tel 400-6027-270
Main Image
Anti-S100 alpha 6/PRA 兔多克隆抗体
¥1900
加入对比
货号: K1340086-100
预测分子量: 10 kDa
观测分子量: 10 kDa
亚细胞定位: 细胞膜, 细胞质, 细胞核
别名: 5B10,Calcyclin,Prolactin receptor-associated protein,S100 calcium-binding protein A6,S100a6,Cacy,2A9,CABP,MLN 4,PRA
应用 | 种属
WB H
IHC/IF H,M,R
规格:
产品信息
蛋白质全称 S100钙结合蛋白A6
别名 5B10,Calcyclin,Prolactin receptor-associated protein,S100 calcium-binding protein A6,S100a6,Cacy,2A9,CABP,MLN 4,PRA
Uniprot ID P14069
免疫原 KLH偶联的小鼠Protein S100-A6合成肽
抗体亚型 IgG
纯化方式 亲和纯化
亚细胞定位 细胞膜, 细胞质, 细胞核
预测分子量./观测分子量. 10 kDa / 10 kDa
应用
WB 免疫印迹
物种:人
稀释比:1:300-1:1500
阳性样品:U-251细胞
IHC/IF 免疫组织化学/免疫荧光
物种:人,小鼠,大鼠
稀释比:1:800-1:1600
阳性样品:肾, 肝, 淋巴结
背景
S100A6 is also named as calcyclin, prolactin receptor-associated protein (PRA), growth factor-inducible protein 2A9 ir MLN4. It belongs to S100 family of low molecular weight, acidic, calcium-binding proteins which contain two EF-hand calcium binding sites. S100A6 may function as a calcium sensor to activate several processes in the calcium signal transduction pathway of cell growth, proliferation, secretion and exocytosis. The antibody is specific for S100A6.
储存条件
储存条件:储存条件在:-20℃下储存一年, 避免反复冻融.
储存缓冲液:含0.15% ProClin300防腐剂, 100 μg/mL牛血清白蛋白和50%甘油的磷酸盐缓冲液.
图像
WB检测S100 alpha 6/PRA蛋白(货号 K1340086).
