tel 400-6027-270
Main Image
Anti-Prosurfactant Protein C 兔多克隆抗体
¥1900
加入对比
货号: K1342177-100
亚细胞定位: 分泌型
别名: PSP C,SFTP2,SFTPC,SMDP2,SPC,SP5,surfactant protein C,Pulmonary surfactant-associated proteolipid SPL(Val),BRICD6,BRICHOS domain containing 6
应用 | 种属
IHC/IF H,M,R
规格:
产品信息
蛋白质全称 肺表面活性物质相关蛋白C
别名 PSP C,SFTP2,SFTPC,SMDP2,SPC,SP5,surfactant protein C,Pulmonary surfactant-associated proteolipid SPL(Val),BRICD6,BRICHOS domain containing 6
Uniprot ID P11686
免疫原 KLH偶联的人Prosurfactant Protein C合成肽
抗体亚型 IgG
纯化方式 亲和纯化
亚细胞定位 分泌型
应用
IHC/IF 免疫组织化学/免疫荧光
物种:人,小鼠,大鼠
稀释比:1:500-1:1000
阳性样品:肺
背景
SFTPC (surfactant protein C), also named as SFTP2, SP5 and SP-C, is a pulmonary surfactant associated proteins promote alveolar stability by lowering the surface tension at the air-liquid interface in the peripheral air spaces. Defects in SFTPC are the cause of pulmonary surfactant metabolism dysfunction type 2 (SMDP2). Genetic variations in SFTPC are associated with respiratory distress syndrome in premature infants (RDS).
储存条件
储存条件:储存条件在:-20℃下储存一年, 避免反复冻融.
储存缓冲液:含0.15% ProClin300防腐剂, 100 μg/mL牛血清白蛋白和50%甘油的磷酸盐缓冲液.
图像
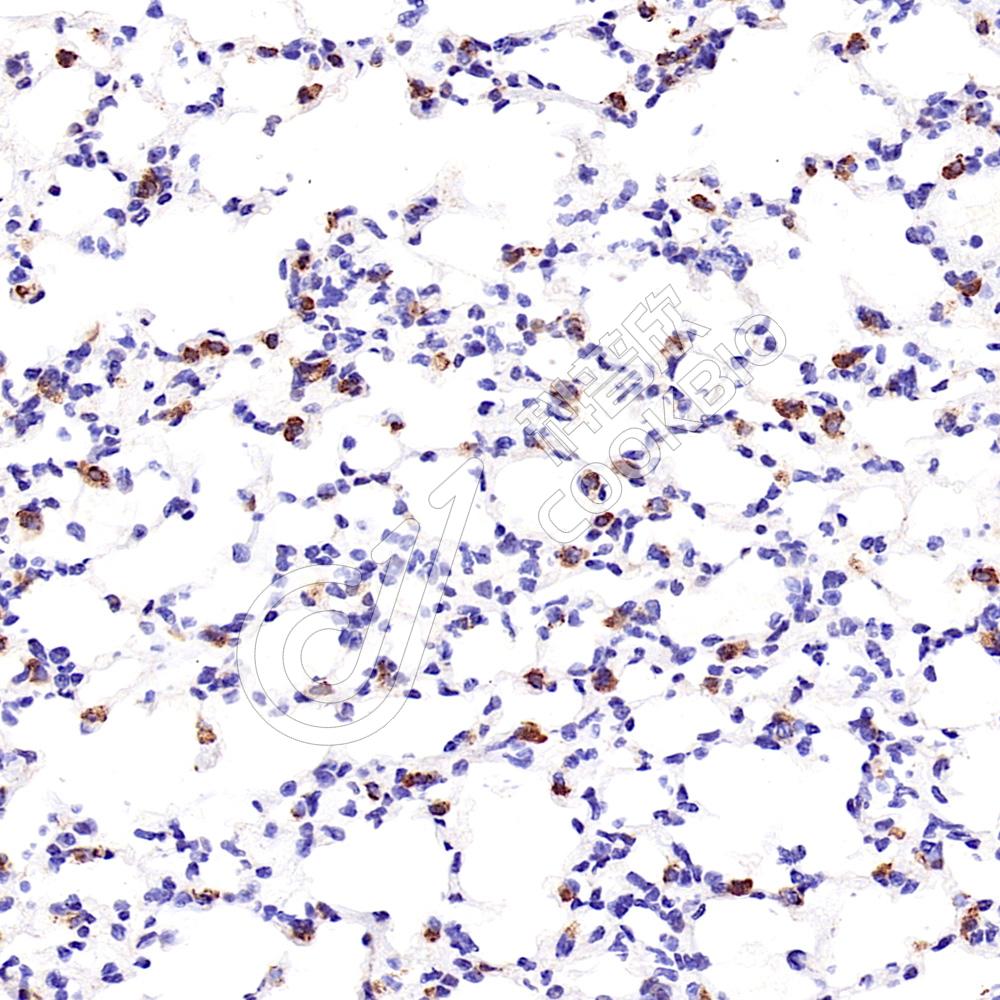
IHC检测Prosurfactant Protein C蛋白(货号 K1342177).
样品: 人肺, 4%多聚甲醛 (货号KSG1101) 固定12-24小时.
抗原修复: 柠檬酸抗原修复液(干粉, pH 6.0) (KSG1201), 98℃, 20分钟.
—抗: 1: 800稀释, 4℃ 孵育过夜.
二抗: S-vision免疫组化多聚二抗(山羊抗兔),即用型 (货号KB3906), 室温孵育20分钟.
IHC检测Prosurfactant Protein C蛋白(货号 K1342177).
样品: 小鼠肺, 4%多聚甲醛 (货号KSG1101) 固定12-24小时.
抗原修复: 柠檬酸抗原修复液(干粉, pH 6.0) (KSG1201), 98℃, 20分钟.
—抗: 1: 800稀释, 4℃ 孵育过夜.
二抗: S-vision免疫组化多聚二抗(山羊抗兔),即用型 (货号KB3906), 室温孵育20分钟.
IHC检测Prosurfactant Protein C蛋白(货号 K1342177).
样品: 大鼠肺, 4%多聚甲醛 (货号KSG1101) 固定12-24小时.
抗原修复: 柠檬酸抗原修复液(干粉, pH 6.0) (KSG1201), 98℃, 20分钟.
—抗: 1: 800稀释, 4℃ 孵育过夜.
二抗: S-vision免疫组化多聚二抗(山羊抗兔),即用型 (货号KB3906), 室温孵育20分钟.

需要技术支持?

如果您有任何问题或如果您在实验过程中遇到问题,或需要更详细的技术指导,请联系我们的技术支持团队
电话 400-6027-270

联系我们

如果您对我们的公司或产品有任何疑问,欢迎随时联系我们