tel 400-6027-270
Main Image
Anti-DDIT3/CHOP 兔多克隆抗体
¥1900
加入对比
货号: K1347073-100
预测分子量: 19 kDa
观测分子量: 27-30 kDa
亚细胞定位: 细胞质, 细胞核
别名: C/EBP homologous protein,C/EBP homologous protein 10,CEBPZ,CHOP 10,CHOP,GADD153,CHOP10,DDIT 3,DDIT3,Chop10,Gadd153,CHOP-10,  DNA damage-inducible transcript 3,DNA damage inducible transcript 3
应用 | 种属
WB H
IHC/IF H
规格:
产品信息
蛋白质全称 DNA损伤诱导转录因子3
别名 C/EBP homologous protein,C/EBP homologous protein 10,CEBPZ,CHOP 10,CHOP,GADD153,CHOP10,DDIT 3,DDIT3,Chop10,Gadd153,CHOP-10,  DNA damage-inducible transcript 3,DNA damage inducible transcript 3
Uniprot ID P35638
免疫原 KLH偶联的人CHOP合成肽
抗体亚型 IgG
纯化方式 亲和纯化
亚细胞定位 细胞质, 细胞核
预测分子量./观测分子量. 19 kDa / 27-30 kDa
应用
WB 免疫印迹
物种:人
稀释比:1:300-1:600
阳性样品:Hep G2细胞
IHC/IF 免疫组织化学/免疫荧光
物种:人
稀释比:1:500-1:1000
阳性样品:结直肠腺癌, 非小细胞肺癌
背景
This gene encodes a member of the CCAAT/enhancer-binding protein (C/EBP) family of transcription factors. The protein functions as a dominant-negative inhibitor by forming heterodimers with other C/EBP members, such as C/EBP and LAP (liver activator protein), and