tel 400-6027-270
Main Image
Anti-IL-33 兔多克隆抗体
¥1900
加入对比
货号: K1346452-100
亚细胞定位: 细胞核
别名: C9orf26,DVS27,IL 1F11,IL 33,IL1F11,IL33,IL-33,Interleukin 1 family member 11,interleukin 33,NF HEV,NFEHEV,NFHEV,RP11 575C20.2
应用 | 种属
IHC/IF H,M,R
规格:
产品信息
蛋白质全称 白细胞介素33
别名 C9orf26,DVS27,IL 1F11,IL 33,IL1F11,IL33,IL-33,Interleukin 1 family member 11,interleukin 33,NF HEV,NFEHEV,NFHEV,RP11 575C20.2
Uniprot ID Q8BVZ5
免疫原 KLH偶联的小鼠IL 33合成肽
抗体亚型 IgG
纯化方式 亲和纯化
亚细胞定位 细胞核
应用
IHC/IF 免疫组织化学/免疫荧光
物种:人,小鼠,大鼠
稀释比:1:100-1:300
阳性样品:结肠, 扁桃体
背景
Cytokine that binds to and signals through the IL1RL1/ST2 receptor which in turn activates NF-kappa-B and MAPK signaling pathways in target cells. Involved in the maturation of Th2 cells inducing the secretion of T-helper type 2-associated cytokines. Also involved in activation of mast cells,basophils,eosinophils and natural killer cells. Acts as a chemoattractant for Th2 cells, and may function as an 'alarmin',that amplifies immune responses during tissue injury.; In quiescent endothelia the uncleaved form is constitutively and abundantly expressed, and acts as a chromatin-associated nuclear factor with transcriptional repressor properties, it may sequester nuclear NF-kappaB/RELA, lowering expression of its targets. This form is rapidely lost upon angiogenic or proinflammatory activation.
储存条件
储存条件:储存条件在:-20℃下储存一年, 避免反复冻融.
储存缓冲液:含0.15% ProClin300防腐剂, 100 μg/mL牛血清白蛋白和50%甘油的磷酸盐缓冲液.
图像
IHC检测IL-33蛋白(货号 K1346452).
样品: 人扁桃体, 4%多聚甲醛 (货号KSG1101) 固定12-24小时.
抗原修复: Tris-EDTA抗原修复液(pH 9.0) (KSG1203), 98℃, 20分钟.
—抗: 1: 200稀释, 4℃ 孵育过夜.
二抗: S-vision免疫组化多聚二抗(山羊抗兔),即用型 (货号KB3906), 室温孵育20分钟.
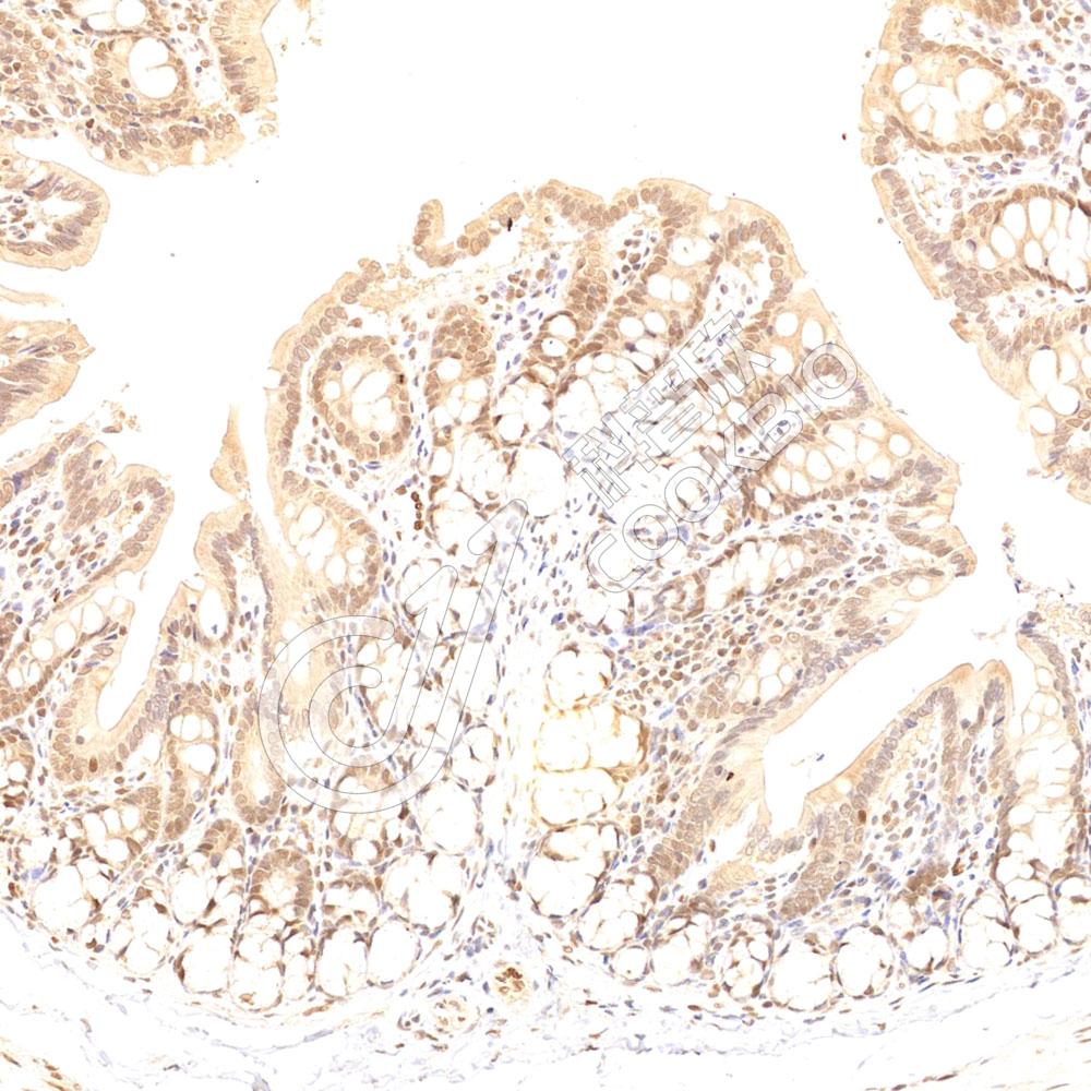
IHC检测IL-33蛋白(货号 K1346452).
样品: 小鼠结肠, 4%多聚甲醛 (货号KSG1101) 固定12-24小时.
抗原修复: Tris-EDTA抗原修复液(pH 9.0) (KSG1203), 98℃, 20分钟.
—抗: 1: 200稀释, 4℃ 孵育过夜.
二抗: S-vision免疫组化多聚二抗(山羊抗兔),即用型 (货号KB3906), 室温孵育20分钟.
IHC检测IL-33蛋白(货号 K1346452).
样品: 大鼠结肠, 4%多聚甲醛 (货号KSG1101) 固定12-24小时.
抗原修复: Tris-EDTA抗原修复液(pH 9.0) (KSG1203), 98℃, 20分钟.
—抗: 1: 200稀释, 4℃ 孵育过夜.
二抗: S-vision免疫组化多聚二抗(山羊抗兔),即用型 (货号KB3906), 室温孵育20分钟.

需要技术支持?

如果您有任何问题或如果您在实验过程中遇到问题,或需要更详细的技术指导,请联系我们的技术支持团队
电话 400-6027-270

联系我们

如果您对我们的公司或产品有任何疑问,欢迎随时联系我们