tel 400-6027-270
Main Image
Anti-SM22 alpha 兔多克隆抗体
¥1900
加入对比
货号: K134098-100
预测分子量: 22 kDa
观测分子量: 22 kDa
亚细胞定位: 细胞质
别名: TAGLN,SM22,SMCC,TAGLN1,WS3-10,transgelin,SM22-alpha,Transgelin,SM22α
应用 | 种属
WB M,R
IHC/IF H,M,R
规格:
产品信息
蛋白质全称 转胶蛋白
别名 TAGLN,SM22,SMCC,TAGLN1,WS3-10,transgelin,SM22-alpha,Transgelin,SM22α
Uniprot ID P37804
免疫原 KLH偶联的小鼠SM22α合成肽
抗体亚型 IgG
纯化方式 亲和纯化
亚细胞定位 细胞质
预测分子量./观测分子量. 22 kDa / 22 kDa
应用
WB 免疫印迹
物种:小鼠,大鼠
稀释比:1:500-1:1000
阳性样品:—
IHC/IF 免疫组织化学/免疫荧光
物种:人,小鼠,大鼠
稀释比:1:600-1:3000
阳性样品:结肠癌, 心, 肺
背景
Transgelin is a protein that in humans is encoded by the TAGLN gene. The protein encoded by this gene is a transformation and shape-change sensitive actin cross-linking/gelling protein found in fibroblasts and smooth muscle. Its expression is down-regulated in many cell lines, and this down-regulation may be an early and sensitive marker for the onset of transformation. A functional role of this protein is unclear. Two transcript variants encoding the same protein have been found for this gene.
储存条件
储存条件:储存条件在:-20℃下储存一年, 避免反复冻融.
储存缓冲液:含0.15% ProClin300防腐剂, 100 μg/mL牛血清白蛋白和50%甘油的磷酸盐缓冲液.
图像
IHC检测SM22 alpha蛋白(货号 K134098).
样品: 人结肠癌, 4%多聚甲醛 (货号KSG1101) 固定12-24小时.
抗原修复: 柠檬酸抗原修复液(干粉, pH 6.0) (KSG1201), 98℃, 20分钟.
—抗: 1: 1800稀释, 4℃ 孵育过夜.
二抗: S-vision免疫组化多聚二抗(山羊抗兔),即用型 (货号KB3906), 室温孵育20分钟.
IHC检测SM22 alpha蛋白(货号 K134098).
样品: 小鼠肺, 4%多聚甲醛 (货号KSG1101) 固定12-24小时.
抗原修复: 柠檬酸抗原修复液(干粉, pH 6.0) (KSG1201), 98℃, 20分钟.
—抗: 1: 1800稀释, 4℃ 孵育过夜.
二抗: S-vision免疫组化多聚二抗(山羊抗兔),即用型 (货号KB3906), 室温孵育20分钟.
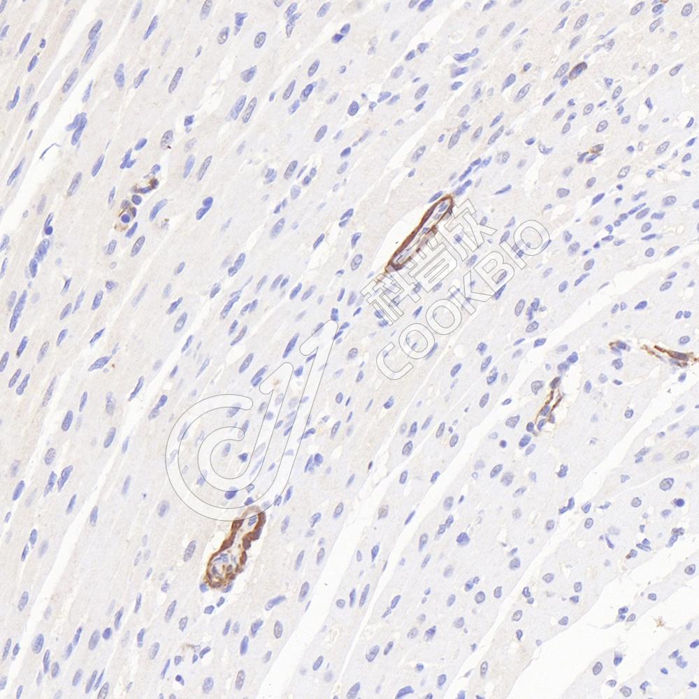
IHC检测SM22 alpha蛋白(货号 K134098).
样品: 大鼠心, 4%多聚甲醛 (货号KSG1101) 固定12-24小时.
抗原修复: 柠檬酸抗原修复液(干粉, pH 6.0) (KSG1201), 98℃, 20分钟.
—抗: 1: 1800稀释, 4℃ 孵育过夜.
二抗: S-vision免疫组化多聚二抗(山羊抗兔),即用型 (货号KB3906), 室温孵育20分钟.

需要技术支持?

如果您有任何问题或如果您在实验过程中遇到问题,或需要更详细的技术指导,请联系我们的技术支持团队
电话 400-6027-270

联系我们

如果您对我们的公司或产品有任何疑问,欢迎随时联系我们