preventing their DNA binding activity. The protein is implicated in adipogenesis and erythropoiesis, is activated by endoplasmic reticulum stress, and promotes apoptosis.
储存条件
储存条件:储存条件在:-20℃下储存一年, 避免反复冻融.
储存缓冲液:含0.15% ProClin300防腐剂, 100 μg/mL牛血清白蛋白和50%甘油的磷酸盐缓冲液.
图像
WB检测DDIT3/CHOP蛋白(货号 K1347073).
样品: 经RIPA裂解液(货号KSG2002)处理的蛋白质.
封闭: 3%脱脂牛奶(货号KSGC310001)溶于TBST溶液, 室温孵育1小时.
—抗: 1: 500稀释, 4℃ 孵育过夜.
二抗: HRP标记山羊抗兔IgG (H+L) (货号KB69909), 1: 5000稀释, 室温孵育1小时.
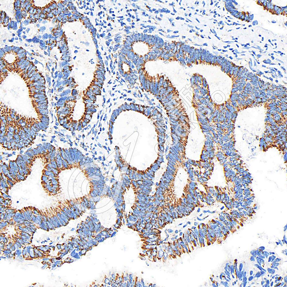
IHC检测DDIT3/CHOP蛋白(货号 K1347073).
样品: 人结直肠腺癌, 4%多聚甲醛 (货号KSG1101) 固定12-24小时.
抗原修复: 柠檬酸抗原修复液(干粉, pH 6.0) (KSG1201), 98℃, 20分钟.
—抗: 1: 800稀释, 4℃ 孵育过夜.
二抗: S-vision免疫组化多聚二抗(山羊抗兔),即用型 (货号KB3906), 室温孵育20分钟.
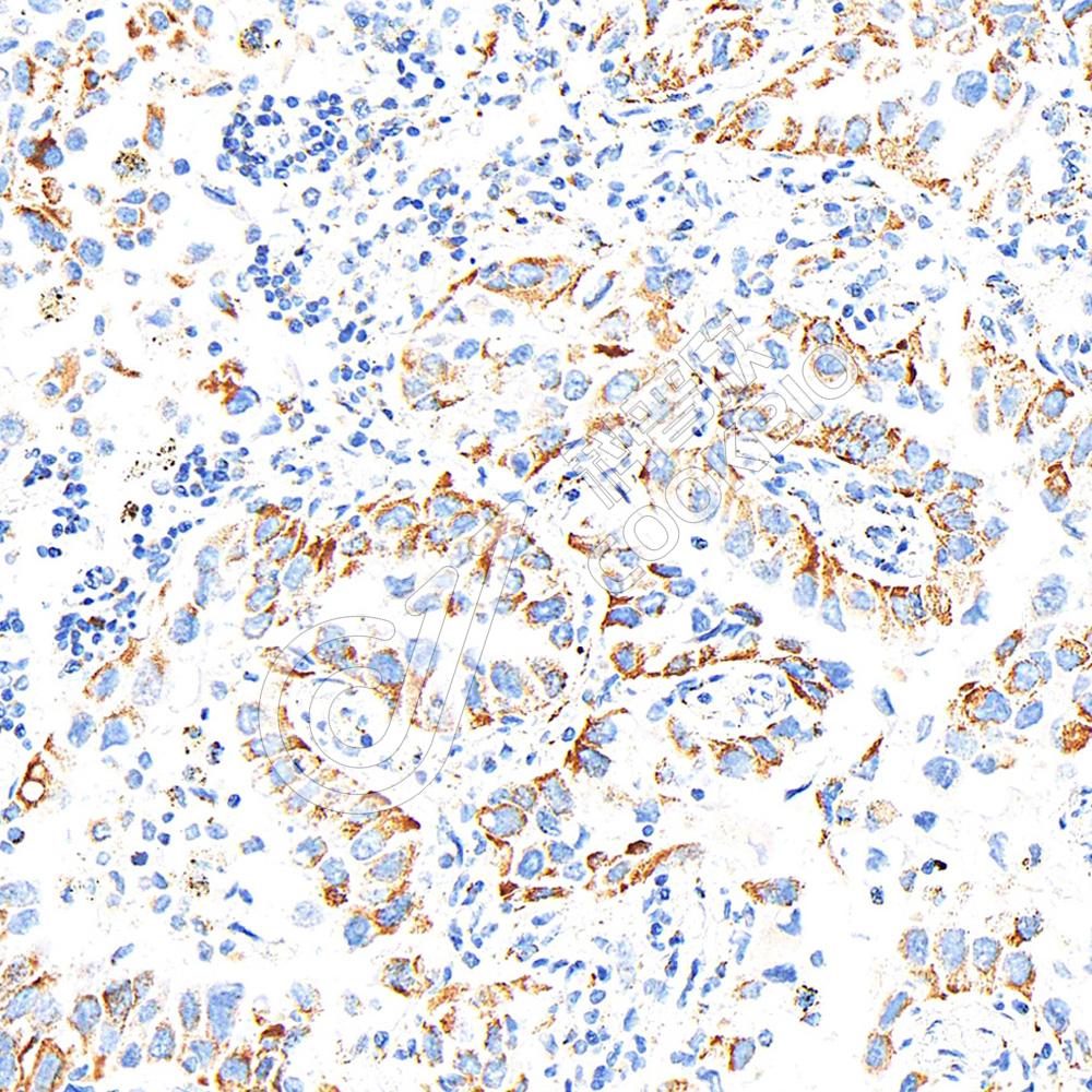
IHC检测DDIT3/CHOP蛋白(货号 K1347073).
样品: 人非小细胞肺癌, 4%多聚甲醛 (货号KSG1101) 固定12-24小时.
抗原修复: 柠檬酸抗原修复液(干粉, pH 6.0) (KSG1201), 98℃, 20分钟.
—抗: 1: 800稀释, 4℃ 孵育过夜.
二抗: S-vision免疫组化多聚二抗(山羊抗兔),即用型 (货号KB3906), 室温孵育20分钟.

需要技术支持?

如果您有任何问题或如果您在实验过程中遇到问题,或需要更详细的技术指导,请联系我们的技术支持团队
电话 400-6027-270

联系我们

如果您对我们的公司或产品有任何疑问,欢迎随时联系我们