tel 400-6027-270
Main Image
Anti-WDFY3 兔多克隆抗体
¥1900
加入对比
货号: K1335907-100
亚细胞定位: 细胞质, 膜, 细胞核
别名: ALFY,Autophagy linked FYVE protein,KIAA0993,WDFY3,ZFYVE25,BWF1
应用 | 种属
IHC/IF H
规格:
产品信息
蛋白质全称 WD重复与FYVE结构域蛋白3
别名 ALFY,Autophagy linked FYVE protein,KIAA0993,WDFY3,ZFYVE25,BWF1
Uniprot ID Q6VNB8
免疫原 KLH偶联的小鼠WDFY3合成肽
抗体亚型 IgG
纯化方式 亲和纯化
亚细胞定位 细胞质, 膜, 细胞核
应用
IHC/IF 免疫组织化学/免疫荧光
物种:人
稀释比:1:400-1:1300
阳性样品:结肠, 结肠癌
背景
WDFY3 also called ALFY, is a phosphatidylinositol 3-phosphate-binding protein that functions as a master conductor for aggregate clearance by autophagy.This protein shuttles from the nuclear membrane to colocalize with aggregated proteins, where it complexes with other autophagic components to achieve macroautophagy-mediated clearance of these aggregated proteins. However, it is not necessary for starvation-induced macroautophagy.
储存条件
储存条件:储存条件在:-20℃下储存一年, 避免反复冻融.
储存缓冲液:含0.15% ProClin300防腐剂, 100 μg/mL牛血清白蛋白和50%甘油的磷酸盐缓冲液.
图像
IHC检测WDFY3蛋白(货号 K1335907).
样品: 人结肠癌, 4%多聚甲醛 (货号KSG1101) 固定12-24小时.
抗原修复: 柠檬酸抗原修复液(干粉, pH 6.0) (KSG1201), 98℃, 20分钟.
—抗: 1: 900稀释, 4℃ 孵育过夜.
二抗: S-vision免疫组化多聚二抗(山羊抗兔),即用型 (货号KB3906), 室温孵育20分钟.
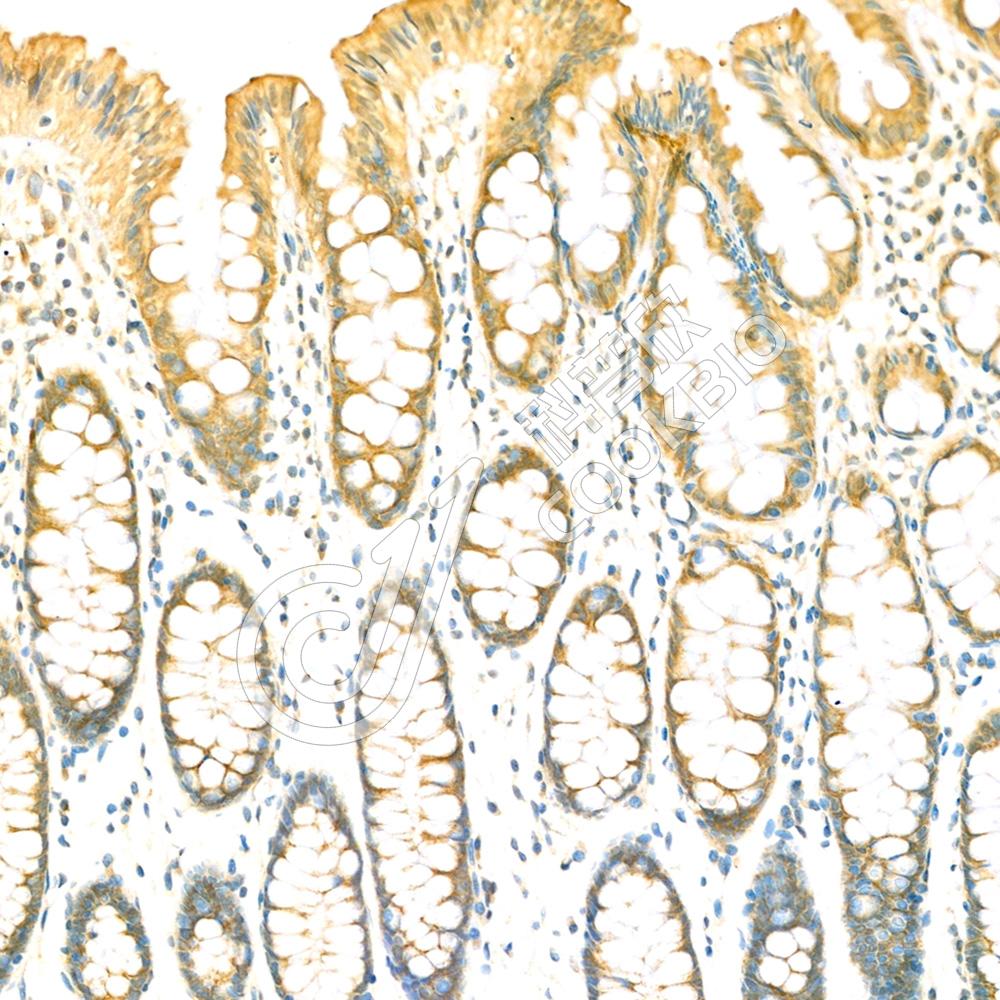
IHC检测WDFY3蛋白(货号 K1335907).
样品: 人结肠, 4%多聚甲醛 (货号KSG1101) 固定12-24小时.
抗原修复: 柠檬酸抗原修复液(干粉, pH 6.0) (KSG1201), 98℃, 20分钟.
—抗: 1: 900稀释, 4℃ 孵育过夜.
二抗: S-vision免疫组化多聚二抗(山羊抗兔),即用型 (货号KB3906), 室温孵育20分钟.

需要技术支持?

如果您有任何问题或如果您在实验过程中遇到问题,或需要更详细的技术指导,请联系我们的技术支持团队
电话 400-6027-270

联系我们

如果您对我们的公司或产品有任何疑问,欢迎随时联系我们