tel 400-6027-270
Main Image
Anti-CDR2 兔多克隆抗体
¥1900
加入对比
货号: K1343137-100
预测分子量: 52 kDa
观测分子量: 62 kDa
亚细胞定位: 细胞核
别名: CDR2,CDR62,PCD17,Yo
应用 | 种属
WB H,M,R
IHC/IF M
规格:
产品信息
蛋白质全称 小脑变性相关蛋白2
别名 CDR2,CDR62,PCD17,Yo
Uniprot ID P97817
免疫原 小鼠CDR2重组蛋白
抗体亚型 IgG
纯化方式 亲和纯化
亚细胞定位 细胞核
预测分子量./观测分子量. 52 kDa / 62 kDa
应用
WB 免疫印迹
物种:人,小鼠,大鼠
稀释比:1:300-1:500
阳性样品:—
IHC/IF 免疫组织化学/免疫荧光
物种:小鼠
稀释比:1:2600-1:5200
阳性样品:睾丸
背景
CDR2 (cerebellar degeneration-related protein 2), also referred to as Yo or CDR62, is a 545 amino acid protein that is associated with the development of paraneoplastic cerebellar degeneration (PCD). PCD, an immune-mediated syndrome, belongs to a heterogeneous group of rare paraneoplastic neurologic disorders affecting the neurological system. PCD is characterized by subacute cerebellar ataxia and occurs mainly in patients with ovarian, uterine, fallopian tube or breast cancer.
储存条件
储存条件:储存条件在:-20℃下储存一年, 避免反复冻融.
储存缓冲液:含0.15% ProClin300防腐剂, 100 μg/mL牛血清白蛋白和50%甘油的磷酸盐缓冲液.
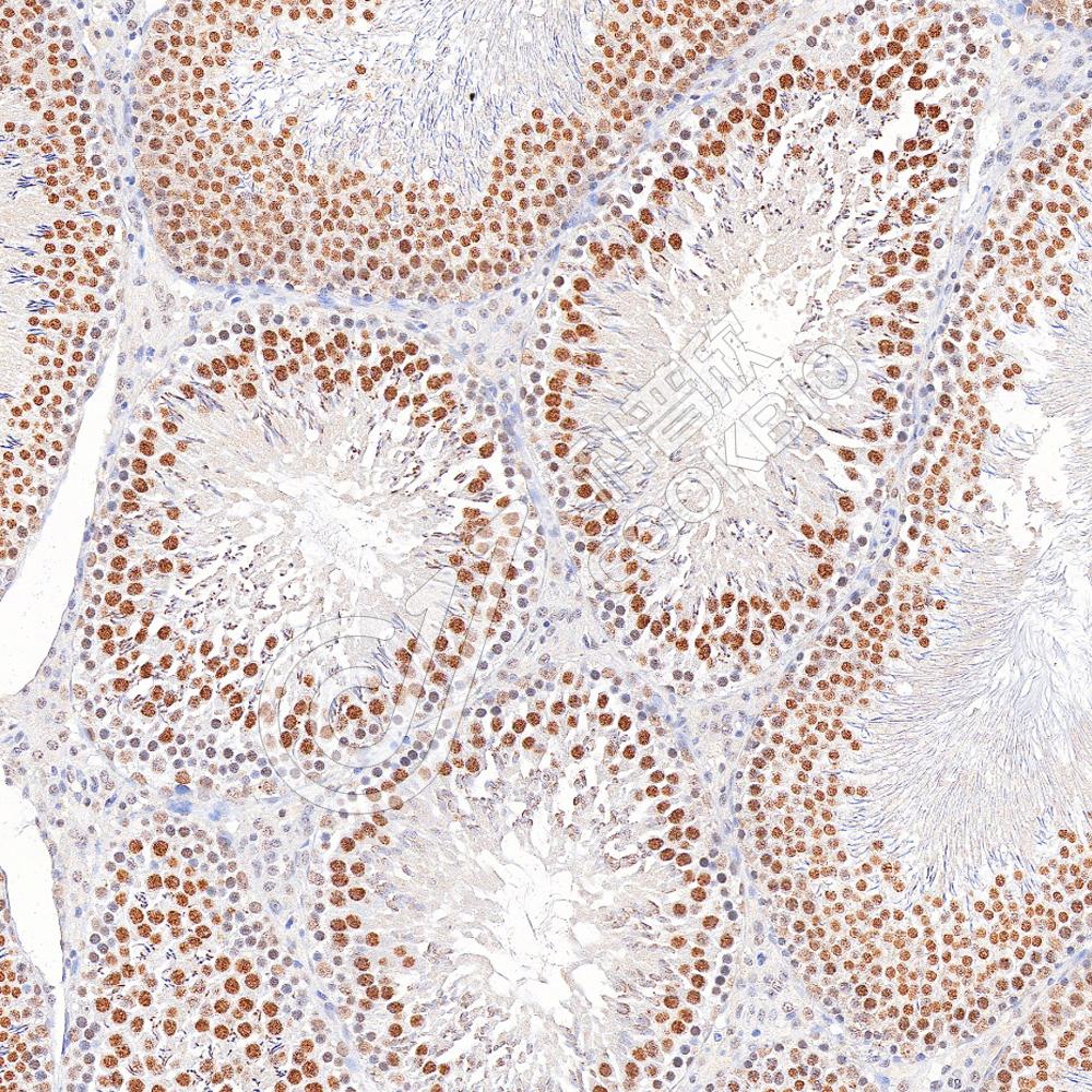
图像
IHC检测CDR2蛋白(货号 K1343137).
样品: 小鼠睾丸, 4%多聚甲醛 (货号KSG1101) 固定12-24小时.
抗原修复: Tris-EDTA抗原修复液(pH 9.0) (KSG1203), 98℃, 20分钟.
—抗: 1: 3900稀释, 4℃ 孵育过夜.
二抗: S-vision免疫组化多聚二抗(山羊抗兔),即用型 (货号KB3906), 室温孵育20分钟.
IHC检测CDR2蛋白(货号 K1343137).
样品: 大鼠睾丸, 4%多聚甲醛 (货号KSG1101) 固定12-24小时.
抗原修复: Tris-EDTA抗原修复液(pH 9.0) (KSG1203), 98℃, 20分钟.
—抗: 1: 3900稀释, 4℃ 孵育过夜.
二抗: S-vision免疫组化多聚二抗(山羊抗兔),即用型 (货号KB3906), 室温孵育20分钟.

需要技术支持?

如果您有任何问题或如果您在实验过程中遇到问题,或需要更详细的技术指导,请联系我们的技术支持团队
电话 400-6027-270

联系我们

如果您对我们的公司或产品有任何疑问,欢迎随时联系我们