tel 400-6027-270
Main Image
Anti-Aquaporin 3 兔多克隆抗体
¥1900
加入对比
货号: K134185-100
亚细胞定位: 细胞膜
别名: AQP3,AQP-3,GIL,aquaporin 3 (Gill blood group),Aquaglyceroporin-3,Aquaporin 3,Gill blood group,aquaporin 3 (Gill blood group)
应用 | 种属
IHC/IF H,M,R
规格:
产品信息
蛋白质全称 水通道蛋白3
别名 AQP3,AQP-3,GIL,aquaporin 3 (Gill blood group),Aquaglyceroporin-3,Aquaporin 3,Gill blood group,aquaporin 3 (Gill blood group)
Uniprot ID P47862
免疫原 KLH偶联的大鼠Aquaporin 3合成肽
抗体亚型 IgG
纯化方式 亲和纯化
亚细胞定位 细胞膜
应用
IHC/IF 免疫组织化学/免疫荧光
物种:人,小鼠,大鼠
稀释比:1:500-1:3000
阳性样品:肾
背景
Aquaporin 3 is found in the basolateral cell membrane of principal collecting duct cells and provides a pathway for water to exit these cells. In the kidney, AQP3 is regulated by vasopressin (ADH). This protein is also a determinant for the GIL blood group system. Suberoylanilide hydroxamic acid (SAHA) (a HDAC inhibitor) increases expression of aquaporin-3 in normal skin cells (keratinocytes).
储存条件
储存条件:储存条件在:-20℃下储存一年, 避免反复冻融.
储存缓冲液:含0.15% ProClin300防腐剂, 100 μg/mL牛血清白蛋白和50%甘油的磷酸盐缓冲液.
图像
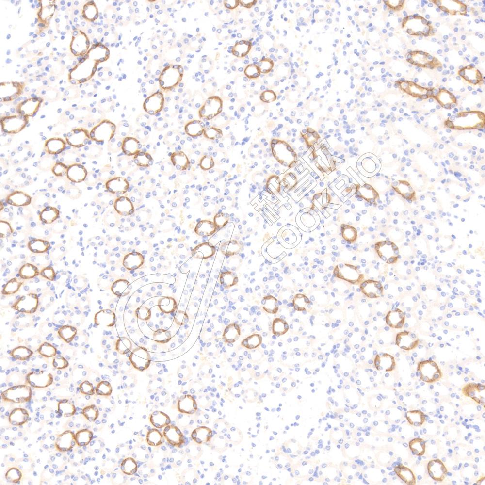
IHC检测Aquaporin 3蛋白(货号 K134185).
样品: 人肾, 4%多聚甲醛 (货号KSG1101) 固定12-24小时.
抗原修复: 柠檬酸抗原修复液(干粉, pH 6.0) (KSG1201), 98℃, 20分钟.
—抗: 1: 1800稀释, 4℃ 孵育过夜.
二抗: S-vision免疫组化多聚二抗(山羊抗兔),即用型 (货号KB3906), 室温孵育20分钟.
IHC检测Aquaporin 3蛋白(货号 K134185).
样品: 小鼠肾, 4%多聚甲醛 (货号KSG1101) 固定12-24小时.
抗原修复: 柠檬酸抗原修复液(干粉, pH 6.0) (KSG1201), 98℃, 20分钟.
—抗: 1: 1800稀释, 4℃ 孵育过夜.
二抗: S-vision免疫组化多聚二抗(山羊抗兔),即用型 (货号KB3906), 室温孵育20分钟.
IF检测Aquaporin 3蛋白(货号 K134185)(红色).
样品: 大鼠肾, 4%多聚甲醛 (货号KSG1101) 固定12-24小时.
抗原修复: Tris-EDTA抗原修复液(pH 9.0) (KSG1203), 98℃, 20分钟.
封闭: 3% BSA(货号KSGC305010)的PBS溶液, 室温孵育30分钟.
—抗: 1: 1800稀释, 4℃ 孵育过夜.
二抗: Cy3标记山羊抗兔IgG (H+L) (货号KB63909), 1: 300稀释, 室温孵育1小时.

需要技术支持?

如果您有任何问题或如果您在实验过程中遇到问题,或需要更详细的技术指导,请联系我们的技术支持团队
电话 400-6027-270

联系我们

如果您对我们的公司或产品有任何疑问,欢迎随时联系我们