tel 400-6027-270
Main Image
Anti-IKB beta 兔多克隆抗体
¥1900
加入对比
货号: K133918-100
亚细胞定位: 细胞质, 细胞核
别名: I kappa B beta,IkappaBbeta,IkB B,IkB beta,IKBB,NF kappa B inhibitor beta,NF kappa BIB,NFKBIB,TR interacting protein 9,TRIP 9,TRIP9,IKBB,IkB-beta,NFKB inhibitor beta
应用 | 种属
IHC/IF H,M,R
规格:
产品信息
蛋白质全称 NF-κB抑制因子β
别名 I kappa B beta,IkappaBbeta,IkB B,IkB beta,IKBB,NF kappa B inhibitor beta,NF kappa BIB,NFKBIB,TR interacting protein 9,TRIP 9,TRIP9,IKBB,IkB-beta,NFKB inhibitor beta
Uniprot ID Q60778
免疫原 KLH偶联的小鼠IKB-beta合成肽
抗体亚型 IgG
纯化方式 亲和纯化
亚细胞定位 细胞质, 细胞核
应用
IHC/IF 免疫组织化学/免疫荧光
物种:人,小鼠,大鼠
稀释比:1:300-1:600
阳性样品:乳腺, 肾, 肝
背景
Inhibits NF-kappa-B by complexing with and trapping it in the cytoplasm. However, the unphosphorylated form resynthesized after cell stimulation is able to bind NF-kappa-B allowing its transport to the nucleus and protecting it to further NFKBIA-dependent inactivation. Association with inhibitor kappa B-interacting NKIRAS1 and NKIRAS2 prevent its phosphorylation rendering it more resistant to degradation, explaining its slower degradation.