样品: 经RIPA裂解液(货号KSG2002)处理的蛋白质.
封闭: 3%脱脂牛奶(货号KSGC310001)溶于TBST溶液, 室温孵育1小时.
—抗: 1: 500稀释, 4℃ 孵育过夜.
二抗: HRP标记山羊抗兔IgG (H+L) (货号KB69909), 1: 5000稀释, 室温孵育1小时.
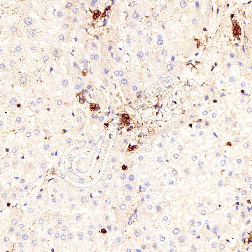
IHC检测S100 alpha 6/PRA蛋白(货号 K1340086).
样品: 人肝, 4%多聚甲醛 (货号KSG1101) 固定12-24小时.
抗原修复: 柠檬酸抗原修复液(干粉, pH 6.0) (KSG1201), 98℃, 20分钟.
—抗: 1: 1200稀释, 4℃ 孵育过夜.
二抗: S-vision免疫组化多聚二抗(山羊抗兔),即用型 (货号KB3906), 室温孵育20分钟.
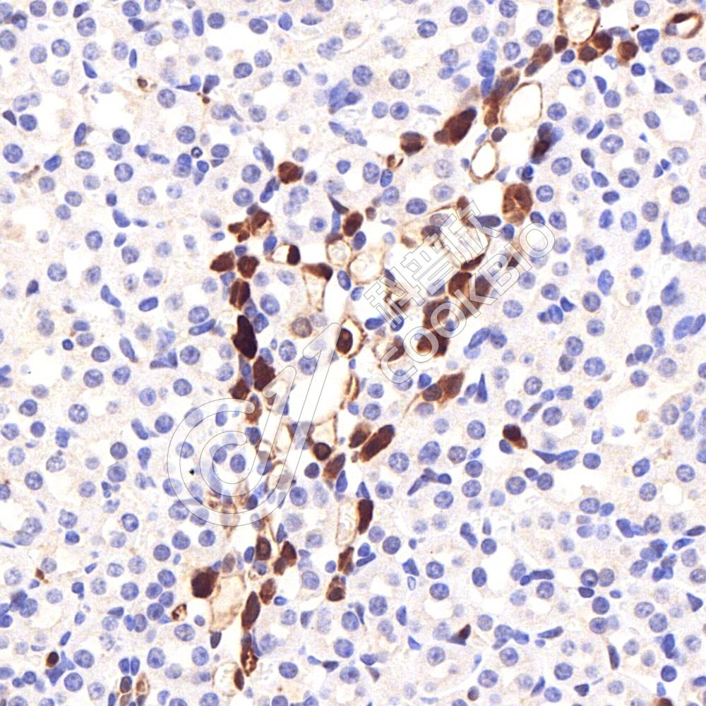
IHC检测S100 alpha 6/PRA蛋白(货号 K1340086).
样品: 小鼠肾, 4%多聚甲醛 (货号KSG1101) 固定12-24小时.
抗原修复: 柠檬酸抗原修复液(干粉, pH 6.0) (KSG1201), 98℃, 20分钟.
—抗: 1: 1200稀释, 4℃ 孵育过夜.
二抗: S-vision免疫组化多聚二抗(山羊抗兔),即用型 (货号KB3906), 室温孵育20分钟.
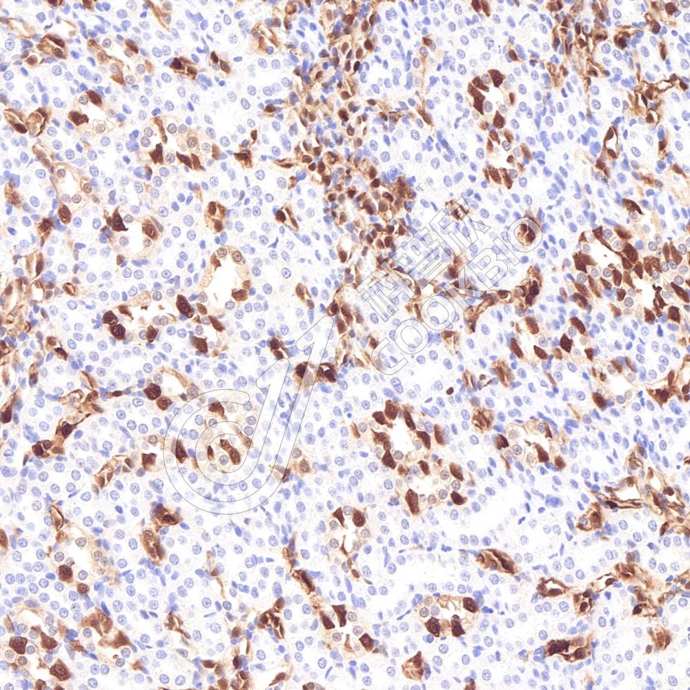
IHC检测S100 alpha 6/PRA蛋白(货号 K1340086).
样品: 大鼠肾, 4%多聚甲醛 (货号KSG1101) 固定12-24小时.
抗原修复: 柠檬酸抗原修复液(干粉, pH 6.0) (KSG1201), 98℃, 20分钟.
—抗: 1: 1200稀释, 4℃ 孵育过夜.
二抗: S-vision免疫组化多聚二抗(山羊抗兔),即用型 (货号KB3906), 室温孵育20分钟.
IHC检测S100 alpha 6/PRA蛋白(货号 K1340086).
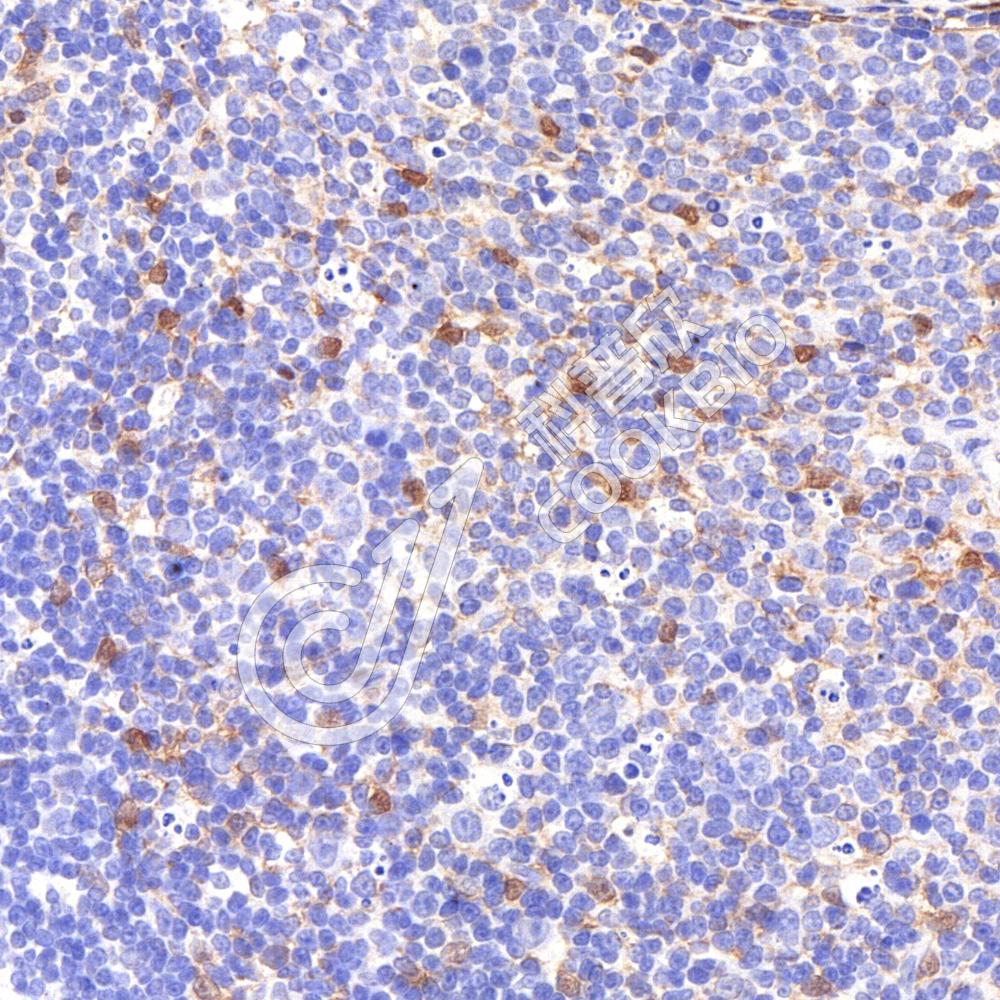
样品: 大鼠淋巴结, 4%多聚甲醛 (货号KSG1101) 固定12-24小时.
抗原修复: 柠檬酸抗原修复液(干粉, pH 6.0) (KSG1201), 98℃, 20分钟.
—抗: 1: 1200稀释, 4℃ 孵育过夜.
二抗: S-vision免疫组化多聚二抗(山羊抗兔),即用型 (货号KB3906), 室温孵育20分钟.

需要技术支持?

如果您有任何问题或如果您在实验过程中遇到问题,或需要更详细的技术指导,请联系我们的技术支持团队
电话 400-6027-270

联系我们

如果您对我们的公司或产品有任何疑问,欢迎随时联系我们