tel 400-6027-270
Main Image
Anti-GSK3 beta 小鼠单克隆抗体
¥1900
加入对比
货号: K238505-100
预测分子量: 47 kDa
观测分子量: 47 kDa
亚细胞定位: 细胞质, 细胞核, 细胞膜
别名: GSK3B,Gsk3b,7330414F15Rik,8430431H08Rik,C86142,GSK-3,GSK-3beta,GSK3,glycogen synthase kinase 3 beta
应用 | 种属
WB H,M,R
IHC/IF H,M,R
规格:
产品信息
蛋白质全称 糖原合酶激酶3β
别名 GSK3B,Gsk3b,7330414F15Rik,8430431H08Rik,C86142,GSK-3,GSK-3beta,GSK3,glycogen synthase kinase 3 beta
Uniprot ID Q9WV60
免疫原 小鼠GSK3 beta重组蛋白
抗体亚型 IgG1, κ
克隆号 6A3F9
纯化方式 亲和纯化
亚细胞定位 细胞质, 细胞核, 细胞膜
预测分子量./观测分子量. 47 kDa / 47 kDa
应用
WB 免疫印迹
物种:人,小鼠,大鼠
稀释比:1:500-1:1000
阳性样品:A-431细胞
IHC/IF 免疫组织化学/免疫荧光
物种:人,小鼠,大鼠
稀释比:1:500-1:1000
阳性样品:卵巢癌, 睾丸
背景
Glycogen synthase kinase-3 (GSK-3) is a proline-directed serine-threonine kinase that was initially identified as a phosphorylating and an inactivating agent of glycogen synthase. Two isoforms, alpha (GSK3A) and beta, show a high degree of amino acid homology. GSK3B is involved in energy metabolism, neuronal cell development, and body pattern formation. It might be a new therapeutic target for ischemic stroke.
储存条件
储存条件:储存条件在:-20℃下储存一年, 避免反复冻融.
储存缓冲液:含0.15% ProClin300防腐剂, 100 μg/mL牛血清白蛋白和50%甘油的磷酸盐缓冲液.
图像
WB检测GSK3 beta蛋白(货号 K238505).
样品: 经RIPA裂解液(货号KSG2002)处理的蛋白质.
封闭: 3%脱脂牛奶(货号KSGC310001)溶于TBST溶液, 室温孵育1小时.
—抗: 1: 1000稀释, 4℃ 孵育过夜.
二抗: HRP标记山羊抗小鼠IgG (H+L) (货号KB69903), 1: 5000稀释, 室温孵育1小时.
IHC检测GSK3 beta蛋白(货号 K238505).
样品: 人卵巢癌, 4%多聚甲醛 (货号KSG1101) 固定12-24小时.
抗原修复: Tris-EDTA抗原修复液(pH 9.0) (KSG1203), 98℃, 20分钟.
—抗: 1: 800稀释, 4℃ 孵育过夜.
二抗: S-vision免疫组化多聚二抗(山羊抗小鼠), 即用型(货号KB3903), 室温孵育20分钟.
IHC检测GSK3 beta蛋白(货号 K238505).
样品: 小鼠睾丸, 4%多聚甲醛 (货号KSG1101) 固定12-24小时.
抗原修复: Tris-EDTA抗原修复液(pH 9.0) (KSG1203), 98℃, 20分钟.
—抗: 1: 800稀释, 4℃ 孵育过夜.
二抗: S-vision免疫组化多聚二抗(山羊抗小鼠), 即用型(货号KB3903), 室温孵育20分钟.
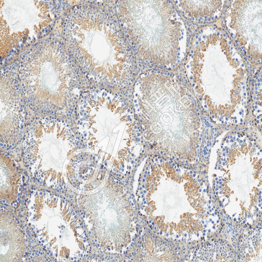
IHC检测GSK3 beta蛋白(货号 K238505).
样品: 大鼠睾丸, 4%多聚甲醛 (货号KSG1101) 固定12-24小时.
抗原修复: Tris-EDTA抗原修复液(pH 9.0) (KSG1203), 98℃, 20分钟.
—抗: 1: 800稀释, 4℃ 孵育过夜.
二抗: S-vision免疫组化多聚二抗(山羊抗小鼠), 即用型(货号KB3903), 室温孵育20分钟.

需要技术支持?

如果您有任何问题或如果您在实验过程中遇到问题,或需要更详细的技术指导,请联系我们的技术支持团队
电话 400-6027-270

联系我们

如果您对我们的公司或产品有任何疑问,欢迎随时联系我们