储存条件
储存条件:储存条件在:-20℃下储存一年, 避免反复冻融.
储存缓冲液:含0.15% ProClin300防腐剂, 100 μg/mL牛血清白蛋白和50%甘油的磷酸盐缓冲液.
图像
IHC检测IKB beta蛋白(货号 K133918).
样品: 人乳腺, 4%多聚甲醛 (货号KSG1101) 固定12-24小时.
抗原修复: 柠檬酸抗原修复液(干粉, pH 6.0) (KSG1201), 98℃, 20分钟.
—抗: 1: 500稀释, 4℃ 孵育过夜.
二抗: S-vision免疫组化多聚二抗(山羊抗兔),即用型 (货号KB3906), 室温孵育20分钟.
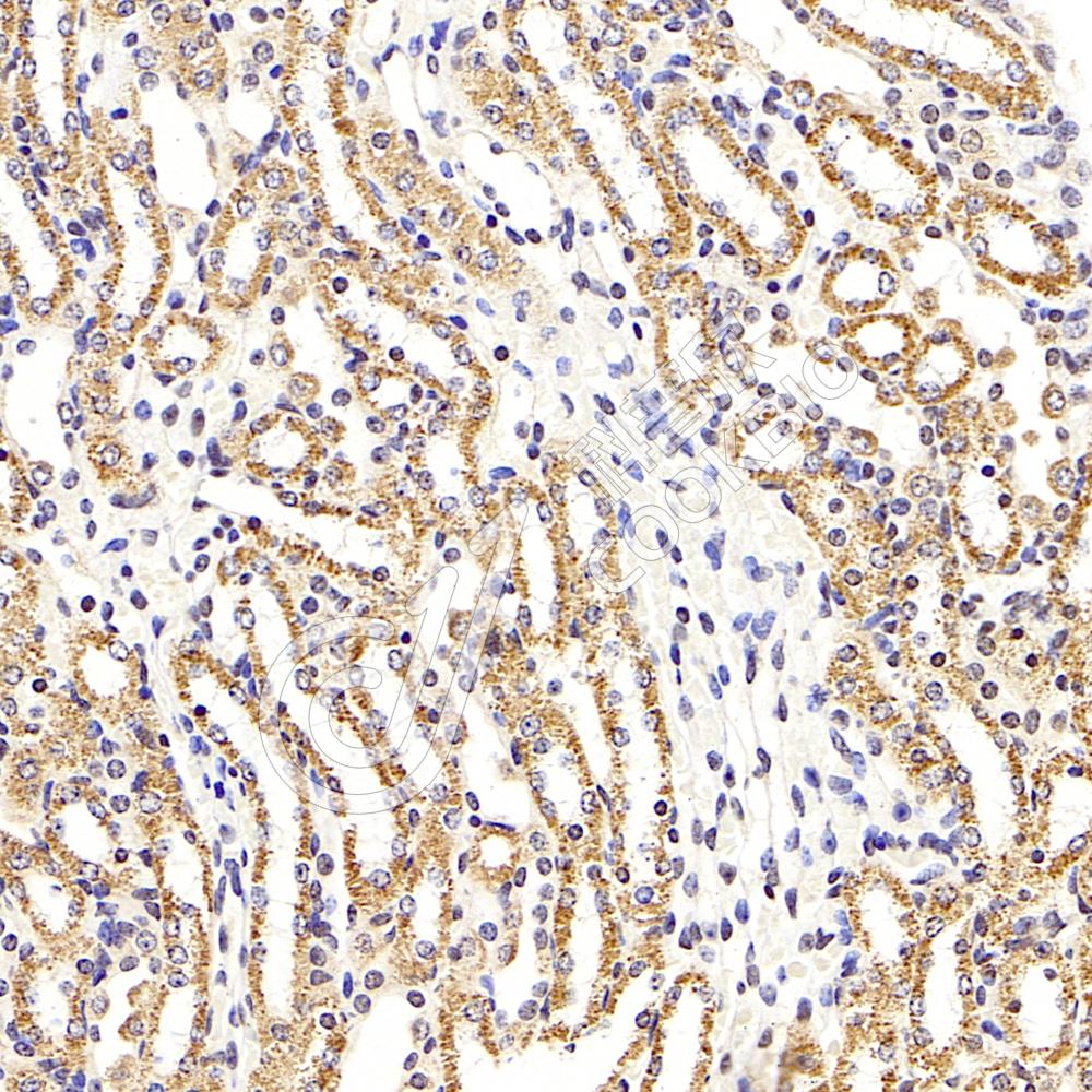
IHC检测IKB beta蛋白(货号 K133918).
样品: 小鼠肾, 4%多聚甲醛 (货号KSG1101) 固定12-24小时.
抗原修复: 柠檬酸抗原修复液(干粉, pH 6.0) (KSG1201), 98℃, 20分钟.
—抗: 1: 500稀释, 4℃ 孵育过夜.
二抗: S-vision免疫组化多聚二抗(山羊抗兔),即用型 (货号KB3906), 室温孵育20分钟.
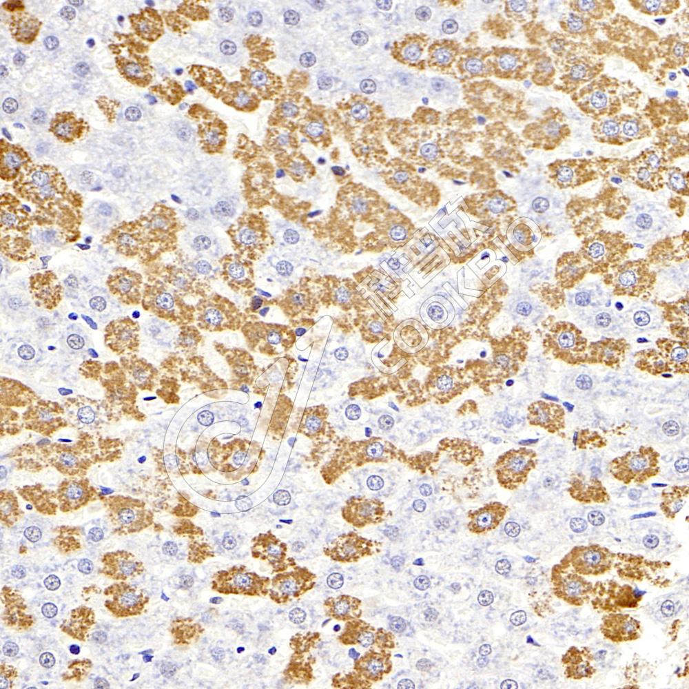
IHC检测IKB beta蛋白(货号 K133918).
样品: 大鼠肝, 4%多聚甲醛 (货号KSG1101) 固定12-24小时.
抗原修复: 柠檬酸抗原修复液(干粉, pH 6.0) (KSG1201), 98℃, 20分钟.
—抗: 1: 500稀释, 4℃ 孵育过夜.
二抗: S-vision免疫组化多聚二抗(山羊抗兔),即用型 (货号KB3906), 室温孵育20分钟.

需要技术支持?

如果您有任何问题或如果您在实验过程中遇到问题,或需要更详细的技术指导,请联系我们的技术支持团队
电话 400-6027-270

联系我们

如果您对我们的公司或产品有任何疑问,欢迎随时联系我们