tel 400-6027-270
Main Image
Anti-CDKN2A/p14ARF 兔多克隆抗体
¥1900
加入对比
货号: K1346767-100
亚细胞定位: 细胞核, 线粒体
别名: ARF,ARF,CDKN2A,CDK4 inhibitor p16 INK4,CDK4 inhibitor p16INK4,CDK4I,CDKN2
应用 | 种属
IHC/IF H
规格:
产品信息
蛋白质全称 肿瘤抑制蛋白ARF
别名 ARF,ARF,CDKN2A,CDK4 inhibitor p16 INK4,CDK4 inhibitor p16INK4,CDK4I,CDKN2
Uniprot ID Q64364
免疫原 KLH偶联的小鼠p14ARF合成肽
抗体亚型 IgG
纯化方式 亲和纯化
亚细胞定位 细胞核, 线粒体
应用
IHC/IF 免疫组织化学/免疫荧光
物种:人
稀释比:1:150-1:600
阳性样品:宫颈癌, 肺癌
背景
Capable of inducing cell cycle arrest in G1 and G2 phases. Acts as a tumor suppressor. Binds to MDM2 and blocks its nucleocytoplasmic shuttling by sequestering it in the nucleolus. This inhibits the oncogenic action of MDM2 by blocking MDM2-induced degradation of p53 and enhancing p53-dependent transactivation and apoptosis. Also induces G2 arrest and apoptosis in a p53-independent manner by preventing the activation of cyclin B1/CDC2 complexes. Binds to BCL6 and down-regulates BCL6-induced transcriptional repression. Binds to E2F1 and MYC and blocks their transcriptional activator activity but has no effect on MYC transcriptional repression. Binds to TOP1/TOPOI and stimulates its activity.
储存条件
储存条件:储存条件在:-20℃下储存一年, 避免反复冻融.
储存缓冲液:含0.15% ProClin300防腐剂, 100 μg/mL牛血清白蛋白和50%甘油的磷酸盐缓冲液.
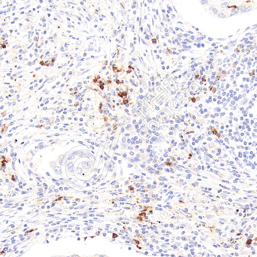
图像
IHC检测CDKN2A/p14ARF蛋白(货号 K1346767).
样品: 人宫颈癌, 4%多聚甲醛 (货号KSG1101) 固定12-24小时.
抗原修复: Tris-EDTA抗原修复液(pH 9.0) (KSG1203), 98℃, 20分钟.
—抗: 1: 400稀释, 4℃ 孵育过夜.
二抗: S-vision免疫组化多聚二抗(山羊抗兔),即用型 (货号KB3906), 室温孵育20分钟.
IHC检测CDKN2A/p14ARF蛋白(货号 K1346767).
样品: 人肺癌, 4%多聚甲醛 (货号KSG1101) 固定12-24小时.
抗原修复: Tris-EDTA抗原修复液(pH 9.0) (KSG1203), 98℃, 20分钟.
—抗: 1: 400稀释, 4℃ 孵育过夜.
二抗: S-vision免疫组化多聚二抗(山羊抗兔),即用型 (货号KB3906), 室温孵育20分钟.

需要技术支持?

如果您有任何问题或如果您在实验过程中遇到问题,或需要更详细的技术指导,请联系我们的技术支持团队
电话 400-6027-270

联系我们

如果您对我们的公司或产品有任何疑问,欢迎随时联系我们