tel 400-6027-270
Main Image
Anti-CD133 小鼠单克隆抗体
¥1900
加入对比
货号: K236180-100
亚细胞定位: 细胞膜, 细胞质
别名: AC133,Antigen AC133,CD133,CORD12,MCDR2,MSTP061,PROM1,Prominin like protein 1,PROML1,RP41,STGD4,STGD4,Hematopoietic stem cell antigen,prominin 1
应用 | 种属
IHC/IF R
规格:
产品信息
蛋白质全称 突出蛋白-1
别名 AC133,Antigen AC133,CD133,CORD12,MCDR2,MSTP061,PROM1,Prominin like protein 1,PROML1,RP41,STGD4,STGD4,Hematopoietic stem cell antigen,prominin 1
Uniprot ID O54990
免疫原 KLH偶联的小鼠CD133合成肽
抗体亚型 IgG1, κ
克隆号 9G9D8
纯化方式 亲和纯化
亚细胞定位 细胞膜, 细胞质
应用
IHC/IF 免疫组织化学/免疫荧光
物种:大鼠
稀释比:1:200-1:800
阳性样品:胚胎, 子宫
背景
CD133, also known as PROM1 (prominin-1) or AC133, belongs to the prominin family. CD133 is a transmembrane glycoprotein with an NH2-terminal extracellular domain, five transmembrane loops and a cytoplasmic tail. The expression of CD133 has been reported in hematopoietic stem cells, endothelial progenitor cells, neuronal and glial stem cells, suggesting the potential role of CD133 as a cell surface marker of adult stem cells. CD133 has also been reported as a marker of cancer stem cells in various human tumors.
储存条件
储存条件:储存条件在:-20℃下储存一年, 避免反复冻融.
储存缓冲液:含0.15% ProClin300防腐剂, 100 μg/mL牛血清白蛋白和50%甘油的磷酸盐缓冲液.
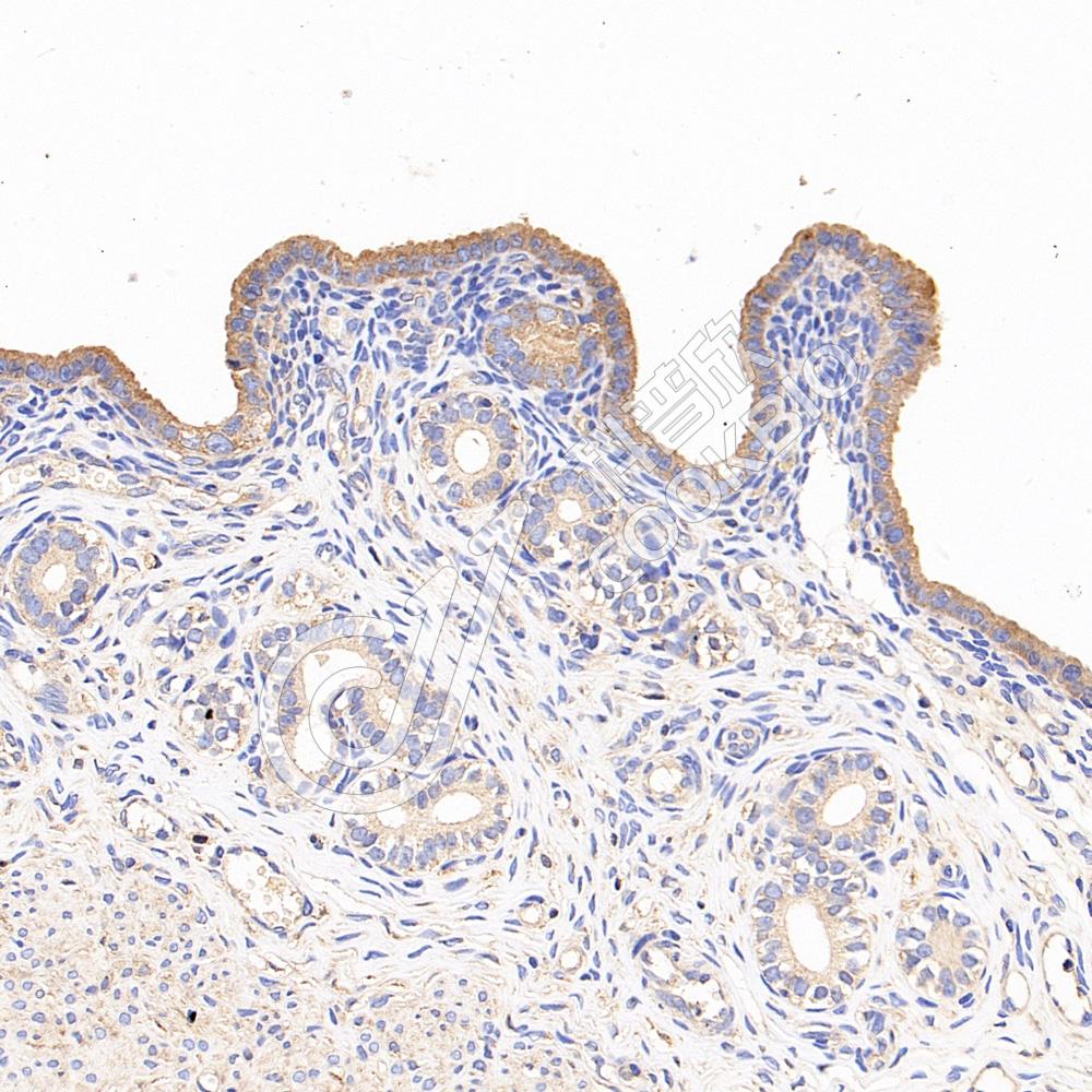
图像
IHC检测CD133蛋白(货号 K236180).
样品: 大鼠胚胎, 4%多聚甲醛 (货号KSG1101) 固定12-24小时.
抗原修复: 柠檬酸抗原修复液(干粉, pH 6.0) (KSG1201), 高压锅均匀喷气计时2分钟.
—抗: 1: 500稀释, 4℃ 孵育过夜.
二抗: S-vision免疫组化多聚二抗(山羊抗小鼠), 即用型(货号KB3903), 室温孵育20分钟.
IHC检测CD133蛋白(货号 K236180).
样品: 大鼠子宫, 4%多聚甲醛 (货号KSG1101) 固定12-24小时.
抗原修复: 柠檬酸抗原修复液(干粉, pH 6.0) (KSG1201), 高压锅均匀喷气计时2分钟.
—抗: 1: 500稀释, 4℃ 孵育过夜.
二抗: S-vision免疫组化多聚二抗(山羊抗小鼠), 即用型(货号KB3903), 室温孵育20分钟.

需要技术支持?

如果您有任何问题或如果您在实验过程中遇到问题,或需要更详细的技术指导,请联系我们的技术支持团队
电话 400-6027-270

联系我们

如果您对我们的公司或产品有任何疑问,欢迎随时联系我们