tel 400-6027-270
Main Image
Anti-IKK alpha 兔多克隆抗体
¥1900
加入对比
货号: K133876-2-100
亚细胞定位: 细胞质, 细胞核
别名: Chuk,CHUK,IKBKA,IKK-alpha,IKK1,IKKA,NFKBIKA,TCF16,Conserved helix-loop-helix ubiquitous kinase,Component of inhibitor of nuclear factor kappa B kinase complex
应用 | 种属
IHC/IF H,M,R
规格:
产品信息
蛋白质全称 核因子κB激酶抑制因子α亚基
别名 Chuk,CHUK,IKBKA,IKK-alpha,IKK1,IKKA,NFKBIKA,TCF16,Conserved helix-loop-helix ubiquitous kinase,Component of inhibitor of nuclear factor kappa B kinase complex
Uniprot ID Q60680
免疫原 KLH偶联的小鼠IKKα合成肽
抗体亚型 IgG
纯化方式 亲和纯化
亚细胞定位 细胞质, 细胞核
应用
IHC/IF 免疫组织化学/免疫荧光
物种:人,小鼠,大鼠
稀释比:1:200-1:1000
阳性样品:乳腺癌, 睾丸
背景
IKK-α is a member of the serine/threonine protein kinase family and forms a complex in the cell with IKK-βand NEMO. NF-κB transcription factors are normally held in an inactive state by the inhibitory proteins IκBs. IKK-α and IKK-β phosphorylate the IκB proteins, marking them for degradation via ubiquitination and allowing NF-κB transcription factors to go into the nucleus. Once activated, NF-κB transcription factors regulate genes that are implicated in many important cellular processes, including immune response, inflammation, cell death, and cell proliferation.
储存条件
储存条件:储存条件在:-20℃下储存一年, 避免反复冻融.
储存缓冲液:含0.15% ProClin300防腐剂, 100 μg/mL牛血清白蛋白和50%甘油的磷酸盐缓冲液.
图像
IHC检测IKK alpha蛋白(货号 K133876-2).
样品: 人乳腺癌, 4%多聚甲醛 (货号KSG1101) 固定12-24小时.
抗原修复: 柠檬酸抗原修复液(干粉, pH 6.0) (KSG1201), 98℃, 20分钟.
—抗: 1: 600稀释, 4℃ 孵育过夜.
二抗: S-vision免疫组化多聚二抗(山羊抗兔),即用型 (货号KB3906), 室温孵育20分钟.
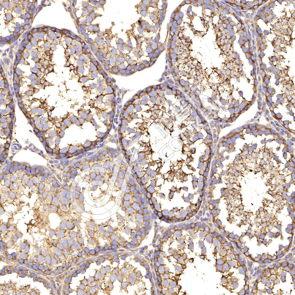
IHC检测IKK alpha蛋白(货号 K133876-2).
样品: 小鼠睾丸, 4%多聚甲醛 (货号KSG1101) 固定12-24小时.
抗原修复: 柠檬酸抗原修复液(干粉, pH 6.0) (KSG1201), 98℃, 20分钟.
—抗: 1: 600稀释, 4℃ 孵育过夜.
二抗: S-vision免疫组化多聚二抗(山羊抗兔),即用型 (货号KB3906), 室温孵育20分钟.
IHC检测IKK alpha蛋白(货号 K133876-2).
样品: 大鼠睾丸, 4%多聚甲醛 (货号KSG1101) 固定12-24小时.
抗原修复: 柠檬酸抗原修复液(干粉, pH 6.0) (KSG1201), 98℃, 20分钟.
—抗: 1: 600稀释, 4℃ 孵育过夜.
二抗: S-vision免疫组化多聚二抗(山羊抗兔),即用型 (货号KB3906), 室温孵育20分钟.

需要技术支持?

如果您有任何问题或如果您在实验过程中遇到问题,或需要更详细的技术指导,请联系我们的技术支持团队
电话 400-6027-270

联系我们

如果您对我们的公司或产品有任何疑问,欢迎随时联系我们