tel 400-6027-270
Main Image
Anti-AKAP13/p47 兔多克隆抗体
¥1900
加入对比
货号: K1339213-100
亚细胞定位: 细胞质, 细胞膜, 细胞核
别名: AKAP 13,AKAP Lbc,AKAP13,ARHGEF13,BRX,clbc,HA 3,Ht31,LBC,LBC oncogene,Lymphoid blast crisis oncogene,p47,PROTO LB,PROTO LBC
应用 | 种属
IHC/IF R
规格:
产品信息
蛋白质全称 A激酶锚定蛋白13
别名 AKAP 13,AKAP Lbc,AKAP13,ARHGEF13,BRX,clbc,HA 3,Ht31,LBC,LBC oncogene,Lymphoid blast crisis oncogene,p47,PROTO LB,PROTO LBC
Uniprot ID E9Q394
免疫原 KLH偶联的小鼠AKAP13/p47合成肽
抗体亚型 IgG
纯化方式 亲和纯化
亚细胞定位 细胞质, 细胞膜, 细胞核
应用
IHC/IF 免疫组织化学/免疫荧光
物种:大鼠
稀释比:1:4000-1:8000
阳性样品:心, 小肠
背景
Anchors cAMP-dependent protein kinase (PKA) and acts as an adapter protein to selectively couple G alpha-13 and Rho. Augments gene activation by the estrogen receptor in an element-specific and ligand-dependent manner. Activates estrogen receptor beta by a p38 MAPK-dependent pathway. Isoform 6 stimulates exchange activity on Rho proteins in vitro, but not on CDC42, Ras or Rac and may bind calcium ions.
储存条件
储存条件:储存条件在:-20℃下储存一年, 避免反复冻融.
储存缓冲液:含0.15% ProClin300防腐剂, 100 μg/mL牛血清白蛋白和50%甘油的磷酸盐缓冲液.
图像
IHC检测AKAP13/p47蛋白(货号 K1339213).
样品: 大鼠心, 4%多聚甲醛 (货号KSG1101) 固定12-24小时.
抗原修复: 柠檬酸抗原修复液(干粉, pH 6.0) (KSG1201), 98℃, 20分钟.
—抗: 1: 6000稀释, 4℃ 孵育过夜.
二抗: S-vision免疫组化多聚二抗(山羊抗兔),即用型 (货号KB3906), 室温孵育20分钟.
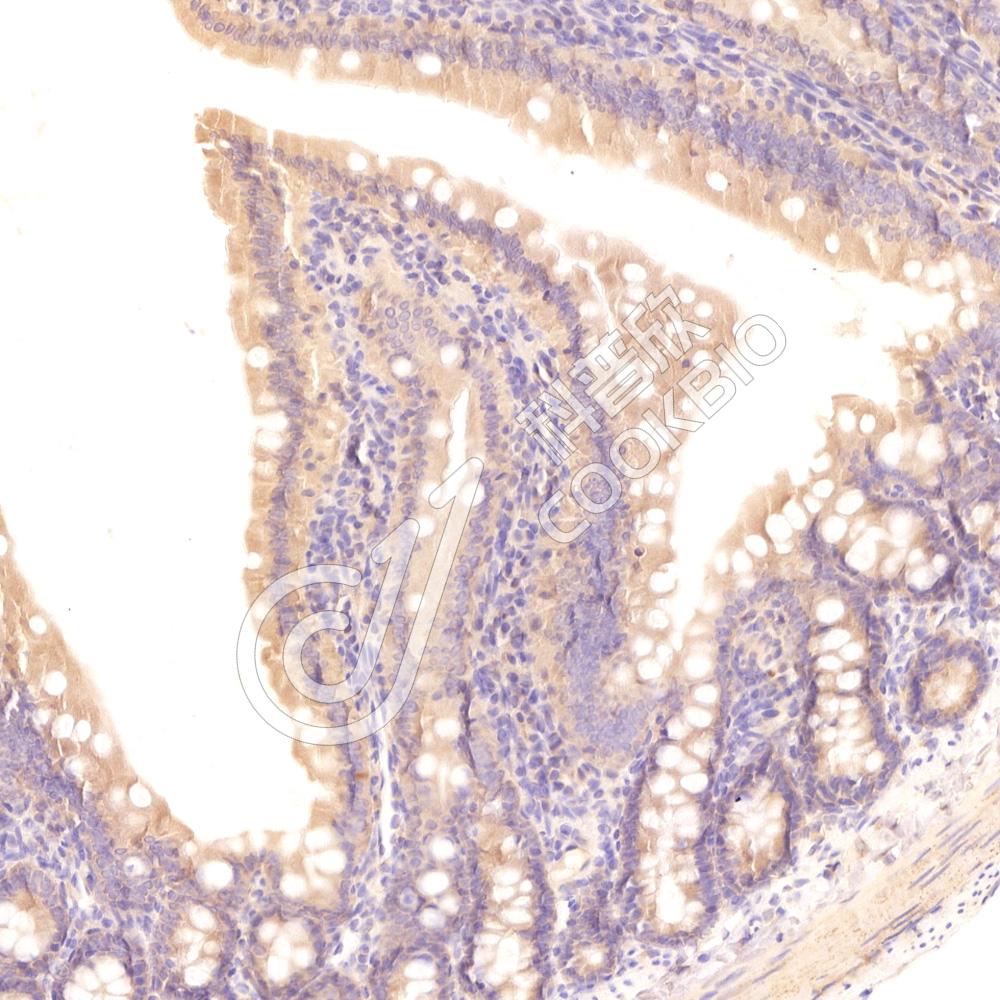
IHC检测AKAP13/p47蛋白(货号 K1339213).
样品: 大鼠小肠, 4%多聚甲醛 (货号KSG1101) 固定12-24小时.
抗原修复: 柠檬酸抗原修复液(干粉, pH 6.0) (KSG1201), 98℃, 20分钟.
—抗: 1: 6000稀释, 4℃ 孵育过夜.
二抗: S-vision免疫组化多聚二抗(山羊抗兔),即用型 (货号KB3906), 室温孵育20分钟.

需要技术支持?

如果您有任何问题或如果您在实验过程中遇到问题,或需要更详细的技术指导,请联系我们的技术支持团队
电话 400-6027-270

联系我们

如果您对我们的公司或产品有任何疑问,欢迎随时联系我们