tel 400-6027-270
Main Image
Anti-Ly6g 大鼠单克隆抗体
¥1900
加入对比
货号: K236687-100
亚细胞定位: 细胞膜
别名: Gr-1,Gr1,Ly-6G,Ly-6G.1,Ly6g,Lymphocyte antigen 6G
应用 | 种属
IHC/IF M
规格:
产品信息
蛋白质全称 淋巴细胞抗原6G
别名 Gr-1,Gr1,Ly-6G,Ly-6G.1,Ly6g,Lymphocyte antigen 6G
Uniprot ID P35461
免疫原 小鼠Ly6g重组蛋白
抗体亚型 IgG1
克隆号 1G5E5
纯化方式 亲和纯化
亚细胞定位 细胞膜
应用
IHC/IF 免疫组织化学/免疫荧光
物种:小鼠
稀释比:1:500-1:1500
阳性样品:lps(24h)诱导肝脏炎症模型, 损伤肺
背景
Ly6G is a GPI-anchored protein, that is also known as the myeloid differentiation antigen Gr1. The antigen is transiently expressed on monocytes in the bone marrow. The level of antigen expression in the bone marrow directly correlates with granulocyte differentiation and maturation. Ly6G is expressed predominantly on neutrophils, also in a subset of eosinophils, differentiating pre-monocytes, and plasmacytoid dendritic cells.
储存条件
储存条件:储存条件在:-20℃下储存一年, 避免反复冻融.
储存缓冲液:含0.15% ProClin300防腐剂, 100 μg/mL牛血清白蛋白和50%甘油的磷酸盐缓冲液.
图像
IHC检测Ly6g蛋白(货号 K236687).
样品: 小鼠lps(24h)诱导肝脏炎症模型, 4%多聚甲醛 (货号KSG1101) 固定12-24小时.
抗原修复: 柠檬酸抗原修复液(干粉, pH 6.0) (KSG1201), 高压锅均匀喷气计时2分钟.
—抗: 1: 1000稀释, 4℃ 孵育过夜.
二抗: HRP标记山羊抗大鼠IgG (H+L) (货号KB69906), 1: 5000稀释, 室温孵育1小时.
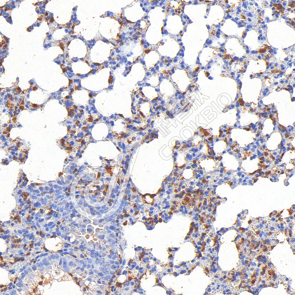
IHC检测Ly6g蛋白(货号 K236687).
样品: 小鼠损伤肺, 4%多聚甲醛 (货号KSG1101) 固定12-24小时.
抗原修复: 柠檬酸抗原修复液(干粉, pH 6.0) (KSG1201), 高压锅均匀喷气计时2分钟.
—抗: 1: 1000稀释, 4℃ 孵育过夜.
二抗: HRP标记山羊抗大鼠IgG (H+L) (货号KB69906), 1: 5000稀释, 室温孵育1小时.

需要技术支持?

如果您有任何问题或如果您在实验过程中遇到问题,或需要更详细的技术指导,请联系我们的技术支持团队
电话 400-6027-270

联系我们

如果您对我们的公司或产品有任何疑问,欢迎随时联系我们