tel 400-6027-270
Main Image
Anti-alpha smooth muscle Actin 兔多克隆抗体
¥1900
加入对比
货号: K1334092-100
预测分子量: 42 kDa
观测分子量: 42 kDa
亚细胞定位: 细胞质
别名: Actin, aortic smooth muscle, Alpha-actin-2, Cell growth-inhibiting gene 46 protein, ACTA2, ACTSA, ACTVS, GIG46, SMA, a-sma, sma
应用 | 种属
WB H,M,R
IHC/IF H,M,R
IEM M
规格:
产品信息
蛋白质全称 主动脉平滑肌肌动蛋白
别名 Actin, aortic smooth muscle, Alpha-actin-2, Cell growth-inhibiting gene 46 protein, ACTA2, ACTSA, ACTVS, GIG46, SMA, a-sma, sma
Uniprot ID P62737
免疫原 KLH偶联的小鼠alpha smooth muscle actin合成肽
抗体亚型 IgG
纯化方式 亲和纯化
亚细胞定位 细胞质
预测分子量./观测分子量. 42 kDa / 42 kDa
应用
WB 免疫印迹
物种:人, 小鼠, 大鼠
稀释比:1: 1000-1: 2000
阳性样品:293T细胞, MCF7细胞
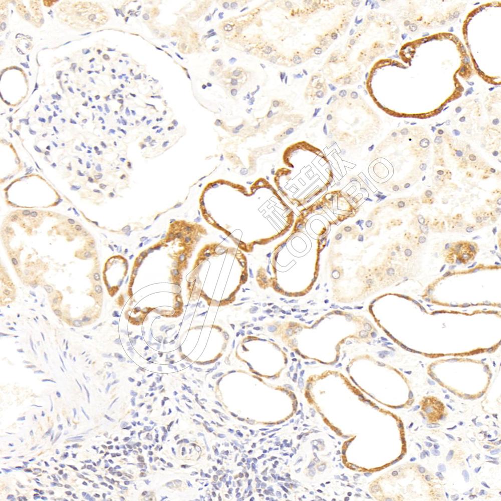
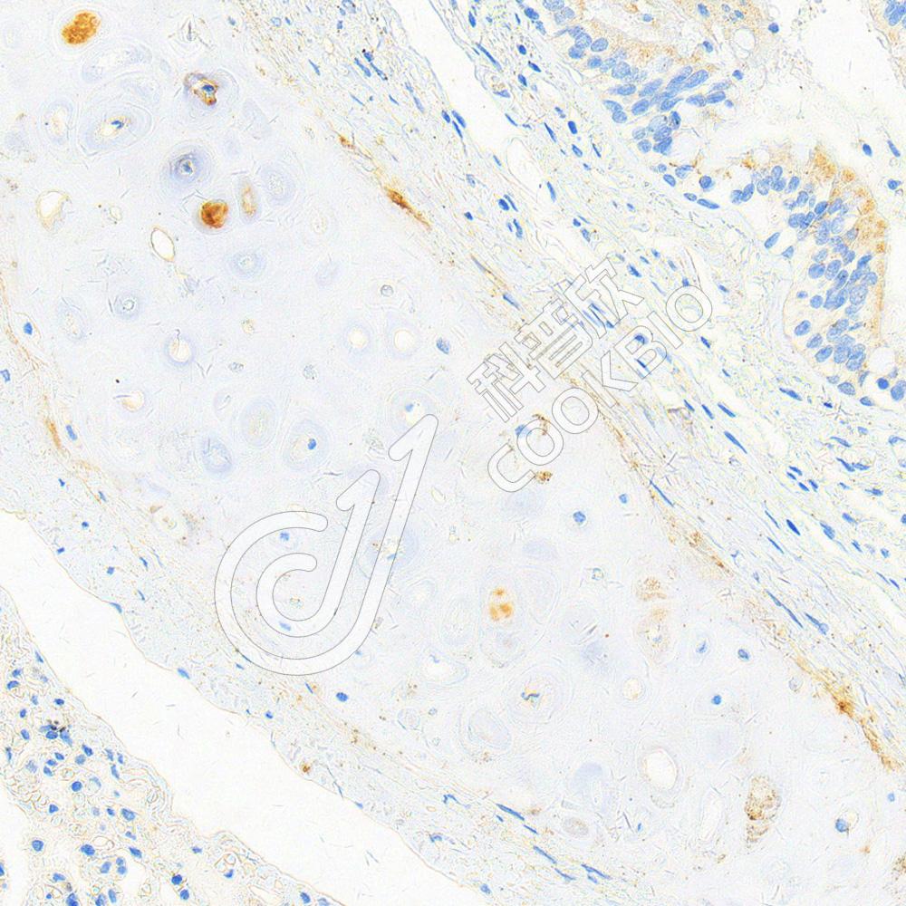
IHC/IF 免疫组织化学/免疫荧光
物种:人, 小鼠, 大鼠
稀释比:1: 300-1: 1000
阳性样品:—
IEM 免疫电镜
物种:小鼠
稀释比:1: 50-1: 100
阳性样品:—
背景

Alpha-actin-2 also known as actin, aortic smooth muscle or alpha smooth muscle actin (α-SMA, SMactin, alpha-SM-actin, ASMA). Actin alpha 2, the human aortic smooth muscle actin gene, is one of six different actin isoforms which have been identified. Actins are highly conserved proteins that are involved in cell motility, structure and integrity. Alpha actins are a major constituent of the contractile apparatus.Alpha-smooth muscle actin (α-SMA) is commonly used as a marker of myofibroblast formation.                                        

储存条件
储存条件:储存条件在:-20℃下储存一年, 避免反复冻融.
储存缓冲液:含0.15% ProClin300防腐剂, 100 μg/mL牛血清白蛋白和50%甘油的磷酸盐缓冲液.
图像
WB检测alpha smooth muscle Actin蛋白(货号 K1334092).
样品: 经RIPA裂解液(货号KSG2002)处理的蛋白质.
封闭: 3%脱脂牛奶(货号KSGC310001)溶于TBST溶液, 室温孵育1小时.
—抗: 1: 1000稀释, 4℃ 孵育过夜.
二抗: HRP标记山羊抗兔IgG (H+L) (货号KB69909), 1: 5000稀释, 室温孵育1小时.
01WB1 K1334092_alpha smooth muscle Actin_d1000_WB.jpg
WB检测alpha smooth muscle Actin蛋白(货号 K1334092).
样品: 经RIPA裂解液(货号KSG2002)处理的蛋白质.
封闭: 3%脱脂牛奶(货号KSGC310001)溶于TBST溶液, 室温孵育1小时.
—抗: 1: 1000稀释, 4℃ 孵育过夜.
二抗: HRP标记山羊抗兔IgG (H+L) (货号KB69909), 1: 5000稀释, 室温孵育1小时.

需要技术支持?

如果您有任何问题或如果您在实验过程中遇到问题,或需要更详细的技术指导,请联系我们的技术支持团队
电话 400-6027-270

联系我们

如果您对我们的公司或产品有任何疑问,欢迎随时联系我们