tel 400-6027-270
Main Image
Anti-PAX2 兔多克隆抗体
¥1900
加入对比
货号: K135649-100
亚细胞定位: 细胞核
别名: Pax2,PAX2,PAPRS,FSGS7,Paired box 2,paired box homeotic gene 2
应用 | 种属
IHC/IF H,M,R
规格:
产品信息
蛋白质全称 配对盒蛋白Pax-2
别名 Pax2,PAX2,PAPRS,FSGS7,Paired box 2,paired box homeotic gene 2
Uniprot ID P32114
免疫原 小鼠PAX2重组蛋白
抗体亚型 IgG
纯化方式 亲和纯化
亚细胞定位 细胞核
应用
IHC/IF 免疫组织化学/免疫荧光
物种:人,小鼠,大鼠
稀释比:1:300-1:2000
阳性样品:结肠, 肾
背景
Paired box gene 2, also known as PAX2 is a protein encoded by the PAX2 gene. The protein plays important roles in the development and proliferation of multiple cell lines, development of organs, and development and organization of the central nervous system. The transcription factor gene Pax2 is important in the regionalized embryological development of the central nervous system. In mammals, the brain is developed in three regions: the forebrain, midbrain, and the hindbrain.
储存条件
储存条件:储存条件在:-20℃下储存一年, 避免反复冻融.
储存缓冲液:含0.15% ProClin300防腐剂, 100 μg/mL牛血清白蛋白和50%甘油的磷酸盐缓冲液.
图像
IHC检测PAX2蛋白(货号 K135649).
样品: 人结肠, 4%多聚甲醛 (货号KSG1101) 固定12-24小时.
抗原修复: 柠檬酸抗原修复液(干粉, pH 6.0) (KSG1201), 98℃, 20分钟.
—抗: 1: 1200稀释, 4℃ 孵育过夜.
二抗: S-vision免疫组化多聚二抗(山羊抗兔),即用型 (货号KB3906), 室温孵育20分钟.
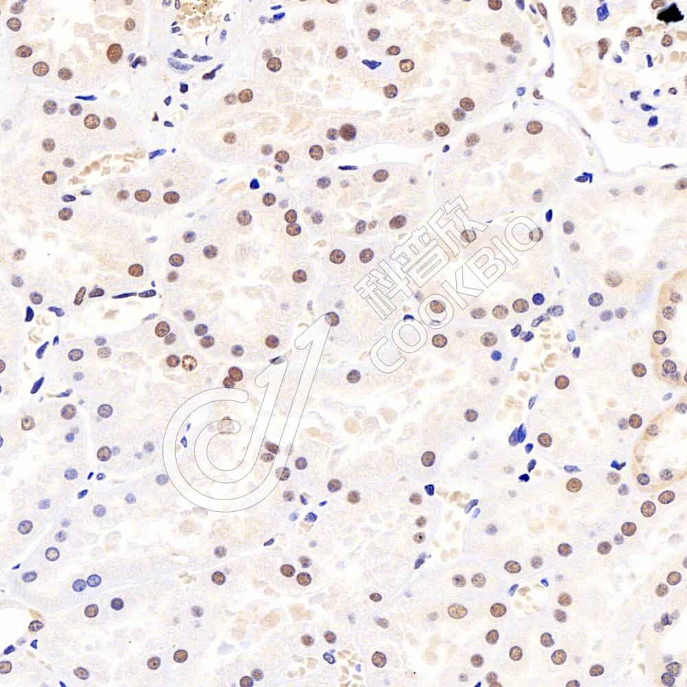
IHC检测PAX2蛋白(货号 K135649).
样品: 人肾, 4%多聚甲醛 (货号KSG1101) 固定12-24小时.
抗原修复: 柠檬酸抗原修复液(干粉, pH 6.0) (KSG1201), 98℃, 20分钟.
—抗: 1: 1200稀释, 4℃ 孵育过夜.
二抗: S-vision免疫组化多聚二抗(山羊抗兔),即用型 (货号KB3906), 室温孵育20分钟.
IF检测PAX2蛋白(货号 K135649)(红色).
样品: 大鼠肾, 4%多聚甲醛 (货号KSG1101) 固定12-24小时.
抗原修复: Tris-EDTA抗原修复液(pH 9.0) (KSG1203), 98℃, 20分钟.
封闭: 3% BSA(货号KSGC305010)的PBS溶液, 室温孵育30分钟.
—抗: 1: 1200稀释, 4℃ 孵育过夜.
二抗: Cy3标记山羊抗兔IgG (H+L) (货号KB63909), 1: 300稀释, 室温孵育1小时.

需要技术支持?

如果您有任何问题或如果您在实验过程中遇到问题,或需要更详细的技术指导,请联系我们的技术支持团队
电话 400-6027-270

联系我们

如果您对我们的公司或产品有任何疑问,欢迎随时联系我们