tel 400-6027-270
Main Image
Anti-MCK10/NEP 兔多克隆抗体
¥1900
加入对比
货号: K1333870-100
亚细胞定位: 细胞膜, 分泌型
别名: DDR1,CAK,CD167,DDR,EHGK2,MCK10,NEP,NTRK4,PTK3,PTK3A,RTK6,TRKE,discoidin domain receptor tyrosine kinase 1,Cell adhesion kinase,Discoidin receptor tyrosine kinase,HGK2,EDDR1,MCK-10,CD167a
应用 | 种属
IHC/IF H
规格:
产品信息
蛋白质全称 上皮盘状结构域受体1
别名 DDR1,CAK,CD167,DDR,EHGK2,MCK10,NEP,NTRK4,PTK3,PTK3A,RTK6,TRKE,discoidin domain receptor tyrosine kinase 1,Cell adhesion kinase,Discoidin receptor tyrosine kinase,HGK2,EDDR1,MCK-10,CD167a
Uniprot ID Q08345
免疫原 KLH偶联的人MCK10合成肽
抗体亚型 IgG
纯化方式 亲和纯化
亚细胞定位 细胞膜, 分泌型
应用
IHC/IF 免疫组织化学/免疫荧光
物种:人
稀释比:1:400-1:1000
阳性样品:结肠癌
背景
Tyrosine kinase that functions as cell surface receptor for fibrillar collagen and regulates cell attachment to the extracellular matrix, remodeling of the extracellular matrix, cell migration, differentiation, survival and cell proliferation. Collagen binding triggers a signaling pathway that involves SRC and leads to the activation of MAP kinases. Regulates remodeling of the extracellular matrix by up-regulation of the matrix metalloproteinases MMP2, MMP7 and MMP9, and thereby facilitates cell migration and wound healing.
储存条件
储存条件:储存条件在:-20℃下储存一年, 避免反复冻融.
储存缓冲液:含0.15% ProClin300防腐剂, 100 μg/mL牛血清白蛋白和50%甘油的磷酸盐缓冲液.
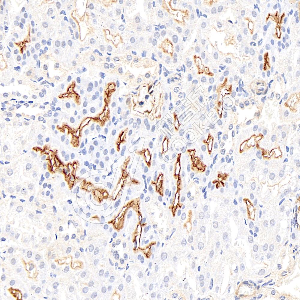
图像
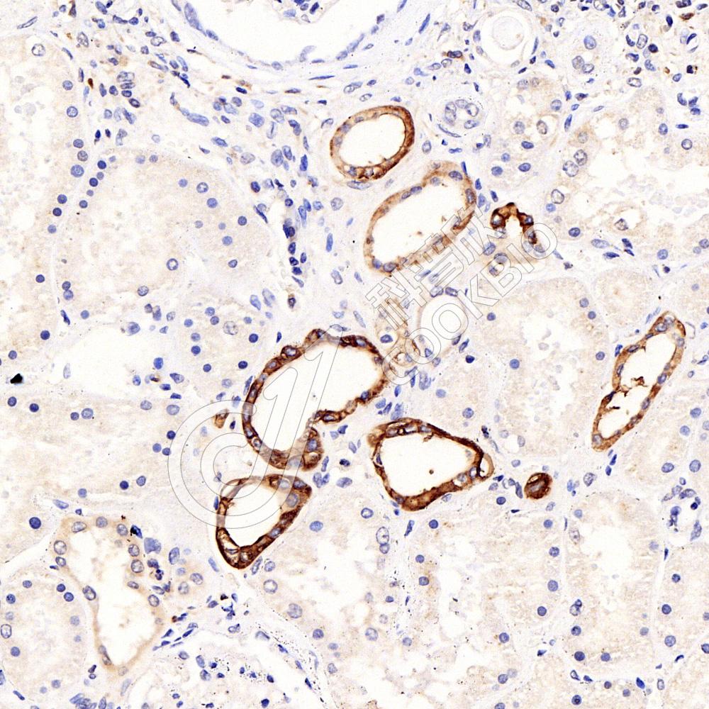
IHC检测MCK10/NEP蛋白(货号 K1333870).
样品: 人结肠癌, 4%多聚甲醛 (货号KSG1101) 固定12-24小时.
抗原修复: 柠檬酸抗原修复液(干粉, pH 6.0) (KSG1201), 98℃, 20分钟.
—抗: 1: 700稀释, 4℃ 孵育过夜.
二抗: S-vision免疫组化多聚二抗(山羊抗兔),即用型 (货号KB3906), 室温孵育20分钟.
IF检测MCK10/NEP蛋白(货号 K1333870)(红色).
样品: 人结肠癌, 4%多聚甲醛 (货号KSG1101) 固定12-24小时.
抗原修复: Tris-EDTA抗原修复液(pH 9.0) (KSG1203), 98℃, 20分钟.
封闭: 3% BSA(货号KSGC305010)的PBS溶液, 室温孵育30分钟.
—抗: 1: 700稀释, 4℃ 孵育过夜.
二抗: Cy3标记山羊抗兔IgG (H+L) (货号KB63909), 1: 300稀释, 室温孵育1小时.

需要技术支持?

如果您有任何问题或如果您在实验过程中遇到问题,或需要更详细的技术指导,请联系我们的技术支持团队
电话 400-6027-270

联系我们

如果您对我们的公司或产品有任何疑问,欢迎随时联系我们