tel 400-6027-270
Main Image
Anti-DLL3 兔多克隆抗体
¥1900
加入对比
货号: K133963-100
亚细胞定位:
别名: pu,pudgy,delta like
应用 | 种属
IHC/IF M,R
ICC/IF M,R
规格:
产品信息
蛋白质全称 Delta样蛋白3
别名 pu,pudgy,delta like
Uniprot ID O88516
免疫原 KLH偶联的小鼠DLL3合成肽
抗体亚型 IgG
纯化方式 亲和纯化
亚细胞定位
应用
IHC/IF 免疫组织化学/免疫荧光
物种:小鼠,大鼠
稀释比:1:300-1:600
阳性样品:脑
ICC/IF 免疫细胞化学/免疫荧光
物种:小鼠,大鼠
稀释比:1:100-1:400
阳性样品:—
背景
This gene encodes a member of the delta protein ligand family. This family functions as Notch ligands that are characterized by a DSL domain, EGF repeats, and a transmembrane domain. Mutations in this gene cause autosomal recessive spondylocostal dysostosis 1. Two transcript variants encoding distinct isoforms have been identified for this gene. Inhibits primary neurogenesis. May be required to divert neurons along a specific differentiation pathway. Plays a role in the formation of somite boundaries during segmentation of the paraxial mesoderm .
储存条件
储存条件:储存条件在:-20℃下储存一年, 避免反复冻融.
储存缓冲液:含0.15% ProClin300防腐剂, 100 μg/mL牛血清白蛋白和50%甘油的磷酸盐缓冲液.
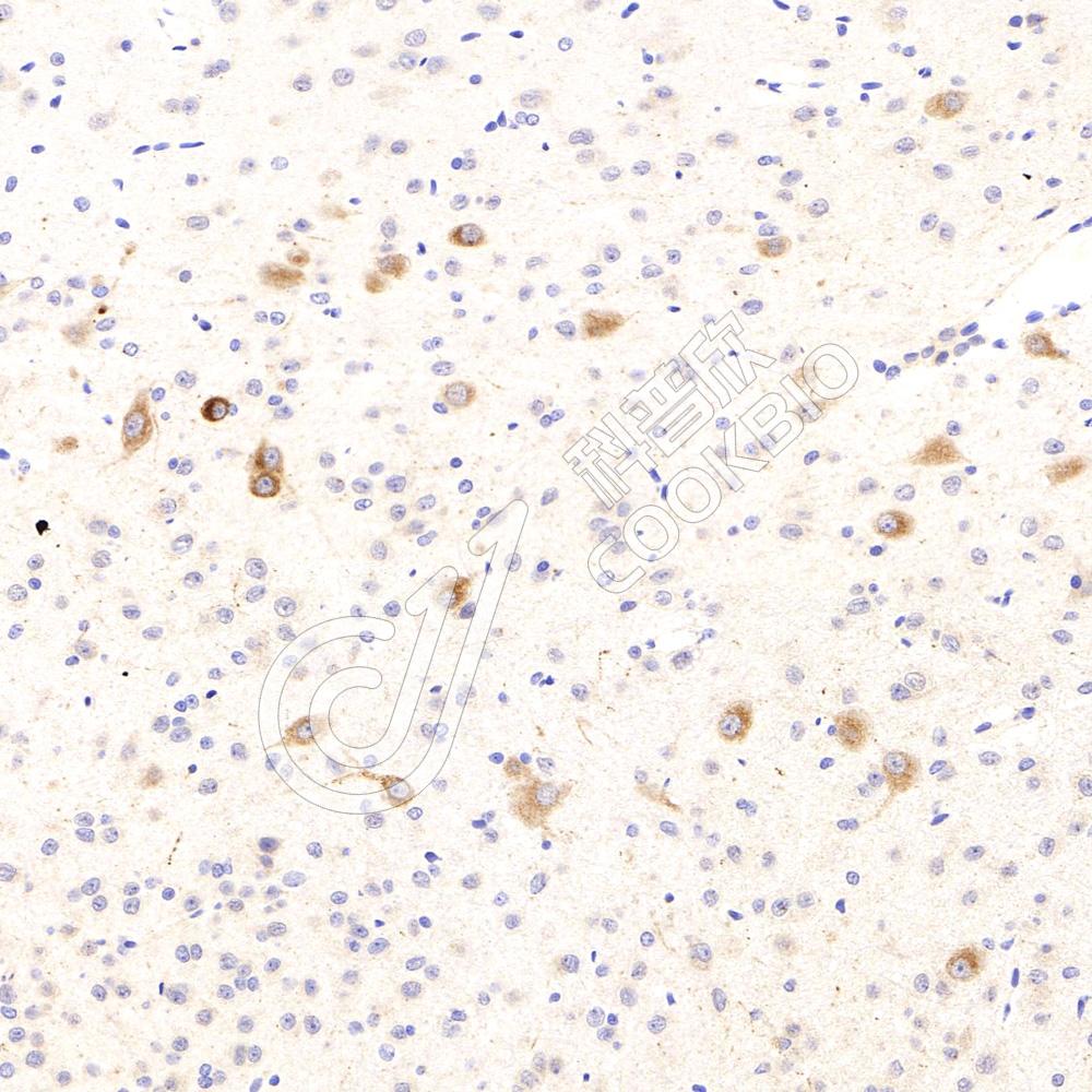
图像
IHC检测DLL3蛋白(货号 K133963).
样品: 小鼠脑, 4%多聚甲醛 (货号KSG1101) 固定12-24小时.
抗原修复: 柠檬酸抗原修复液(干粉, pH 6.0) (KSG1201), 98℃, 20分钟.
—抗: 1: 500稀释, 4℃ 孵育过夜.
二抗: S-vision免疫组化多聚二抗(山羊抗兔),即用型 (货号KB3906), 室温孵育20分钟.
IHC检测DLL3蛋白(货号 K133963).
样品: 大鼠脑, 4%多聚甲醛 (货号KSG1101) 固定12-24小时.
抗原修复: 柠檬酸抗原修复液(干粉, pH 6.0) (KSG1201), 98℃, 20分钟.
—抗: 1: 500稀释, 4℃ 孵育过夜.
二抗: S-vision免疫组化多聚二抗(山羊抗兔),即用型 (货号KB3906), 室温孵育20分钟.

需要技术支持?

如果您有任何问题或如果您在实验过程中遇到问题,或需要更详细的技术指导,请联系我们的技术支持团队
电话 400-6027-270

联系我们

如果您对我们的公司或产品有任何疑问,欢迎随时联系我们