tel 400-6027-270
Main Image
Recombinant Anti-EIF2S1 antibody (兔单克隆抗体)
¥1900
加入对比
货号: K5450075-100
预测分子量: 36 kDa
观测分子量: 38 kDa
亚细胞定位: 细胞质
别名: EIF2S1,EIF-2,EIF-2A,EIF-2alpha,EIF2,EIF2A,eukaryotic translation initiation factor 2 subunit alpha
应用 | 种属
WB H,M,R
IHC/IF M,R
规格:
产品信息
蛋白质全称 真核翻译起始因子2亚基1
别名 EIF2S1,EIF-2,EIF-2A,EIF-2alpha,EIF2,EIF2A,eukaryotic translation initiation factor 2 subunit alpha
Uniprot ID Q6ZWX6
免疫原 小鼠EIF2S1重组蛋白
抗体亚型 IgG, κ
克隆号 SB256
纯化方式 亲和纯化
亚细胞定位 细胞质
预测分子量./观测分子量. 36 kDa / 38 kDa
应用
WB 免疫印迹
物种:人,小鼠,大鼠
稀释比:1:500-1:1000
阳性样品:—
IHC/IF 免疫组织化学/免疫荧光
物种:小鼠,大鼠
稀释比:1:1000-1:2000
阳性样品:脑, 肾
背景
Eukaryotic translation initiation factor 2 subunit 1 (eIF2α) is a protein that in humans is encoded by the EIF2S1 gene. The protein encoded by this gene is the alpha (α) subunit of the translation initiation factor eIF2 complex which catalyzes an early regulated step of protein synthesis initiation, promoting the binding of the initiator tRNA (Met-tRNAiMet) to 40S ribosomal subunits. Binding occurs as a ternary complex of methionyl-tRNA, eIF2, and GTP.
储存条件
储存条件:储存条件在:-20℃下储存一年, 避免反复冻融.
储存缓冲液:含0.15% ProClin300防腐剂, 100 μg/mL牛血清白蛋白和50%甘油的磷酸盐缓冲液.
图像
IHC检测EIF2S1蛋白(货号 K5450075).
样品: 小鼠肾, 4%多聚甲醛 (货号KSG1101) 固定12-24小时.
抗原修复: Tris-EDTA抗原修复液(pH 9.0) (KSG1203), 98℃, 20分钟.
—抗: 1: 1500稀释, 4℃ 孵育过夜.
二抗: S-vision免疫组化多聚二抗(山羊抗兔),即用型 (货号KB3906), 室温孵育20分钟.
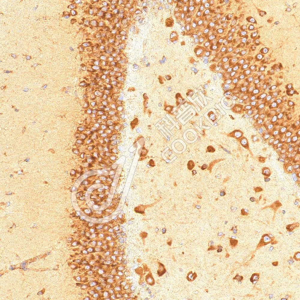
IHC检测EIF2S1蛋白(货号 K5450075).
样品: 大鼠脑, 4%多聚甲醛 (货号KSG1101) 固定12-24小时.
抗原修复: Tris-EDTA抗原修复液(pH 9.0) (KSG1203), 98℃, 20分钟.
—抗: 1: 1500稀释, 4℃ 孵育过夜.
二抗: S-vision免疫组化多聚二抗(山羊抗兔),即用型 (货号KB3906), 室温孵育20分钟.

需要技术支持?

如果您有任何问题或如果您在实验过程中遇到问题,或需要更详细的技术指导,请联系我们的技术支持团队
电话 400-6027-270

联系我们

如果您对我们的公司或产品有任何疑问,欢迎随时联系我们