tel 400-6027-270
Main Image
Anti-SYTL2/SLP2 兔多克隆抗体
¥1900
加入对比
货号: K1338301-100
亚细胞定位: 细胞膜
别名: Exophilin-4,Sytl2,Slp2,EXO4,CHR11SYT,SLP2A
应用 | 种属
IHC/IF H,M,R
规格:
产品信息
蛋白质全称 突触结合蛋白样2
别名 Exophilin-4,Sytl2,Slp2,EXO4,CHR11SYT,SLP2A
Uniprot ID Q99N50
免疫原 小鼠SYTL2/SLP2重组蛋白
抗体亚型 IgG
纯化方式 亲和纯化
亚细胞定位 细胞膜
应用
IHC/IF 免疫组织化学/免疫荧光
物种:人,小鼠,大鼠
稀释比:1:600-1:1600
阳性样品:直肠, 胃
背景
Isoform 1 acts as a RAB27A effector protein and plays a role in cytotoxic granule exocytosis in lymphocytes. It is required for cytotoxic granule docking at the immunologic synapse. Isoform 4 binds phosphatidylserine (PS) and phosphatidylinositol-4,5-bisphosphate (PIP2) and promotes the recruitment of glucagon-containing granules to the cell membrane in pancreatic alpha cells. Binding to PS is inhibited by Ca(2+) while binding to PIP2 is Ca(2+) insensitive.
储存条件
储存条件:储存条件在:-20℃下储存一年, 避免反复冻融.
储存缓冲液:含0.15% ProClin300防腐剂, 100 μg/mL牛血清白蛋白和50%甘油的磷酸盐缓冲液.
图像
IHC检测SYTL2/SLP2蛋白(货号 K1338301).
样品: 人胃, 4%多聚甲醛 (货号KSG1101) 固定12-24小时.
抗原修复: 柠檬酸抗原修复液(干粉, pH 6.0) (KSG1201), 98℃, 20分钟.
—抗: 1: 1100稀释, 4℃ 孵育过夜.
二抗: S-vision免疫组化多聚二抗(山羊抗兔),即用型 (货号KB3906), 室温孵育20分钟.
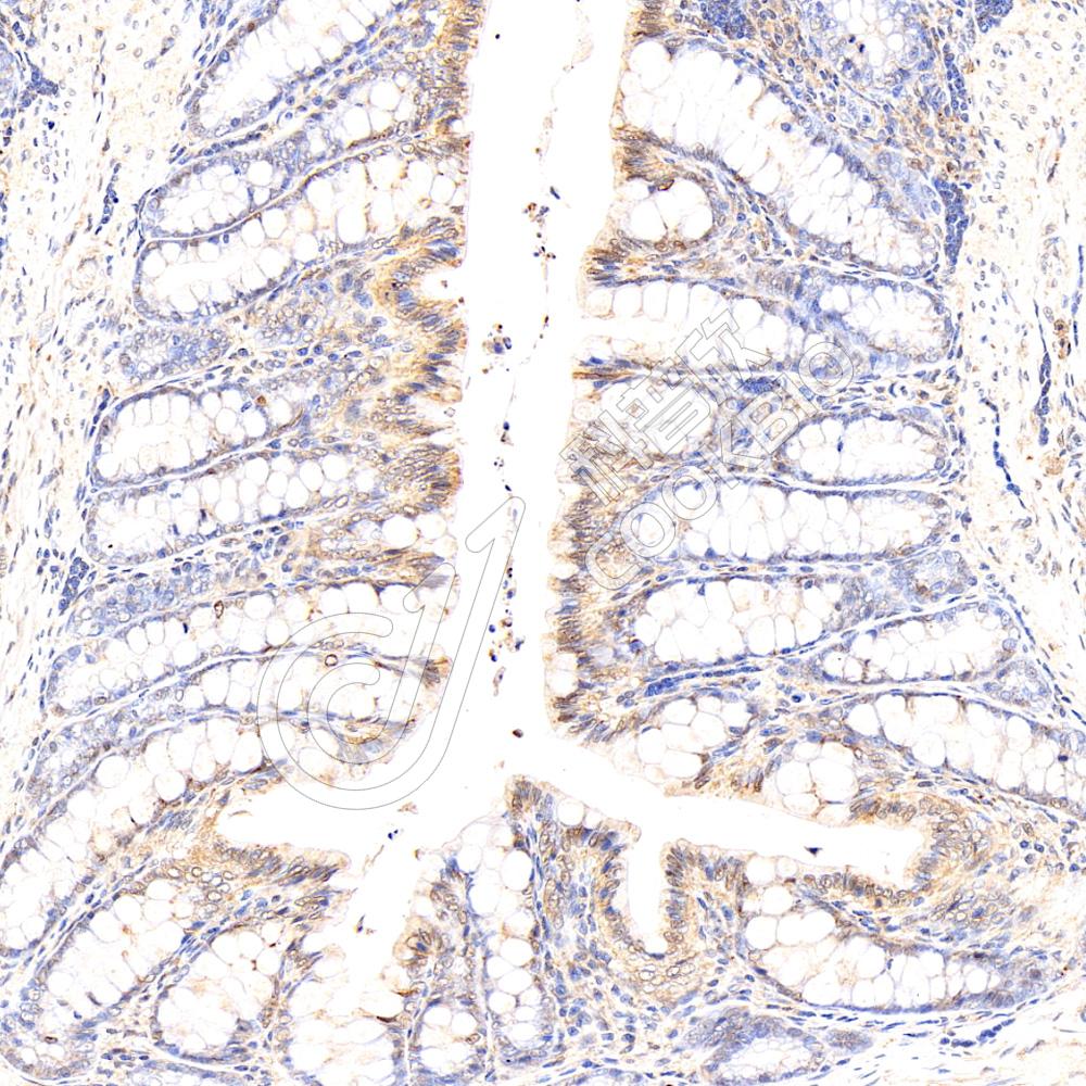
IHC检测SYTL2/SLP2蛋白(货号 K1338301).
样品: 大鼠直肠, 4%多聚甲醛 (货号KSG1101) 固定12-24小时.
抗原修复: 柠檬酸抗原修复液(干粉, pH 6.0) (KSG1201), 98℃, 20分钟.
—抗: 1: 1100稀释, 4℃ 孵育过夜.
二抗: S-vision免疫组化多聚二抗(山羊抗兔),即用型 (货号KB3906), 室温孵育20分钟.

需要技术支持?

如果您有任何问题或如果您在实验过程中遇到问题,或需要更详细的技术指导,请联系我们的技术支持团队
电话 400-6027-270

联系我们

如果您对我们的公司或产品有任何疑问,欢迎随时联系我们