tel 400-6027-270
Main Image
Anti-ERMAP 兔多克隆抗体
¥1900
加入对比
货号: K1344109-100
预测分子量: 64 kDa
观测分子量: 50 kDa
亚细胞定位: 细胞膜, 细胞质
别名: ERMAP,hERMAP,PRO2801,Radin blood group antigen,RD,SC,Scianna blood group antigen
应用 | 种属
WB H
IHC/IF M
规格:
产品信息
蛋白质全称 成红细胞膜相关蛋白
别名 ERMAP,hERMAP,PRO2801,Radin blood group antigen,RD,SC,Scianna blood group antigen
Uniprot ID Q9JLN5
免疫原 KLH偶联的小鼠ERMAP合成肽
抗体亚型 IgG
纯化方式 亲和纯化
亚细胞定位 细胞膜, 细胞质
预测分子量./观测分子量. 64 kDa / 50 kDa
应用
WB 免疫印迹
物种:人
稀释比:1:500-1:1000
阳性样品:—
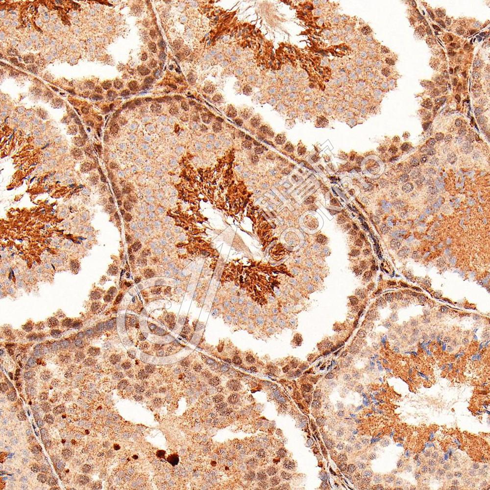
IHC/IF 免疫组织化学/免疫荧光
物种:小鼠
稀释比:1:300-1:900
阳性样品:结肠
背景
Possible role as a cell-adhesion or receptor molecule of erythroid cells.
储存条件
储存条件:储存条件在:-20℃下储存一年, 避免反复冻融.
储存缓冲液:含0.15% ProClin300防腐剂, 100 μg/mL牛血清白蛋白和50%甘油的磷酸盐缓冲液.
图像
IF检测ERMAP蛋白(货号 K1344109)(红色).
样品: 小鼠结肠, 4%多聚甲醛 (货号KSG1101) 固定12-24小时.
抗原修复: Tris-EDTA抗原修复液(pH 9.0) (KSG1203), 98℃, 20分钟.
封闭: 3% BSA(货号KSGC305010)的PBS溶液, 室温孵育30分钟.
—抗: 1: 600稀释, 4℃ 孵育过夜.
二抗: Cy3标记山羊抗兔IgG (H+L) (货号KB63909), 1: 300稀释, 室温孵育1小时.
IF检测ERMAP蛋白(货号 K1344109)(红色).
样品: 大鼠结肠, 4%多聚甲醛 (货号KSG1101) 固定12-24小时.
抗原修复: Tris-EDTA抗原修复液(pH 9.0) (KSG1203), 98℃, 20分钟.
封闭: 3% BSA(货号KSGC305010)的PBS溶液, 室温孵育30分钟.
—抗: 1: 600稀释, 4℃ 孵育过夜.
二抗: Cy3标记山羊抗兔IgG (H+L) (货号KB63909), 1: 300稀释, 室温孵育1小时.

需要技术支持?

如果您有任何问题或如果您在实验过程中遇到问题,或需要更详细的技术指导,请联系我们的技术支持团队
电话 400-6027-270

联系我们

如果您对我们的公司或产品有任何疑问,欢迎随时联系我们