tel 400-6027-270
Main Image
Anti-TLR2 兔多克隆抗体
¥1900
加入对比
货号: K134554-100
亚细胞定位:
别名: TLR2,CD282,TIL4,Toll like receptor,Toll/interleukin 1 receptor like protein 4,Toll like receptor 2 precursor
应用 | 种属
IHC/IF M,R
规格:
产品信息
蛋白质全称 Toll样受体2
别名 TLR2,CD282,TIL4,Toll like receptor,Toll/interleukin 1 receptor like protein 4,Toll like receptor 2 precursor
Uniprot ID O60603
免疫原 KLH偶联的人TLR2.合成肽
抗体亚型 IgG
纯化方式 亲和纯化
亚细胞定位
应用
IHC/IF 免疫组织化学/免疫荧光
物种:小鼠,大鼠
稀释比:1:1000-1:2000
阳性样品:脾
背景
TLR2 is a member of the Toll-like receptor (TLR) family, which plays a fundamental role in pathogen recognition and activation of innate immunity. TLRs are highly conserved from Drosophila to humans and share structural and functional similarities, while the various TLRs exhibit different patterns of expression. This gene is expressed most abundantly in peripheral blood leukocytes, and mediates host response to Gram-positive bacteria and yeast via stimulation of NF-κB. In the intestine, TLR2 regulates the expression of CYP1A1, which is a key enzyme in detoxication of carcinogenic polycyclic aromatic hydrocarbons such as benzo(a)pyrene.
储存条件
储存条件:储存条件在:-20℃下储存一年, 避免反复冻融.
储存缓冲液:含0.15% ProClin300防腐剂, 100 μg/mL牛血清白蛋白和50%甘油的磷酸盐缓冲液.
图像
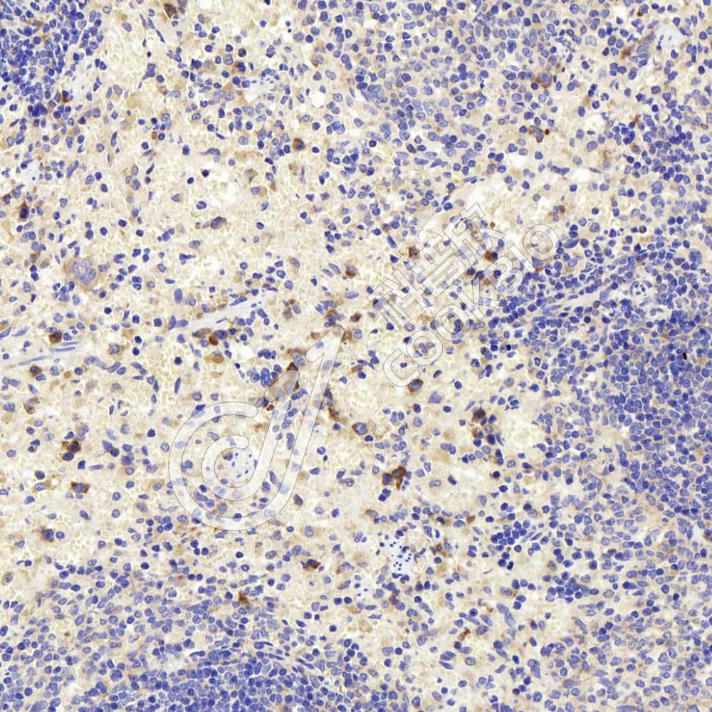
IHC检测TLR2蛋白(货号 K134554).
样品: 小鼠脾, 4%多聚甲醛 (货号KSG1101) 固定12-24小时.
抗原修复: 柠檬酸抗原修复液(干粉, pH 6.0) (KSG1201), 98℃, 20分钟.
—抗: 1: 1500稀释, 4℃ 孵育过夜.
二抗: S-vision免疫组化多聚二抗(山羊抗兔),即用型 (货号KB3906), 室温孵育20分钟.
IHC检测TLR2蛋白(货号 K134554).
样品: 大鼠脾, 4%多聚甲醛 (货号KSG1101) 固定12-24小时.
抗原修复: 柠檬酸抗原修复液(干粉, pH 6.0) (KSG1201), 98℃, 20分钟.
—抗: 1: 1500稀释, 4℃ 孵育过夜.
二抗: S-vision免疫组化多聚二抗(山羊抗兔),即用型 (货号KB3906), 室温孵育20分钟.

需要技术支持?

如果您有任何问题或如果您在实验过程中遇到问题,或需要更详细的技术指导,请联系我们的技术支持团队
电话 400-6027-270

联系我们

如果您对我们的公司或产品有任何疑问,欢迎随时联系我们