tel 400-6027-270
Main Image
Anti-GLP-1R 兔多克隆抗体
¥1900
加入对比
货号: K1341643-100
预测分子量: 53 kDa
观测分子量: 53 kDa
亚细胞定位: 细胞膜
别名: GLP-1-R,GLP 1 receptor,GLP-1R,GLP1R
应用 | 种属
WB M,R
IHC/IF H,M,R
规格:
产品信息
蛋白质全称 胰高血糖素样肽1受体
别名 GLP-1-R,GLP 1 receptor,GLP-1R,GLP1R
Uniprot ID O35659
免疫原 KLH偶联的小鼠GLP-1R合成肽
抗体亚型 IgG
纯化方式 亲和纯化
亚细胞定位 细胞膜
预测分子量./观测分子量. 53 kDa / 53 kDa
应用
WB 免疫印迹
物种:小鼠,大鼠
稀释比:1:500-1:1000
阳性样品:—
IHC/IF 免疫组织化学/免疫荧光
物种:人,小鼠,大鼠
稀释比:1:800-1:1600
阳性样品:胰腺
背景
G-protein coupled receptor for glucagon-like peptide 1 (GLP-1) Ligand binding triggers activation of a signaling cascade that leads to the activation of adenylyl cyclase and increased intracellular cAMP levels (By similarity). Plays a role in regulating insulin secretion in response to GLP-1.By Similarity
储存条件
储存条件:储存条件在:-20℃下储存一年, 避免反复冻融.
