tel 400-6027-270
Main Image
Anti-Dnmt1 兔多克隆抗体
¥1900
加入对比
货号: K133984-100
亚细胞定位: 细胞核
别名: DNA (cytosine-5-)-methyltransferase 1,DNA methyltransferase 1,DNMT1,ADCADN,AIM,CXXC9,DNMT,HSN1E,MCMT,m.HsaI
应用 | 种属
IHC/IF H
规格:
产品信息
蛋白质全称 DNA(胞嘧啶-5)-甲基转移酶1
别名 DNA (cytosine-5-)-methyltransferase 1,DNA methyltransferase 1,DNMT1,ADCADN,AIM,CXXC9,DNMT,HSN1E,MCMT,m.HsaI
Uniprot ID P13864
免疫原 KLH偶联的小鼠Dnmt1合成肽
抗体亚型 IgG
纯化方式 亲和纯化
亚细胞定位 细胞核
应用
IHC/IF 免疫组织化学/免疫荧光
物种:人
稀释比:1:500-1:2000
阳性样品:肾, 肺癌
背景
Methylates CpG residues. Preferentially methylates hemimethylated DNA. Associates with DNA replication sites in S phase maintaining the methylation pattern in the newly synthesized strand, that is essential for epigenetic inheritance. Associates with chromatin during G2 and M phases to maintain DNA methylation independently of replication. It is responsible for maintaining methylation patterns established in development. DNA methylation is coordinated with methylation of histones. Mediates transcriptional repression by direct binding to HDAC2.
储存条件
储存条件:储存条件在:-20℃下储存一年, 避免反复冻融.
储存缓冲液:含0.15% ProClin300防腐剂, 100 μg/mL牛血清白蛋白和50%甘油的磷酸盐缓冲液.
图像
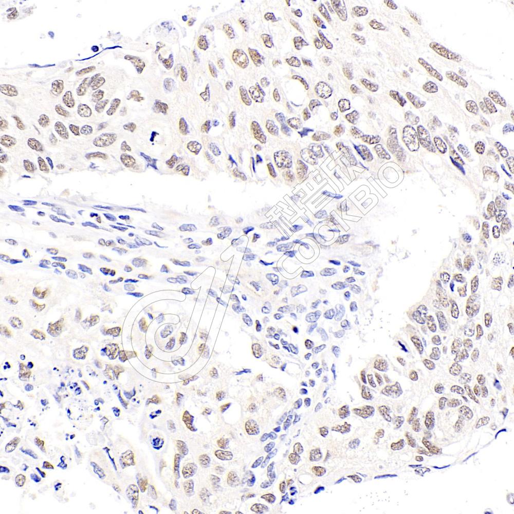
IHC检测Dnmt1蛋白(货号 K133984).
样品: 人肾, 4%多聚甲醛 (货号KSG1101) 固定12-24小时.
抗原修复: 柠檬酸抗原修复液(干粉, pH 6.0) (KSG1201), 98℃, 20分钟.
—抗: 1: 1300稀释, 4℃ 孵育过夜.
二抗: S-vision免疫组化多聚二抗(山羊抗兔),即用型 (货号KB3906), 室温孵育20分钟.
IHC检测Dnmt1蛋白(货号 K133984).
样品: 人肺癌, 4%多聚甲醛 (货号KSG1101) 固定12-24小时.
抗原修复: 柠檬酸抗原修复液(干粉, pH 6.0) (KSG1201), 98℃, 20分钟.
—抗: 1: 1300稀释, 4℃ 孵育过夜.
二抗: S-vision免疫组化多聚二抗(山羊抗兔),即用型 (货号KB3906), 室温孵育20分钟.

需要技术支持?

如果您有任何问题或如果您在实验过程中遇到问题,或需要更详细的技术指导,请联系我们的技术支持团队
电话 400-6027-270

联系我们

如果您对我们的公司或产品有任何疑问,欢迎随时联系我们