tel 400-6027-270
Main Image
Anti-Cyclin A2 兔多克隆抗体
¥1900
加入对比
货号: K1333396-100
预测分子量: 49 kDa
观测分子量: 55 kDa
亚细胞定位: 细胞质, 细胞核
别名: Cyclin-A,Ccna2,CycA,CycA2,Cyclin A2,Cyclin A,CCNA2,CCNA,CCN1
应用 | 种属
WB H,M
IHC/IF H,M,R
ICC/IF H
规格:
产品信息
蛋白质全称 细胞周期蛋白A2
别名 Cyclin-A,Ccna2,CycA,CycA2,Cyclin A2,Cyclin A,CCNA2,CCNA,CCN1
Uniprot ID P20248
免疫原 人Cyclin A2重组蛋白
抗体亚型 IgG
纯化方式 亲和纯化
亚细胞定位 细胞质, 细胞核
预测分子量./观测分子量. 49 kDa / 55 kDa
应用
WB 免疫印迹
物种:人,小鼠
稀释比:1:500-1:1000
阳性样品:—
IHC/IF 免疫组织化学/免疫荧光
物种:人,小鼠,大鼠
稀释比:1:250-1:1200
阳性样品:脑, 淋巴结, 睾丸
ICC/IF 免疫细胞化学/免疫荧光
物种:人
稀释比:1:50-1:200
阳性样品:—
背景
Cyclin A2 belongs to the highly conserved cyclin family, whose members are characterized by a dramatic periodicity in protein abundance through the cell cycle. Cyclins function as regulators of CDK kinases. Different cyclins exhibit distinct expression and degradation patterns which contribute to the temporal coordination of each mitotic event. In contrast to cyclin A1, which is present only in germ cells, this cyclin is expressed in all tissues