tel 400-6027-270
Main Image
Anti-Aggrecan 兔多克隆抗体
¥1900
加入对比
货号: K1347061-100
亚细胞定位: 分泌型, 胞外空间, 胞外基质
别名: ACAN,AGC1,AGCAN,CSPG1,CSPGCP,MSK16,SEDK,Aggrecan
应用 | 种属
IHC/IF H,M,R
规格:
产品信息
蛋白质全称 聚集蛋白聚糖核心蛋白
别名 ACAN,AGC1,AGCAN,CSPG1,CSPGCP,MSK16,SEDK,Aggrecan
Uniprot ID Q61282
免疫原 小鼠Aggrecan重组蛋白
抗体亚型 IgG
纯化方式 亲和纯化
亚细胞定位 分泌型, 胞外空间, 胞外基质
应用
IHC/IF 免疫组织化学/免疫荧光
物种:人,小鼠,大鼠
稀释比:1:500-1:1000
阳性样品:软骨
背景
Aggrecan (ACAN), also known as cartilage-specific proteoglycan core protein (CSPCP) or chondroitin sulfate proteoglycan 1, is a protein that in humans is encoded by the ACAN gene. This gene is a member of the lectican (chondroitin sulfate proteoglycan) family. This proteoglycan is a major component of extracellular matrix of cartilagenous tissues. A major function of this protein is to resist compression in cartilage. It binds avidly to hyaluronic acid via an N-terminal globular region. May play a regulatory role in the matrix assembly of the cartilage.
储存条件
储存条件:储存条件在:-20℃下储存一年, 避免反复冻融.
储存缓冲液:含0.15% ProClin300防腐剂, 100 μg/mL牛血清白蛋白和50%甘油的磷酸盐缓冲液.
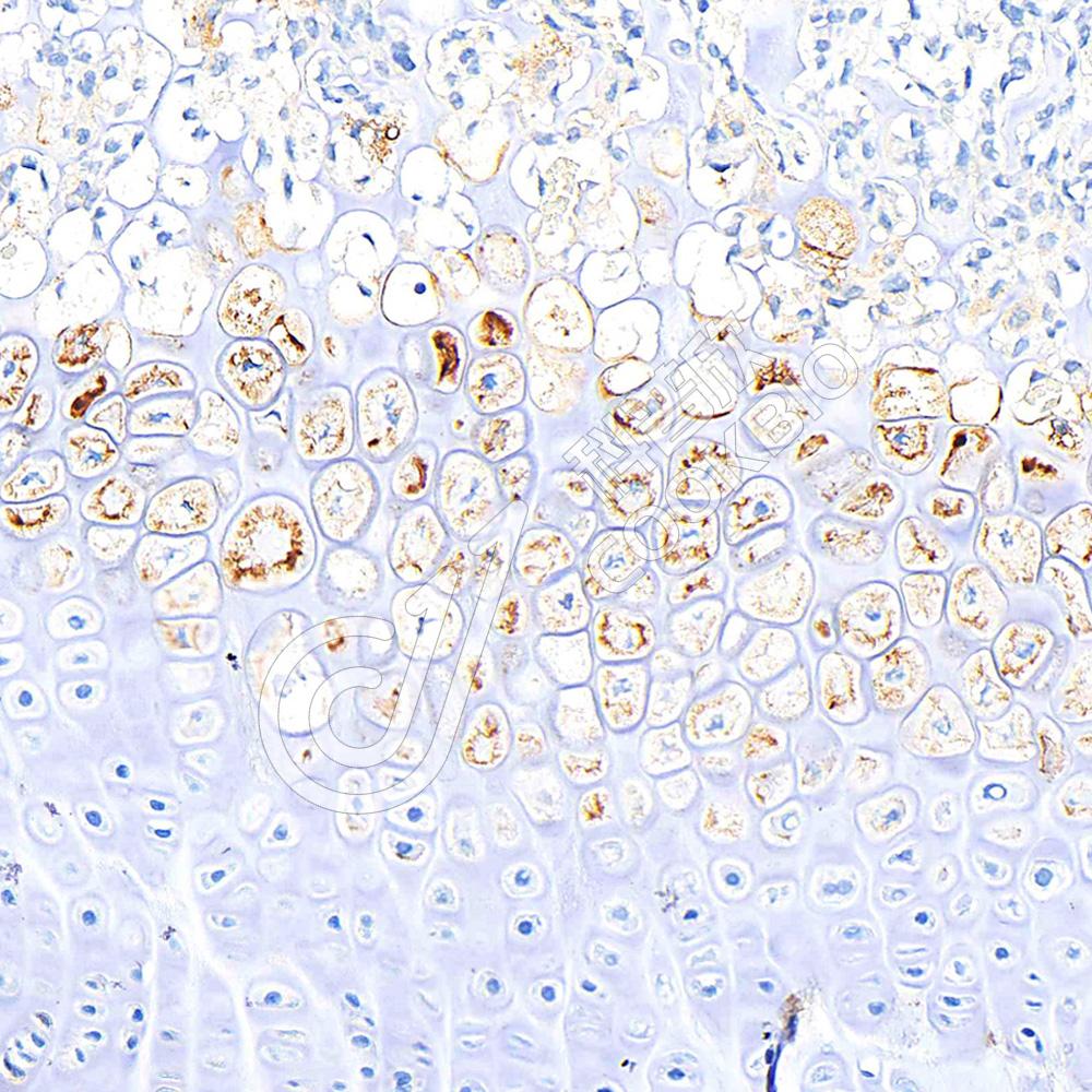
图像
IHC检测Aggrecan蛋白(货号 K1347061).
样品: 小鼠软骨, 4%多聚甲醛 (货号KSG1101) 固定12-24小时.
抗原修复: 柠檬酸抗原修复液(干粉, pH 6.0) (KSG1201), 98℃, 20分钟.
—抗: 1: 800稀释, 4℃ 孵育过夜.
二抗: S-vision免疫组化多聚二抗(山羊抗兔),即用型 (货号KB3906), 室温孵育20分钟.
IHC检测Aggrecan蛋白(货号 K1347061).
样品: 大鼠软骨, 4%多聚甲醛 (货号KSG1101) 固定12-24小时.
抗原修复: 柠檬酸抗原修复液(干粉, pH 6.0) (KSG1201), 98℃, 20分钟.
—抗: 1: 800稀释, 4℃ 孵育过夜.
二抗: S-vision免疫组化多聚二抗(山羊抗兔),即用型 (货号KB3906), 室温孵育20分钟.

需要技术支持?

如果您有任何问题或如果您在实验过程中遇到问题,或需要更详细的技术指导,请联系我们的技术支持团队
电话 400-6027-270

联系我们

如果您对我们的公司或产品有任何疑问,欢迎随时联系我们