tel 400-6027-270
Main Image
Anti-SMP30 兔多克隆抗体
¥1900
加入对比
货号: K1335274-100
亚细胞定位: 细胞质
别名: RC,Gluconolactonase,GNL,Senescence marker protein 30,SMP-30,Rgn,Smp30
应用 | 种属
IHC/IF M
规格:
产品信息
蛋白质全称 钙调素结合蛋白
别名 RC,Gluconolactonase,GNL,Senescence marker protein 30,SMP-30,Rgn,Smp30
Uniprot ID Q64374
免疫原 小鼠SMP30重组蛋白
抗体亚型 IgG
纯化方式 亲和纯化
亚细胞定位 细胞质
应用
IHC/IF 免疫组织化学/免疫荧光
物种:小鼠
稀释比:1:700-1:1400
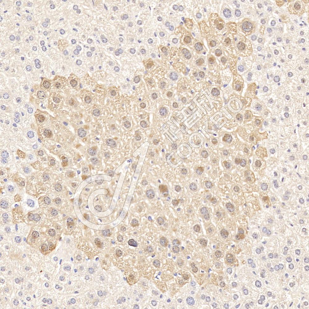
阳性样品:肝
背景
Regucalcin (RGN), also known as SMP30, is a highly conserved, calcium-binding protein, that is preferentially expressed in the liver and kidney. SMP30 is preferentially localized in hepatocytes and renal proximal tubular epithelial cells. It is known to be related to aging, hepatocyte proliferation and tumorigenesis. It may be useful for HCC serologic screening, especially for the patients with AFP Negative. RGN encodes two isoforms: 33 kDa and 25 kDa.
储存条件
储存条件:储存条件在:-20℃下储存一年, 避免反复冻融.
储存缓冲液:含0.15% ProClin300防腐剂, 100 μg/mL牛血清白蛋白和50%甘油的磷酸盐缓冲液.
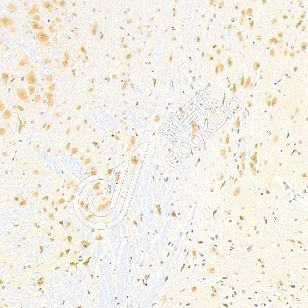
图像
IHC检测SMP30蛋白(货号 K1335274).
样品: 小鼠肝, 4%多聚甲醛 (货号KSG1101) 固定12-24小时.
抗原修复: 柠檬酸抗原修复液(干粉, pH 6.0) (KSG1201), 98℃, 20分钟.
—抗: 1: 1100稀释, 4℃ 孵育过夜.
二抗: S-vision免疫组化多聚二抗(山羊抗兔),即用型 (货号KB3906), 室温孵育20分钟.
IHC检测SMP30蛋白(货号 K1335274).
样品: 小鼠肝, 4%多聚甲醛 (货号KSG1101) 固定12-24小时.
抗原修复: 柠檬酸抗原修复液(干粉, pH 6.0) (KSG1201), 98℃, 20分钟.
—抗: 1: 1100稀释, 4℃ 孵育过夜.
二抗: S-vision免疫组化多聚二抗(山羊抗兔),即用型 (货号KB3906), 室温孵育20分钟.

需要技术支持?

如果您有任何问题或如果您在实验过程中遇到问题,或需要更详细的技术指导,请联系我们的技术支持团队
电话 400-6027-270

联系我们

如果您对我们的公司或产品有任何疑问,欢迎随时联系我们