tel 400-6027-270
Main Image
Anti-ASAH2 兔多克隆抗体
¥1900
加入对比
货号: K1340428-100
亚细胞定位: 细胞膜, 高尔基体, 线粒体, 分泌型
别名: Acylsphingosine deacylase 2,ASAH2,hCD,HNAC1,LCDase,N CDase,NCDase,Non lysosomal ceramidase
应用 | 种属
IHC/IF M
规格:
产品信息
蛋白质全称 中性神经酰胺酶
别名 Acylsphingosine deacylase 2,ASAH2,hCD,HNAC1,LCDase,N CDase,NCDase,Non lysosomal ceramidase
Uniprot ID Q9JHE3
免疫原 小鼠ASAH2重组蛋白
抗体亚型 IgG
纯化方式 亲和纯化
亚细胞定位 细胞膜, 高尔基体, 线粒体, 分泌型
应用
IHC/IF 免疫组织化学/免疫荧光
物种:小鼠
稀释比:1:2100-1:4200
阳性样品:小肠
背景
Hydrolyzes the sphingolipid ceramide into sphingosine and free fatty acid at an optimal pH of 6.5-8.5. Acts as a key regulator of sphingolipid signaling metabolites by generating sphingosine at the cell surface. Acts as a repressor of apoptosis both by reducing C16-ceramide, thereby preventing ceramide-induced apoptosis, and generating sphingosine, a precursor of the antiapoptotic factor sphingosine 1-phosphate. Probably involved in the digestion of dietary sphingolipids in intestine by acting as a key enzyme for the catabolism of dietary sphingolipids and regulating the levels of bioactive sphingolipid metabolites in the intestinal tract.
储存条件
储存条件:储存条件在:-20℃下储存一年, 避免反复冻融.
储存缓冲液:含0.15% ProClin300防腐剂, 100 μg/mL牛血清白蛋白和50%甘油的磷酸盐缓冲液.
图像
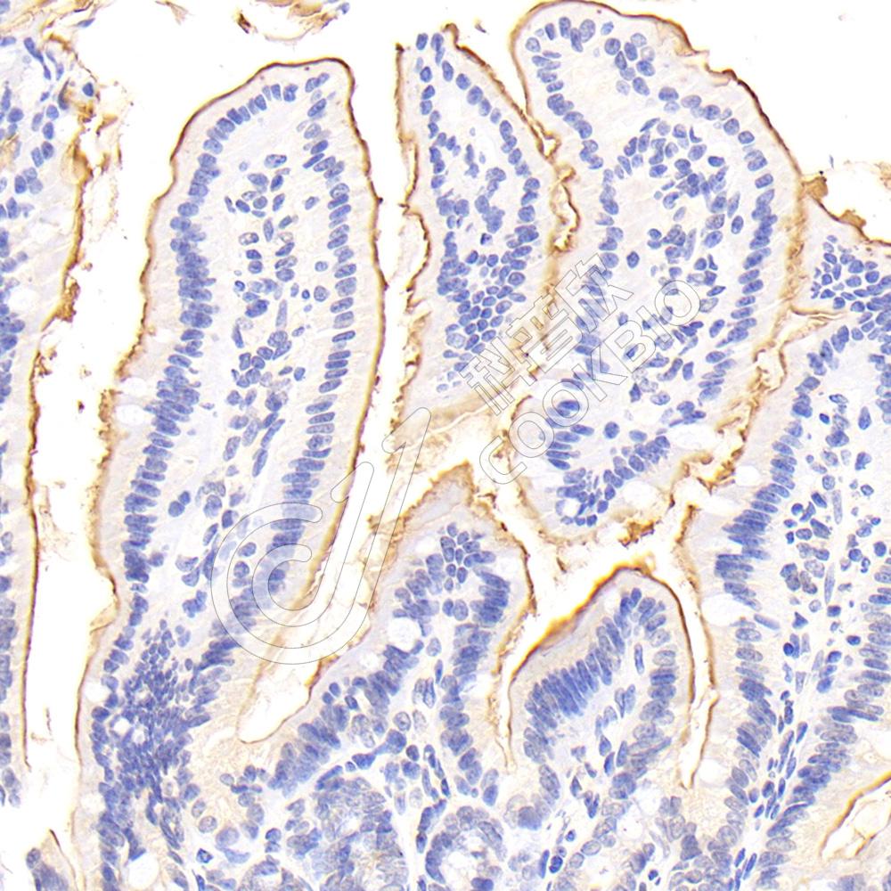
IHC检测ASAH2蛋白(货号 K1340428).
样品: 小鼠小肠, 4%多聚甲醛 (货号KSG1101) 固定12-24小时.
抗原修复: 柠檬酸抗原修复液(干粉, pH 6.0) (KSG1201), 98℃, 20分钟.
—抗: 1: 3200稀释, 4℃ 孵育过夜.
二抗: S-vision免疫组化多聚二抗(山羊抗兔),即用型 (货号KB3906), 室温孵育20分钟.
IHC检测ASAH2蛋白(货号 K1340428).
样品: 小鼠小肠, 4%多聚甲醛 (货号KSG1101) 固定12-24小时.
抗原修复: 柠檬酸抗原修复液(干粉, pH 6.0) (KSG1201), 98℃, 20分钟.
—抗: 1: 3200稀释, 4℃ 孵育过夜.
二抗: S-vision免疫组化多聚二抗(山羊抗兔),即用型 (货号KB3906), 室温孵育20分钟.

需要技术支持?

如果您有任何问题或如果您在实验过程中遇到问题,或需要更详细的技术指导,请联系我们的技术支持团队
电话 400-6027-270

联系我们

如果您对我们的公司或产品有任何疑问,欢迎随时联系我们