tel 400-6027-270
Main Image
Anti-IL-10 兔多克隆抗体
¥1900
加入对比
货号: K133324-100
预测分子量: 21 kDa
观测分子量: 21 kDa
亚细胞定位: 分泌型
别名: IL10,CSIF,GVHDS,IL-10,IL10A,TGIF,interleukin 10,Cytokine Synthesis Inhibitory Factor,Interleukin-10 precursor
应用 | 种属
WB M
IHC/IF M,R
规格:
产品信息
蛋白质全称 白细胞介素-10
别名 IL10,CSIF,GVHDS,IL-10,IL10A,TGIF,interleukin 10,Cytokine Synthesis Inhibitory Factor,Interleukin-10 precursor
Uniprot ID P18893
免疫原 KLH偶联的小鼠IL-10合成肽
抗体亚型 IgG
纯化方式 亲和纯化
亚细胞定位 分泌型
预测分子量./观测分子量. 21 kDa / 21 kDa
应用
WB 免疫印迹
物种:小鼠
稀释比:1:1000-1:2000
阳性样品:—
IHC/IF 免疫组织化学/免疫荧光
物种:小鼠,大鼠
稀释比:1:200-1:1000
阳性样品:LPS诱导的脓毒症模型脾脏, 损伤肺, 脾
背景
IL-10 is a cytokine with multiple, pleiotropic, effects in immunoregulation and inflammation. It downregulates the expression of Th1 cytokines, MHC class II antigens, and co-stimulatory molecules on macrophages. It also enhances B cell survival, proliferation, and antibody production. IL-10 can block NF-κB activity, and is involved in the regulation of the JAK-STAT signaling pathway.
储存条件
储存条件:储存条件在:-20℃下储存一年, 避免反复冻融.
储存缓冲液:含0.15% ProClin300防腐剂, 100 μg/mL牛血清白蛋白和50%甘油的磷酸盐缓冲液.
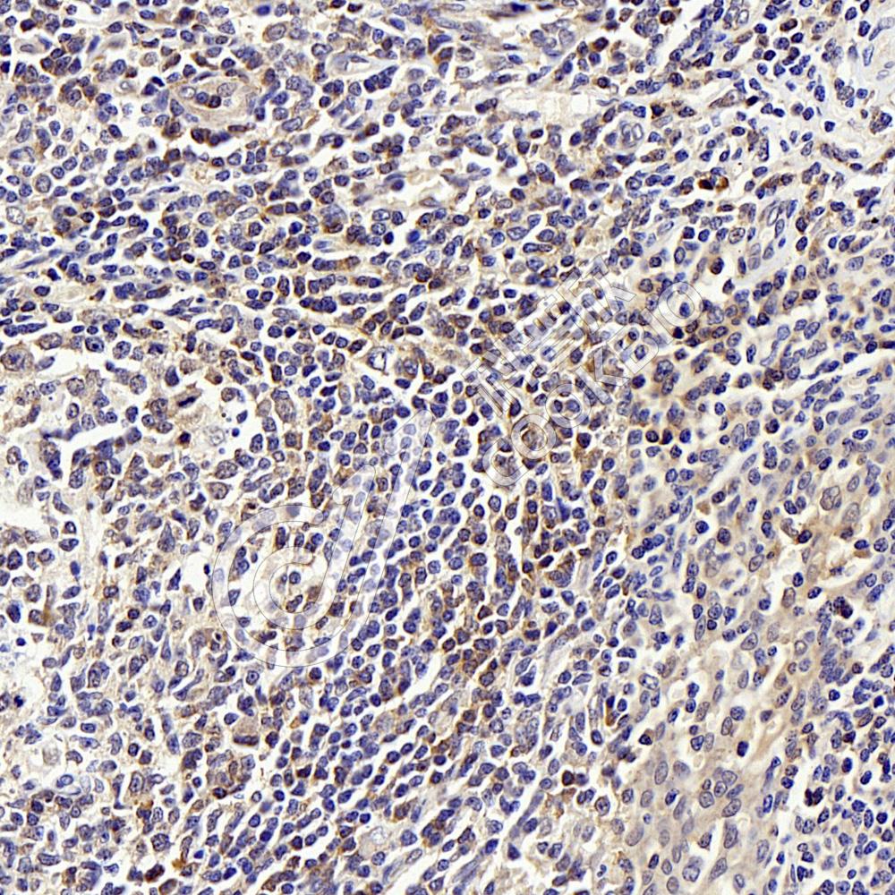
图像
IHC检测IL-10蛋白(货号 K133324).
样品: 小鼠脾, 4%多聚甲醛 (货号KSG1101) 固定12-24小时.
抗原修复: 柠檬酸抗原修复液(干粉, pH 6.0) (KSG1201), 98℃, 20分钟.
—抗: 1: 600稀释, 4℃ 孵育过夜.
二抗: S-vision免疫组化多聚二抗(山羊抗兔),即用型 (货号KB3906), 室温孵育20分钟.
IF检测IL-10蛋白(货号 K133324)(绿色).
样品: 大鼠LPS诱导的脓毒症模型脾脏, 4%多聚甲醛 (货号KSG1101) 固定12-24小时.
抗原修复: Tris-EDTA抗原修复液(pH 9.0) (KSG1203), 98℃, 20分钟.
封闭: 3% BSA(货号KSGC305010)的PBS溶液, 室温孵育30分钟.
—抗: 1: 600稀释, 4℃ 孵育过夜.
二抗: Alexa Fluor 488标记山羊抗兔IgG (H+L) (货号KB75909), 1: 400稀释, 室温孵育1小时.
IF检测IL-10蛋白(货号 K133324)(绿色).
样品: 大鼠损伤肺, 4%多聚甲醛 (货号KSG1101) 固定12-24小时.
抗原修复: Tris-EDTA抗原修复液(pH 9.0) (KSG1203), 98℃, 20分钟.
封闭: 3% BSA(货号KSGC305010)的PBS溶液, 室温孵育30分钟.
—抗: 1: 600稀释, 4℃ 孵育过夜.
二抗: Alexa Fluor 488标记山羊抗兔IgG (H+L) (货号KB75909), 1: 400稀释, 室温孵育1小时.

需要技术支持?

如果您有任何问题或如果您在实验过程中遇到问题,或需要更详细的技术指导,请联系我们的技术支持团队
电话 400-6027-270

联系我们

如果您对我们的公司或产品有任何疑问,欢迎随时联系我们