tel 400-6027-270
Main Image
Anti-TNFAIP2 兔多克隆抗体
¥1900
加入对比
货号: K1336921-100
亚细胞定位: 分泌型
别名: TNF alpha-induced protein 2,Primary response gene B94 protein,Tnfaip2
应用 | 种属
IHC/IF M
规格:
产品信息
蛋白质全称 肿瘤坏死因子α诱导蛋白2
别名 TNF alpha-induced protein 2,Primary response gene B94 protein,Tnfaip2
Uniprot ID Q61333
免疫原 小鼠TNFAIP2重组蛋白
抗体亚型 IgG
纯化方式 亲和纯化
亚细胞定位 分泌型
应用
IHC/IF 免疫组织化学/免疫荧光
物种:小鼠
稀释比:1:600-1:1800
阳性样品:膀胱
背景
The TNFAIP2 gene was identified as a gene whose expression can be induced by the tumor necrosis factor alpha (TNF) in umbilical vein endothelial cells. The expression of TNFAIP2 was shown to be induced by retinoic acid in a cell line expressing a oncogenic version of the retinoic acid receptor alpha fusion protein. This suggested that this gene may be a retinoic acid target gene in acute promyelocytic leukemia.
储存条件
储存条件:储存条件在:-20℃下储存一年, 避免反复冻融.
储存缓冲液:含0.15% ProClin300防腐剂, 100 μg/mL牛血清白蛋白和50%甘油的磷酸盐缓冲液.
图像
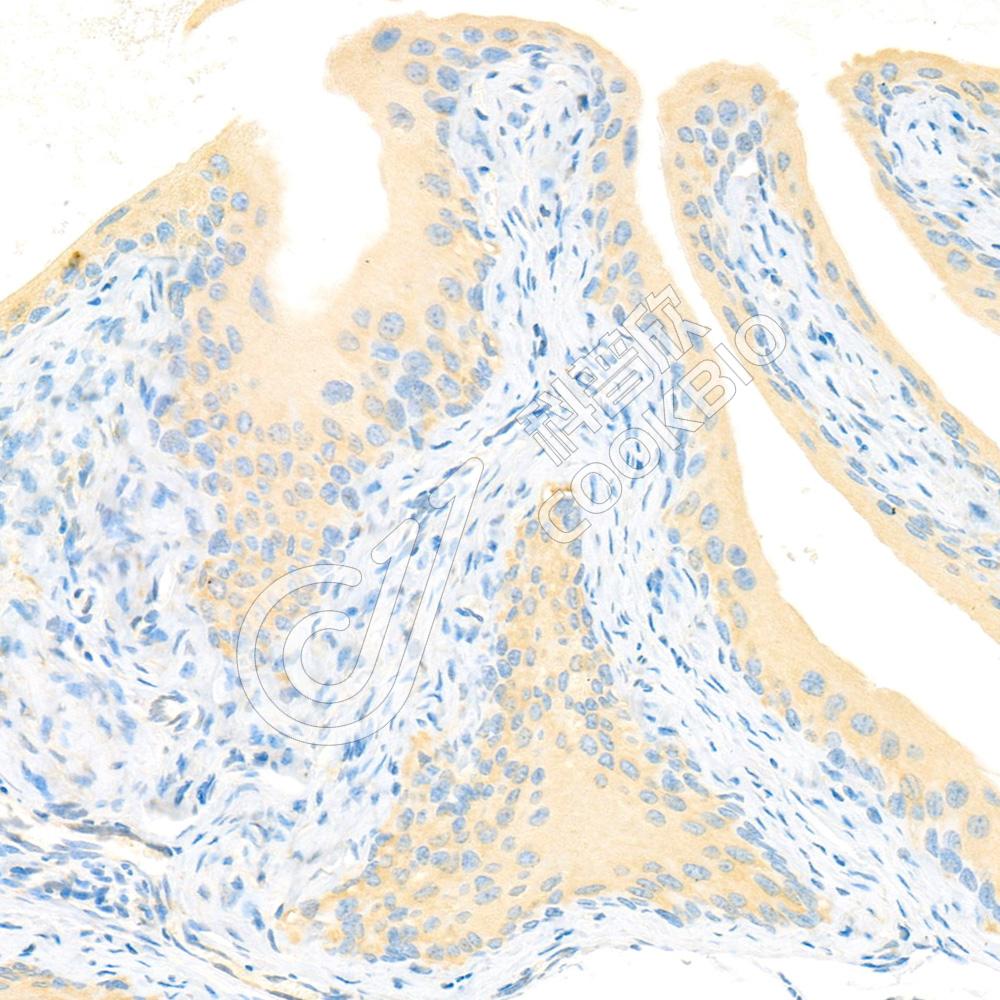
IHC检测TNFAIP2蛋白(货号 K1336921).
样品: 小鼠膀胱, 4%多聚甲醛 (货号KSG1101) 固定12-24小时.
抗原修复: 柠檬酸抗原修复液(干粉, pH 6.0) (KSG1201), 98℃, 20分钟.
—抗: 1: 1200稀释, 4℃ 孵育过夜.
二抗: S-vision免疫组化多聚二抗(山羊抗兔),即用型 (货号KB3906), 室温孵育20分钟.
IHC检测TNFAIP2蛋白(货号 K1336921).
样品: 小鼠膀胱, 4%多聚甲醛 (货号KSG1101) 固定12-24小时.
抗原修复: 柠檬酸抗原修复液(干粉, pH 6.0) (KSG1201), 98℃, 20分钟.
—抗: 1: 1200稀释, 4℃ 孵育过夜.
二抗: S-vision免疫组化多聚二抗(山羊抗兔),即用型 (货号KB3906), 室温孵育20分钟.

需要技术支持?

如果您有任何问题或如果您在实验过程中遇到问题,或需要更详细的技术指导,请联系我们的技术支持团队
电话 400-6027-270

联系我们

如果您对我们的公司或产品有任何疑问,欢迎随时联系我们