储存缓冲液:含0.15% ProClin300防腐剂, 100 μg/mL牛血清白蛋白和50%甘油的磷酸盐缓冲液.
图像
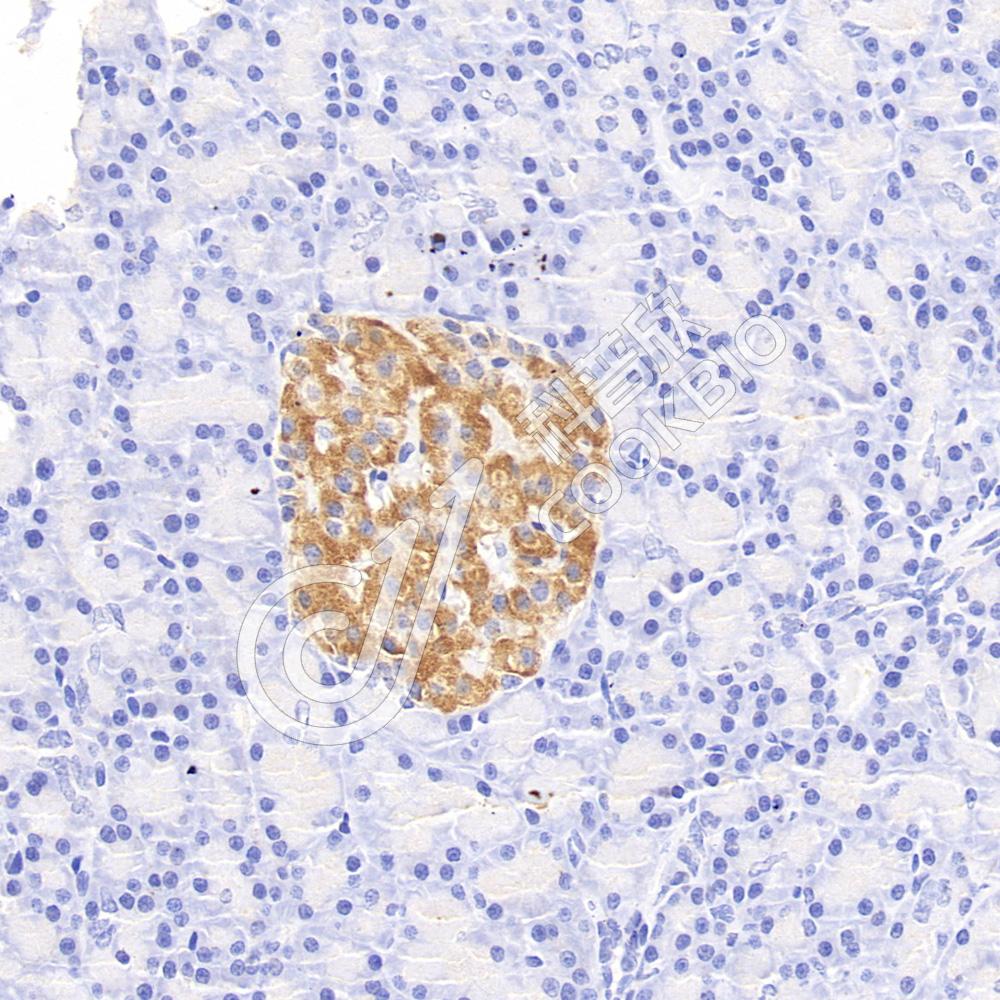
IHC检测GLP-1R蛋白(货号 K1341643).
样品: 人胰腺, 4%多聚甲醛 (货号KSG1101) 固定12-24小时.
抗原修复: 柠檬酸抗原修复液(干粉, pH 6.0) (KSG1201), 98℃, 20分钟.
—抗: 1: 1200稀释, 4℃ 孵育过夜.
二抗: S-vision免疫组化多聚二抗(山羊抗兔),即用型 (货号KB3906), 室温孵育20分钟.
GLP-1R_d1000_WB
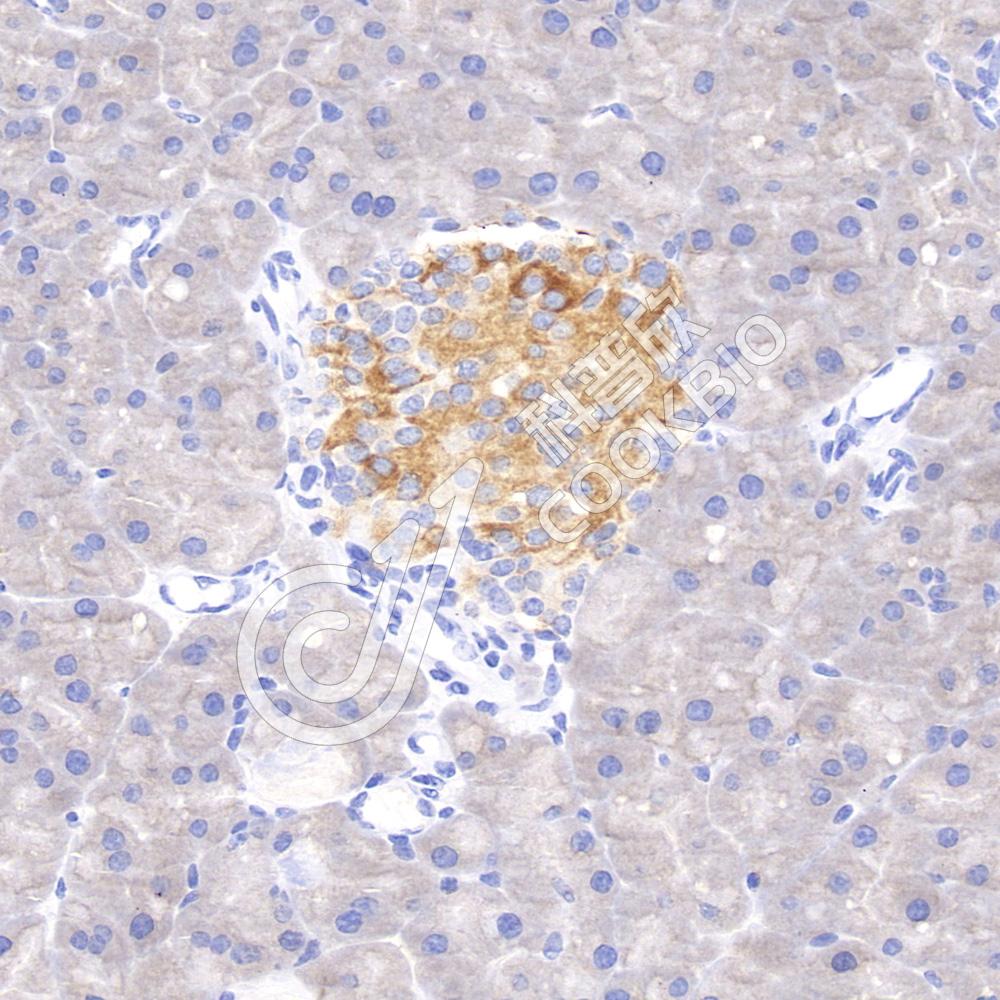
IHC检测GLP-1R蛋白(货号 K1341643).
样品: 小鼠胰腺, 4%多聚甲醛 (货号KSG1101) 固定12-24小时.
抗原修复: 柠檬酸抗原修复液(干粉, pH 6.0) (KSG1201), 98℃, 20分钟.
—抗: 1: 1200稀释, 4℃ 孵育过夜.
二抗: S-vision免疫组化多聚二抗(山羊抗兔),即用型 (货号KB3906), 室温孵育20分钟.
IHC检测GLP-1R蛋白(货号 K1341643).
样品: 大鼠胰腺, 4%多聚甲醛 (货号KSG1101) 固定12-24小时.
抗原修复: 柠檬酸抗原修复液(干粉, pH 6.0) (KSG1201), 98℃, 20分钟.
—抗: 1: 1200稀释, 4℃ 孵育过夜.
二抗: S-vision免疫组化多聚二抗(山羊抗兔),即用型 (货号KB3906), 室温孵育20分钟.

需要技术支持?

如果您有任何问题或如果您在实验过程中遇到问题,或需要更详细的技术指导,请联系我们的技术支持团队
电话 400-6027-270

联系我们

如果您对我们的公司或产品有任何疑问,欢迎随时联系我们