tested. Cyclin A2 binds and activates CDC2 or CDK2 kinases, and thus promotes both cell cycle G1/S and G2/M transitions. Cyclin A2 could be phosphorylated during the G2/M.
储存条件
储存条件:储存条件在:-20℃下储存一年, 避免反复冻融.
储存缓冲液:含0.15% ProClin300防腐剂, 100 μg/mL牛血清白蛋白和50%甘油的磷酸盐缓冲液.
图像
IHC检测Cyclin A2蛋白(货号 K1333396).
样品: 人淋巴结, 4%多聚甲醛 (货号KSG1101) 固定12-24小时.
抗原修复: 柠檬酸抗原修复液(干粉, pH 6.0) (KSG1201), 98℃, 20分钟.
—抗: 1: 700稀释, 4℃ 孵育过夜.
二抗: S-vision免疫组化多聚二抗(山羊抗兔),即用型 (货号KB3906), 室温孵育20分钟.
Cyclin A2_d1000_WB
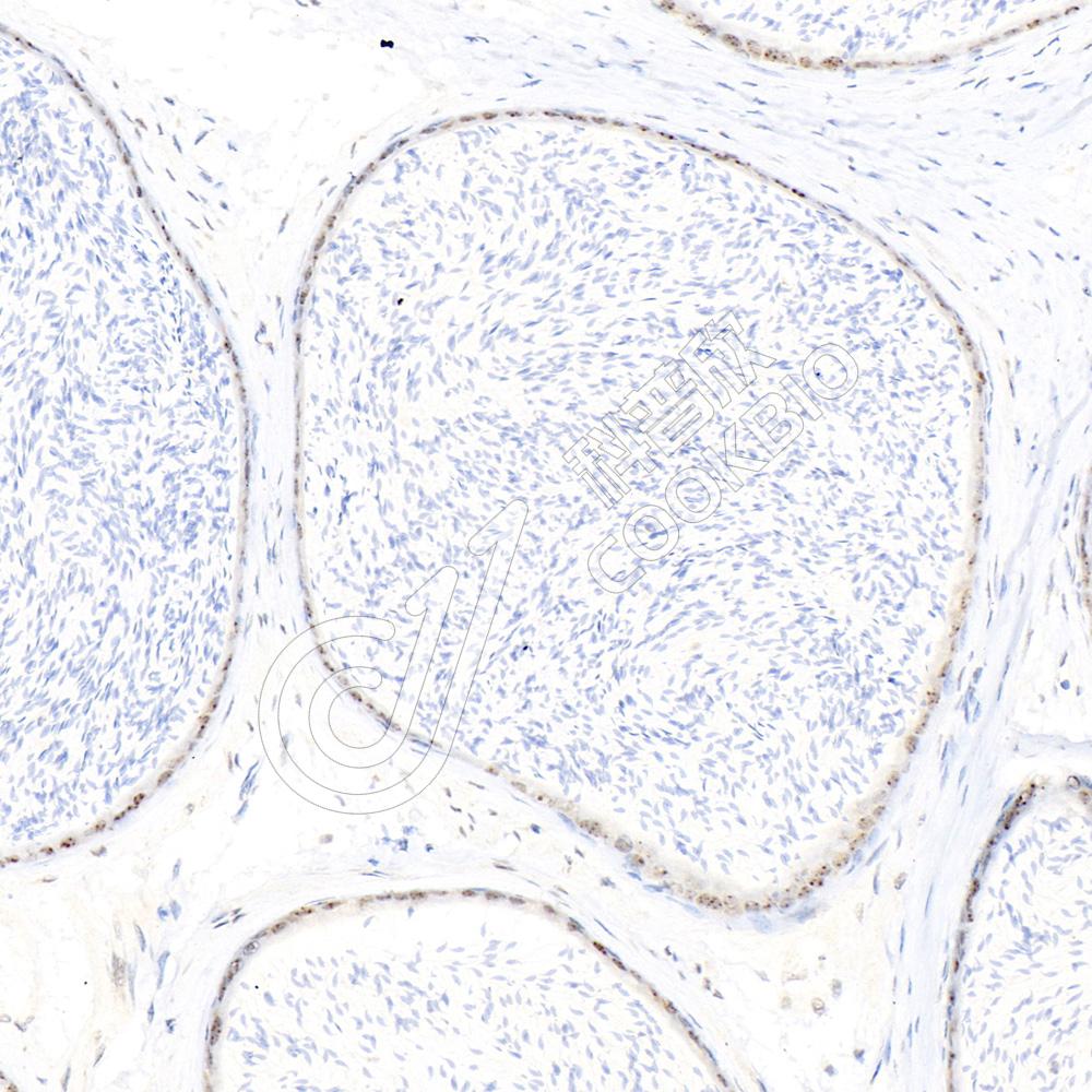
IHC检测Cyclin A2蛋白(货号 K1333396).
样品: 小鼠脑, 4%多聚甲醛 (货号KSG1101) 固定12-24小时.
抗原修复: 柠檬酸抗原修复液(干粉, pH 6.0) (KSG1201), 98℃, 20分钟.
—抗: 1: 700稀释, 4℃ 孵育过夜.
二抗: S-vision免疫组化多聚二抗(山羊抗兔),即用型 (货号KB3906), 室温孵育20分钟.
IHC检测Cyclin A2蛋白(货号 K1333396).
样品: 大鼠睾丸, 4%多聚甲醛 (货号KSG1101) 固定12-24小时.
抗原修复: 柠檬酸抗原修复液(干粉, pH 6.0) (KSG1201), 98℃, 20分钟.
—抗: 1: 700稀释, 4℃ 孵育过夜.
二抗: S-vision免疫组化多聚二抗(山羊抗兔),即用型 (货号KB3906), 室温孵育20分钟.

需要技术支持?

如果您有任何问题或如果您在实验过程中遇到问题,或需要更详细的技术指导,请联系我们的技术支持团队
电话 400-6027-270

联系我们

如果您对我们的公司或产品有任何疑问,欢迎随时联系我们