tel 400-6027-270
Main Image
Anti-M-CSF 兔多克隆抗体
¥1900
加入对比
货号: K1333615-100
亚细胞定位: 细胞膜, 分泌型
别名: Csf1,CSF1,CSF-1,MCSF,colony stimulating factor 1,Colony stimulating factor macrophage specific,Colony stimulating factor 1 (macrophage),Colony stimulating factor 1,M-CSF,  Lanimostim,Processed macrophage colony-stimulating factor 1
应用 | 种属
IHC/IF H,M,R
规格:
产品信息
蛋白质全称 巨噬细胞集落刺激因子1
别名 Csf1,CSF1,CSF-1,MCSF,colony stimulating factor 1,Colony stimulating factor macrophage specific,Colony stimulating factor 1 (macrophage),Colony stimulating factor 1,M-CSF,  Lanimostim,Processed macrophage colony-stimulating factor 1
Uniprot ID P09603
免疫原 人M-CSF重组蛋白
抗体亚型 IgG
纯化方式 亲和纯化
亚细胞定位 细胞膜, 分泌型
应用
IHC/IF 免疫组织化学/免疫荧光
物种:人,小鼠,大鼠
稀释比:1:400-1:2000
阳性样品:骨, 结肠, LPS诱导的脓毒症模型脾脏
背景
The colony stimulating factor 1 (CSF1), also known as macrophage colony-stimulating factor (M-CSF), is a secreted cytokine which causes hematopoietic stem cells to differentiate into macrophages or other related cell types. Eukaryotic cells also produce M-CSF in order to combat intercellular viral infection. It is one of the three experimentally described colony-stimulating factors. M-CSF binds to the colony stimulating factor 1 receptor. It may also be involved in development of the placenta.
储存条件
储存条件:储存条件在:-20℃下储存一年, 避免反复冻融.
储存缓冲液:含0.15% ProClin300防腐剂, 100 μg/mL牛血清白蛋白和50%甘油的磷酸盐缓冲液.
图像
IHC检测M-CSF蛋白(货号 K1333615).
样品: 人结肠, 4%多聚甲醛 (货号KSG1101) 固定12-24小时.
抗原修复: 柠檬酸抗原修复液(干粉, pH 6.0) (KSG1201), 98℃, 20分钟.
—抗: 1: 1200稀释, 4℃ 孵育过夜.
二抗: S-vision免疫组化多聚二抗(山羊抗兔),即用型 (货号KB3906), 室温孵育20分钟.
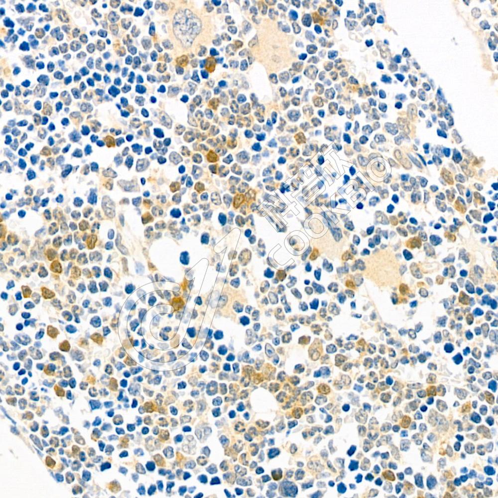
IHC检测M-CSF蛋白(货号 K1333615).
样品: 人扁桃体, 4%多聚甲醛 (货号KSG1101) 固定12-24小时.
抗原修复: 柠檬酸抗原修复液(干粉, pH 6.0) (KSG1201), 98℃, 20分钟.
—抗: 1: 1200稀释, 4℃ 孵育过夜.
二抗: S-vision免疫组化多聚二抗(山羊抗兔),即用型 (货号KB3906), 室温孵育20分钟.
IHC检测M-CSF蛋白(货号 K1333615).
样品: 小鼠骨, 4%多聚甲醛 (货号KSG1101) 固定12-24小时.
抗原修复: 柠檬酸抗原修复液(干粉, pH 6.0) (KSG1201), 98℃, 20分钟.
—抗: 1: 1200稀释, 4℃ 孵育过夜.
二抗: S-vision免疫组化多聚二抗(山羊抗兔),即用型 (货号KB3906), 室温孵育20分钟.
IF检测M-CSF蛋白(货号 K1333615)(红色).
样品: 大鼠LPS诱导的脓毒症模型脾脏, 4%多聚甲醛 (货号KSG1101) 固定12-24小时.
抗原修复: Tris-EDTA抗原修复液(pH 9.0) (KSG1203), 98℃, 20分钟.
封闭: 3% BSA(货号KSGC305010)的PBS溶液, 室温孵育30分钟.
—抗: 1: 1200稀释, 4℃ 孵育过夜.
二抗: Cy3标记山羊抗兔IgG (H+L) (货号KB63909), 1: 300稀释, 室温孵育1小时.

需要技术支持?

如果您有任何问题或如果您在实验过程中遇到问题,或需要更详细的技术指导,请联系我们的技术支持团队
电话 400-6027-270

联系我们

如果您对我们的公司或产品有任何疑问,欢迎随时联系我们