tel 400-6027-270
Main Image
Anti-Inhibin alpha 兔多克隆抗体
¥1900
加入对比
货号: K1333663-100
亚细胞定位: 分泌型
别名: INHA,Inhibin alpha subunit,inhibin subunit alpha,A inhibin subunit precursor,IHA,Inhibin alpha chain,Inhibin alpha chain precursor,Inha
应用 | 种属
IHC/IF R
规格:
产品信息
蛋白质全称 抑制素α链
别名 INHA,Inhibin alpha subunit,inhibin subunit alpha,A inhibin subunit precursor,IHA,Inhibin alpha chain,Inhibin alpha chain precursor,Inha
Uniprot ID P17490
免疫原 人Inhibin alpha重组蛋白
抗体亚型 IgG
纯化方式 亲和纯化
亚细胞定位 分泌型
应用
IHC/IF 免疫组织化学/免疫荧光
物种:大鼠
稀释比:1:900-1:1800
阳性样品:脑, 肺
背景
The inhibin alpha subunit joins either the beta A or beta B subunit to form a pituitary FSH secretion inhibitor. Inhibin has been shown to regulate gonadal stromal cell proliferation negatively and to have tumour suppressor activity. In addition, serum levels of inhibin have been shown to reflect the size of granulosa-cell tumors and can therefore be used as a marker for primary as well as recurrent disease. However, in prostate cancer, expression of the inhibin alpha-subunit gene was suppressed and was not detectable in poorly differentiated tumor cells.
储存条件
储存条件:储存条件在:-20℃下储存一年, 避免反复冻融.
储存缓冲液:含0.15% ProClin300防腐剂, 100 μg/mL牛血清白蛋白和50%甘油的磷酸盐缓冲液.
图像
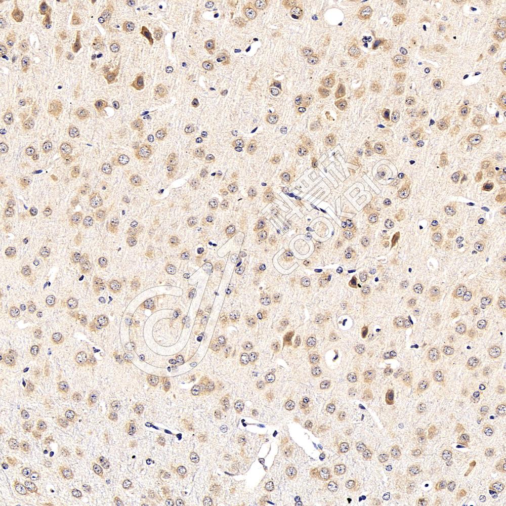
IHC检测Inhibin alpha蛋白(货号 K1333663).
样品: 大鼠脑, 4%多聚甲醛 (货号KSG1101) 固定12-24小时.
抗原修复: 柠檬酸抗原修复液(干粉, pH 6.0) (KSG1201), 98℃, 20分钟.
—抗: 1: 1400稀释, 4℃ 孵育过夜.
二抗: S-vision免疫组化多聚二抗(山羊抗兔),即用型 (货号KB3906), 室温孵育20分钟.
IHC检测Inhibin alpha蛋白(货号 K1333663).
样品: 大鼠肺, 4%多聚甲醛 (货号KSG1101) 固定12-24小时.
抗原修复: 柠檬酸抗原修复液(干粉, pH 6.0) (KSG1201), 98℃, 20分钟.
—抗: 1: 1400稀释, 4℃ 孵育过夜.
二抗: S-vision免疫组化多聚二抗(山羊抗兔),即用型 (货号KB3906), 室温孵育20分钟.

需要技术支持?

如果您有任何问题或如果您在实验过程中遇到问题,或需要更详细的技术指导,请联系我们的技术支持团队
电话 400-6027-270

联系我们

如果您对我们的公司或产品有任何疑问,欢迎随时联系我们