tel 400-6027-270
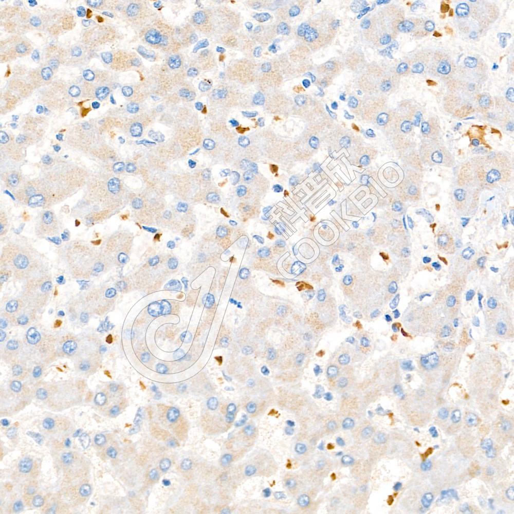
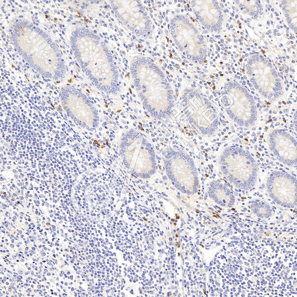
Main Image
Anti-MCP5 兔多克隆抗体
¥1900
加入对比
货号: K1336582-100
亚细胞定位: 分泌型
别名: MCP-1-related chemokine,Monocyte chemoattractant protein 5,Monocyte chemotactic protein 5,MCP-5,Small-inducible cytokine A12,Mcp5,Scya12,Ccl12
应用 | 种属
IHC/IF M,R
规格:
产品信息
蛋白质全称 CC基序趋化因子12
别名 MCP-1-related chemokine,Monocyte chemoattractant protein 5,Monocyte chemotactic protein 5,MCP-5,Small-inducible cytokine A12,Mcp5,Scya12,Ccl12
Uniprot ID Q62401
免疫原 KLH偶联的小鼠MCP5合成肽
抗体亚型 IgG
纯化方式 亲和纯化
亚细胞定位 分泌型
应用
IHC/IF 免疫组织化学/免疫荧光
物种:小鼠,大鼠
稀释比:1:400-1:1200
阳性样品:淋巴结
背景
Chemotactic factor that attracts monocytes, lymphocytes, basophils and eosinophils, but not neutrophils. Signals through CCR2B and CCR3 receptors. Plays a role in the accumulation of leukocytes at both sides of allergic and non-allergic inflammation. May be involved in the recruitment of monocytes into the arterial wall during the disease process of atherosclerosis. May play a role in the monocyte attraction in tissues chronically exposed to exogenous pathogens.
储存条件
储存条件:储存条件在:-20℃下储存一年, 避免反复冻融.
储存缓冲液:含0.15% ProClin300防腐剂, 100 μg/mL牛血清白蛋白和50%甘油的磷酸盐缓冲液.
图像
IF检测MCP5蛋白(货号 K1336582)(红色).
样品: 小鼠淋巴结, 4%多聚甲醛 (货号KSG1101) 固定12-24小时.
抗原修复: Tris-EDTA抗原修复液(pH 9.0) (KSG1203), 98℃, 20分钟.
封闭: 3% BSA(货号KSGC305010)的PBS溶液, 室温孵育30分钟.
—抗: 1: 800稀释, 4℃ 孵育过夜.
二抗: Cy3标记山羊抗兔IgG (H+L) (货号KB63909), 1: 300稀释, 室温孵育1小时.
IF检测MCP5蛋白(货号 K1336582)(红色).
样品: 大鼠淋巴结, 4%多聚甲醛 (货号KSG1101) 固定12-24小时.
抗原修复: Tris-EDTA抗原修复液(pH 9.0) (KSG1203), 98℃, 20分钟.
封闭: 3% BSA(货号KSGC305010)的PBS溶液, 室温孵育30分钟.
—抗: 1: 800稀释, 4℃ 孵育过夜.
二抗: Cy3标记山羊抗兔IgG (H+L) (货号KB63909), 1: 300稀释, 室温孵育1小时.

需要技术支持?

如果您有任何问题或如果您在实验过程中遇到问题,或需要更详细的技术指导,请联系我们的技术支持团队
电话 400-6027-270

联系我们

如果您对我们的公司或产品有任何疑问,欢迎随时联系我们