tel 400-6027-270
Main Image
Anti-VDAC1/Porin 兔多克隆抗体
¥1900
加入对比
货号: K1335817-100
预测分子量: 31 kDa
观测分子量: 31 kDa
亚细胞定位: 细胞膜, 线粒体外膜
别名: VDAC1,PORIN,VDAC-1,VDAC,voltage dependent anion channel 1
应用 | 种属
WB H,M,R
IHC/IF H,M,R
规格:
产品信息
蛋白质全称 电压依赖性阴离子选择性通道蛋白1
别名 VDAC1,PORIN,VDAC-1,VDAC,voltage dependent anion channel 1
Uniprot ID Q60932
免疫原 KLH偶联的小鼠VDAC1合成肽
抗体亚型 IgG
纯化方式 亲和纯化
亚细胞定位 细胞膜, 线粒体外膜
预测分子量./观测分子量. 31 kDa / 31 kDa
应用
WB 免疫印迹
物种:人,小鼠,大鼠
稀释比:1:500-1:1000
阳性样品:HeLa细胞, Jurkat细胞, 肝
IHC/IF 免疫组织化学/免疫荧光
物种:人,小鼠,大鼠
稀释比:1:300-1:1000
阳性样品:食管癌, 肾
背景
VDAC1, also named as VDAC, porin 31HM, porin 31HL and plasmalemmal porin, belongs to the eukaryotic mitochondrial porin family. It adopts an open conformation at low or zero membrane potential and a closed conformation at potentials above 30-40 mV, to form a channel through the mitochondrial outer membrane and also the plasma membrane. Unlike other membrane transport proteins, porins are large enough to allow passive diffusion. Studies have shown that VDAC1 is subject to both phosphorylation and acetylation.
储存条件
储存条件:储存条件在:-20℃下储存一年, 避免反复冻融.
储存缓冲液:含0.15% ProClin300防腐剂, 100 μg/mL牛血清白蛋白和50%甘油的磷酸盐缓冲液.
图像
WB检测VDAC1/Porin蛋白(货号 K1335817).
样品: 经RIPA裂解液(货号KSG2002)处理的蛋白质.
封闭: 3%脱脂牛奶(货号KSGC310001)溶于TBST溶液, 室温孵育1小时.
—抗: 1: 500稀释, 4℃ 孵育过夜.
二抗: HRP标记山羊抗兔IgG (H+L) (货号KB69909), 1: 5000稀释, 室温孵育1小时.
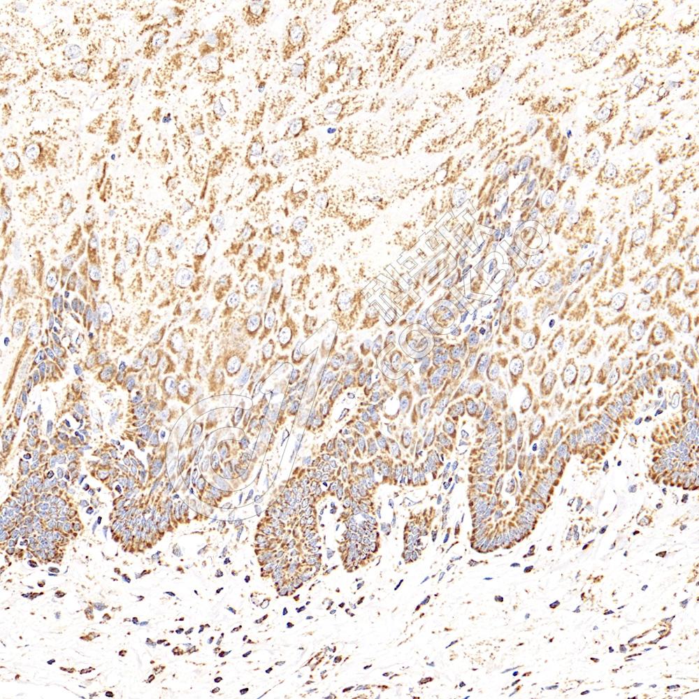
IHC检测VDAC1/Porin蛋白(货号 K1335817).
样品: 人食管癌, 4%多聚甲醛 (货号KSG1101) 固定12-24小时.
抗原修复: 柠檬酸抗原修复液(干粉, pH 6.0) (KSG1201), 98℃, 20分钟.
—抗: 1: 700稀释, 4℃ 孵育过夜.
二抗: S-vision免疫组化多聚二抗(山羊抗兔),即用型 (货号KB3906), 室温孵育20分钟.
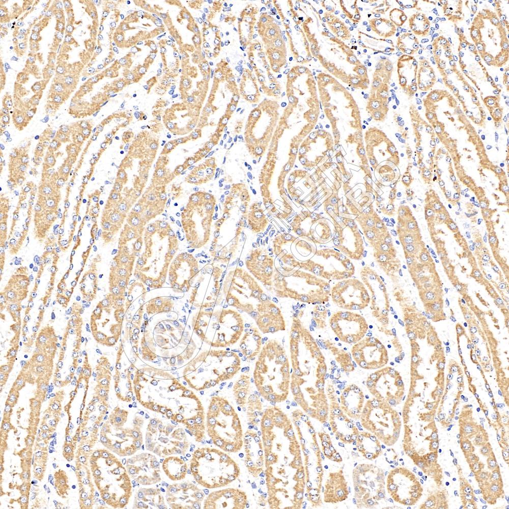
IHC检测VDAC1/Porin蛋白(货号 K1335817).
样品: 小鼠肾, 4%多聚甲醛 (货号KSG1101) 固定12-24小时.
抗原修复: 柠檬酸抗原修复液(干粉, pH 6.0) (KSG1201), 98℃, 20分钟.
—抗: 1: 700稀释, 4℃ 孵育过夜.
二抗: S-vision免疫组化多聚二抗(山羊抗兔),即用型 (货号KB3906), 室温孵育20分钟.
IHC检测VDAC1/Porin蛋白(货号 K1335817).
样品: 大鼠肾, 4%多聚甲醛 (货号KSG1101) 固定12-24小时.
抗原修复: 柠檬酸抗原修复液(干粉, pH 6.0) (KSG1201), 98℃, 20分钟.
—抗: 1: 700稀释, 4℃ 孵育过夜.
二抗: S-vision免疫组化多聚二抗(山羊抗兔),即用型 (货号KB3906), 室温孵育20分钟.

需要技术支持?

如果您有任何问题或如果您在实验过程中遇到问题,或需要更详细的技术指导,请联系我们的技术支持团队
电话 400-6027-270

联系我们

如果您对我们的公司或产品有任何疑问,欢迎随时联系我们