/threonine-protein kinase involved in autophagy in response to starvation.Acts upstream of phosphatidylinositol 3-kinase PIK3C3 to regulate the formation of autophagophores, the precursors of autophagosomes.Part of regulatory feedback loops in autophagy: acts both as a downstream effector and a negative regulator of mammalian target of rapamycin complex 1 (mTORC1) via interaction with RPTOR.Activated via phosphorylation by AMPK, also acts as a negative regulator of AMPK through phosphorylation of the AMPK subunits PRKAA1, PRKAB2 and PRKAG1.
储存条件
储存条件:储存条件在:-20℃下储存一年, 避免反复冻融.
储存缓冲液:含0.15% ProClin300防腐剂, 100 μg/mL牛血清白蛋白和50%甘油的磷酸盐缓冲液.
图像
WB检测ULK2蛋白(货号 K1346899).
样品: 经RIPA裂解液(货号KSG2002)处理的蛋白质.
封闭: 3%脱脂牛奶(货号KSGC310001)溶于TBST溶液, 室温孵育1小时.
—抗: 1: 500稀释, 4℃ 孵育过夜.
二抗: HRP标记山羊抗兔IgG (H+L) (货号KB69909), 1: 5000稀释, 室温孵育1小时.
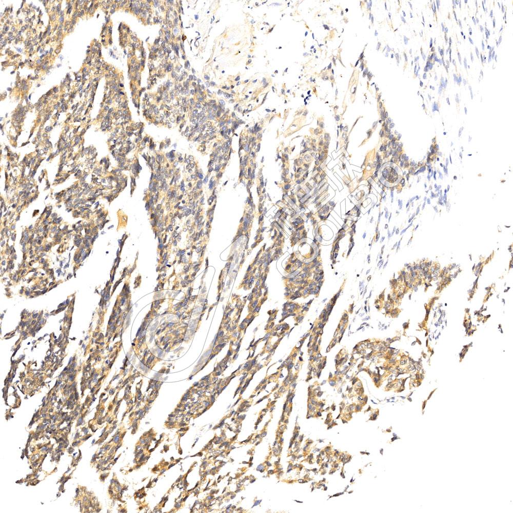
IHC检测ULK2蛋白(货号 K1346899).
样品: 人食管癌, 4%多聚甲醛 (货号KSG1101) 固定12-24小时.
抗原修复: 柠檬酸抗原修复液(干粉, pH 6.0) (KSG1201), 98℃, 20分钟.
—抗: 1: 500稀释, 4℃ 孵育过夜.
二抗: S-vision免疫组化多聚二抗(山羊抗兔),即用型 (货号KB3906), 室温孵育20分钟.
IHC检测ULK2蛋白(货号 K1346899).
样品: 小鼠海马区, 4%多聚甲醛 (货号KSG1101) 固定12-24小时.
抗原修复: 柠檬酸抗原修复液(干粉, pH 6.0) (KSG1201), 98℃, 20分钟.
—抗: 1: 500稀释, 4℃ 孵育过夜.
二抗: S-vision免疫组化多聚二抗(山羊抗兔),即用型 (货号KB3906), 室温孵育20分钟.
IHC检测ULK2蛋白(货号 K1346899).
样品: 大鼠海马区, 4%多聚甲醛 (货号KSG1101) 固定12-24小时.
抗原修复: 柠檬酸抗原修复液(干粉, pH 6.0) (KSG1201), 98℃, 20分钟.
—抗: 1: 500稀释, 4℃ 孵育过夜.
二抗: S-vision免疫组化多聚二抗(山羊抗兔),即用型 (货号KB3906), 室温孵育20分钟.

需要技术支持?

如果您有任何问题或如果您在实验过程中遇到问题,或需要更详细的技术指导,请联系我们的技术支持团队
电话 400-6027-270

联系我们

如果您对我们的公司或产品有任何疑问,欢迎随时联系我们