tel 400-6027-270
Main Image
Anti-MCP1 兔多克隆抗体
¥1900
加入对比
货号: K134830-100
亚细胞定位: 分泌型
别名: CCL2,GDCF-2,HC11,HSMCR30,MCAF,MCP1,SCYA2,SMC-CF,C-C motif chemokine ligand 2,MCP-1,MCP1
应用 | 种属
IHC/IF H
规格:
产品信息
蛋白质全称 C-C基序趋化因子2
别名 CCL2,GDCF-2,HC11,HSMCR30,MCAF,MCP1,SCYA2,SMC-CF,C-C motif chemokine ligand 2,MCP-1,MCP1
Uniprot ID P10148
免疫原 KLH偶联的小鼠MCP-1合成肽
抗体亚型 IgG
纯化方式 亲和纯化
亚细胞定位 分泌型
应用
IHC/IF 免疫组织化学/免疫荧光
物种:人
稀释比:1:250-1:1500
阳性样品:阑尾
背景
The chemokine (C-C motif) ligand 2 (CCL2) is also referred to as monocyte chemoattractant protein 1 (MCP1) and small inducible cytokine A2. CCL2 is a small cytokine that belongs to the CC chemokine family which is characterized by two adjacent cysteine residues. This cytokine displays chemotactic activity for monocytes and basophils but not for neutrophils or eosinophils. It has been implicated in the pathogenesis of diseases characterized by monocytic infiltrates, like psoriasis, rheumatoid arthritis and atherosclerosis.
储存条件
储存条件:储存条件在:-20℃下储存一年, 避免反复冻融.
储存缓冲液:含0.15% ProClin300防腐剂, 100 μg/mL牛血清白蛋白和50%甘油的磷酸盐缓冲液.
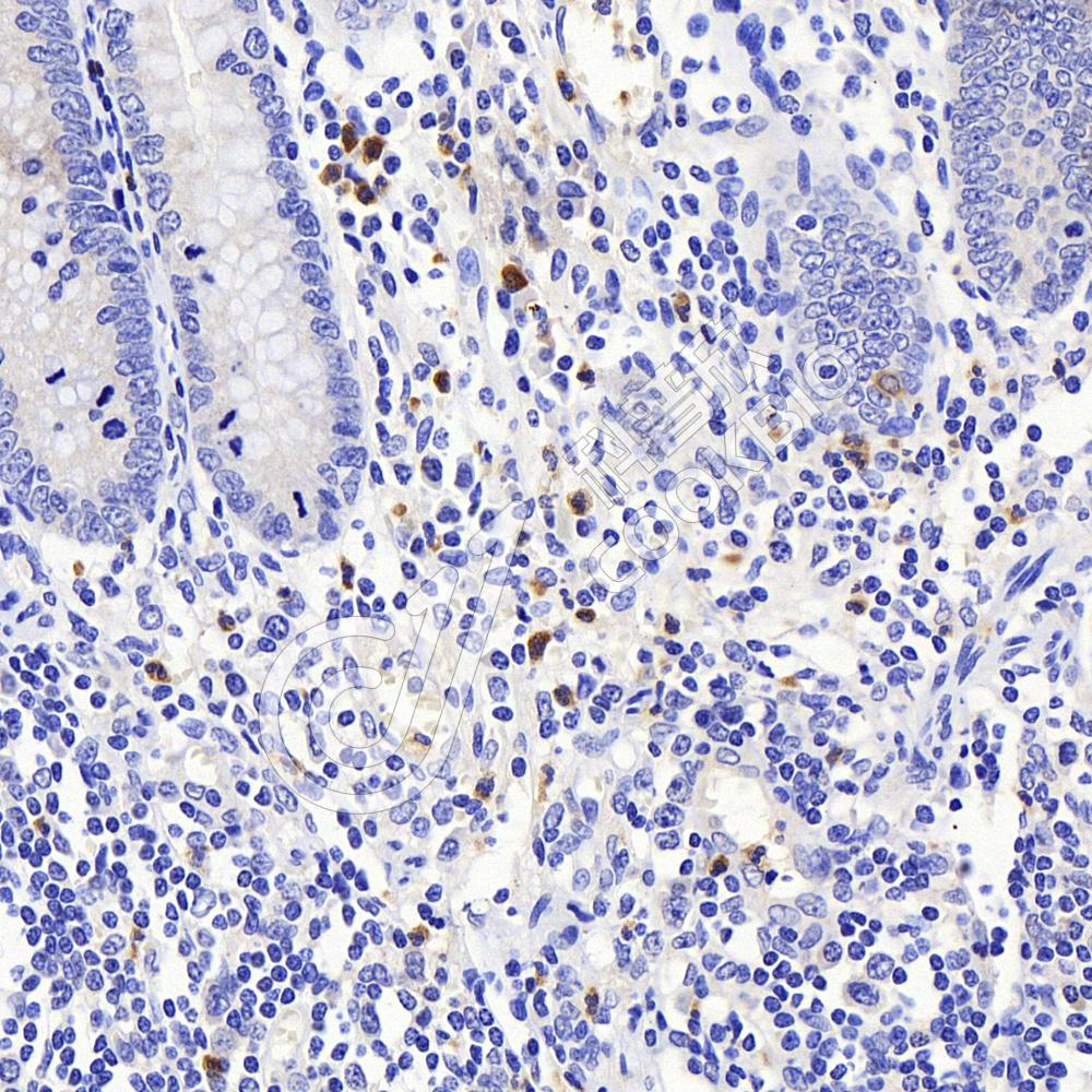
图像
IHC检测MCP1蛋白(货号 K134830).
样品: 人阑尾, 4%多聚甲醛 (货号KSG1101) 固定12-24小时.
抗原修复: 柠檬酸抗原修复液(干粉, pH 6.0) (KSG1201), 98℃, 20分钟.
—抗: 1: 900稀释, 4℃ 孵育过夜.
二抗: S-vision免疫组化多聚二抗(山羊抗兔),即用型 (货号KB3906), 室温孵育20分钟.
IHC检测MCP1蛋白(货号 K134830).
样品: 人阑尾, 4%多聚甲醛 (货号KSG1101) 固定12-24小时.
抗原修复: 柠檬酸抗原修复液(干粉, pH 6.0) (KSG1201), 98℃, 20分钟.
—抗: 1: 900稀释, 4℃ 孵育过夜.
二抗: S-vision免疫组化多聚二抗(山羊抗兔),即用型 (货号KB3906), 室温孵育20分钟.

需要技术支持?

如果您有任何问题或如果您在实验过程中遇到问题,或需要更详细的技术指导,请联系我们的技术支持团队
电话 400-6027-270

联系我们

如果您对我们的公司或产品有任何疑问,欢迎随时联系我们