tel 400-6027-270
Main Image
Anti-MCM3 兔多克隆抗体
¥1900
加入对比
货号: K1338976-100
预测分子量: 92 kDa
观测分子量: 105 kDa
亚细胞定位: 细胞核
别名: DNA polymerase alpha holoenzyme-associated protein P1,P1-MCM3,Mcm3,Mcmd,Mcmd3,HCC5,P1.h,p102,RLF subunit beta,RLFB
应用 | 种属
WB H,M,R
IHC/IF M
规格:
产品信息
蛋白质全称 DNA复制许可因子MCM3
别名 DNA polymerase alpha holoenzyme-associated protein P1,P1-MCM3,Mcm3,Mcmd,Mcmd3,HCC5,P1.h,p102,RLF subunit beta,RLFB
Uniprot ID P25206
免疫原 KLH偶联的小鼠MCM3合成肽
抗体亚型 IgG
纯化方式 亲和纯化
亚细胞定位 细胞核
预测分子量./观测分子量. 92 kDa / 105 kDa
应用
WB 免疫印迹
物种:人,小鼠,大鼠
稀释比:1:800-1:1600
阳性样品:—
IHC/IF 免疫组织化学/免疫荧光
物种:小鼠
稀释比:1:1000-1:2000
阳性样品:睾丸
背景
The protein encoded by this gene is one of the highly conserved mini-chromosome maintenance proteins (MCM) that are involved in the initiation of eukaryotic genome replication. The hexameric protein complex formed by MCM proteins is a key component of the pre-replication complex (pre_RC) and may be involved in the formation of replication forks and in the recruitment of other DNA replication related proteins. This protein is a subunit of the protein complex that consists of MCM2-7.
储存条件
储存条件:储存条件在:-20℃下储存一年, 避免反复冻融.
储存缓冲液:含0.15% ProClin300防腐剂, 100 μg/mL牛血清白蛋白和50%甘油的磷酸盐缓冲液.
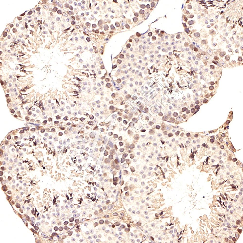
图像
IHC检测MCM3蛋白(货号 K1338976).
样品: 小鼠睾丸, 4%多聚甲醛 (货号KSG1101) 固定12-24小时.
抗原修复: Tris-EDTA抗原修复液(pH 9.0) (KSG1203), 98℃, 20分钟.
—抗: 1: 1500稀释, 4℃ 孵育过夜.
二抗: S-vision免疫组化多聚二抗(山羊抗兔),即用型 (货号KB3906), 室温孵育20分钟.
IHC检测MCM3蛋白(货号 K1338976).
样品: 小鼠睾丸, 4%多聚甲醛 (货号KSG1101) 固定12-24小时.
抗原修复: Tris-EDTA抗原修复液(pH 9.0) (KSG1203), 98℃, 20分钟.
—抗: 1: 1500稀释, 4℃ 孵育过夜.
二抗: S-vision免疫组化多聚二抗(山羊抗兔),即用型 (货号KB3906), 室温孵育20分钟.

需要技术支持?

如果您有任何问题或如果您在实验过程中遇到问题,或需要更详细的技术指导,请联系我们的技术支持团队
电话 400-6027-270

联系我们

如果您对我们的公司或产品有任何疑问,欢迎随时联系我们